医影在线

标题: X2288:足片 [打印本页]

作者: 眼睛    时间: 2007-5-23 02:29
标题: X2288:足片
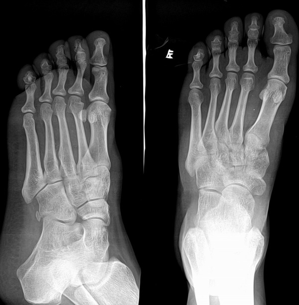
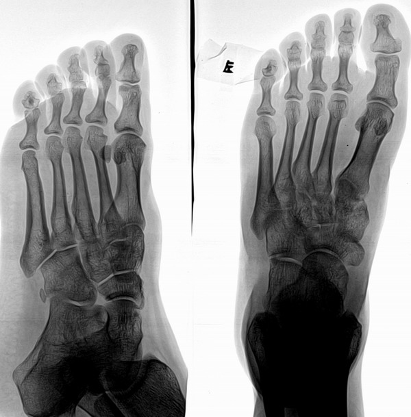
大家看看是正常还是异常?





病人的受伤部位不在这里,只是想让大家看看!
以下是引用浮华在2007-5-22 18:39:00的发言:[br]小趾中节趾骨高密度影,边界清,无明显骨质破坏--骨岛?



[本贴已被 眼睛 于 2007-5-23 15:35:41 修改过]

作者: 浮华    时间: 2007-5-23 02:39
小趾中节趾骨高密度影,边界清,无明显骨质破坏--骨岛?
作者: dyqct    时间: 2007-5-23 02:39
正常骨岛吧!
作者: chaocheng    时间: 2007-5-23 02:48
正常骨岛
作者: 大洋    时间: 2007-5-23 03:06
有病史吗?病人是以什么症状去就医的?
作者: 王靖旗    时间: 2007-5-23 04:06
骨岛,姆趾近节关节下有个小囊装影。
作者: 361275969    时间: 2007-5-23 04:10
未见异常。
作者: 3351277    时间: 2007-5-23 04:16
正常吧
作者: ZHANGZHONGSHOU    时间: 2007-5-23 04:47
正常表现
作者: zhangkening    时间: 2007-5-23 04:52
正常.
作者: luoyanmin    时间: 2007-5-23 04:57
正常,趾骨表现为正常,不是骨岛.
作者: 同    时间: 2007-5-23 05:02
正常骨岛
作者: 蓝宇    时间: 2007-5-23 05:11
应该是骨岛吧
作者: bjj12345678    时间: 2007-5-23 05:13
zhengchang
作者: 永无止境    时间: 2007-5-23 05:38
请问有临床症状吗?
正常骨岛
作者: 流星1234    时间: 2007-5-23 06:05
骨岛
作者: lihongwei    时间: 2007-5-23 06:20
正常骨岛吧!
作者: zhangxiangjun    时间: 2007-5-23 06:24
支持正常骨岛.
作者: jiangjing    时间: 2007-5-23 07:46
正常表现
作者: haha215315    时间: 2007-5-23 17:27
正常表现
作者: jinguoji    时间: 2007-5-23 17:46
未见异常。
作者: jinning    时间: 2007-5-23 19:11
未见异常。
作者: yang123456    时间: 2007-5-23 20:06
正常骨岛
作者: 天南地北    时间: 2007-5-23 20:44
未见异常
作者: 清清楚楚    时间: 2007-5-24 00:29
小趾近趾节远端透亮纹是怎么回事啊,重迭就这么巧吗?
作者: wy232326    时间: 2007-5-24 00:36
正常吧
作者: andymaomao    时间: 2007-5-24 01:28
支持正常变异可能。
作者: shibing    时间: 2013-2-22 14:57
正常骨岛




欢迎光临 医影在线 (http://bbs.radida.com/bbs/) Powered by Discuz! X3.2