医影在线

标题: CT8338:男,59岁请会诊 [打印本页]

作者: 心愿    时间: 2007-5-23 03:22
标题: CT8338:男,59岁请会诊
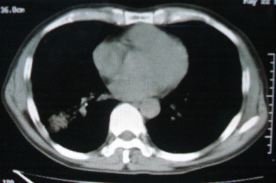
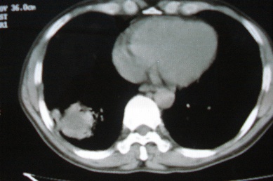
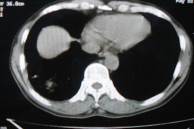
ct10716,男,59岁。发热咳嗽一天,咯血一次入院。














[本贴已被 jiajie 于 2007-5-22 20:55:33 修改过]

作者: wzr    时间: 2007-5-23 03:40
右肺脓肿
作者: dyqct    时间: 2007-5-23 03:47
支持右肺下叶肺脓肿,建议严格抗炎治疗后复查。
作者: 王靖旗    时间: 2007-5-23 04:01
病灶中心有低密度,气体,病灶周围炎性浸润可能为肺脓肿,量体温、查个痰就是了,但肺脓肿一般都多少会有点兄水的。左肺下局部密度减低,小叶中心肺气肿。
作者: zjzjr    时间: 2007-5-23 04:02
支持右肺下叶肺脓肿,建议严格抗炎治疗后复查。
作者: 余辉    时间: 2007-5-23 04:59
支持右肺下叶肺脓肿,建议严格抗炎治疗后复查。
作者: ZHANGZHONGSHOU    时间: 2007-5-23 05:09
支持右下肺脓肿,建议抗炎治疗后复查。
作者: jinning    时间: 2007-5-23 05:22
支持右下肺脓肿,建议抗炎治疗后复查,排除肺癌
作者: 狙击手    时间: 2007-5-23 05:43
病灶边缘较模糊,中心见低密度影及少量气影,宽基与胸膜相连,周围见炎性浸润,考虑右下肺脓肿。
作者: 天南地北    时间: 2007-5-23 06:37
支持右肺下叶肺脓肿,建议严格抗炎治疗后复查。
作者: 流星1234    时间: 2007-5-23 07:42
支持右下肺脓肿
作者: whz1765    时间: 2007-5-23 08:55
病灶边缘较模糊,中心见低密度影及少量气影,宽基与胸膜相连,周围见炎性浸润,考虑右下肺脓肿。建议治疗后复查。
作者: 拾荒者    时间: 2007-5-23 21:01
右下肺病灶,边缘模糊,中心见低密度坏死区及气体影,结合病史较短,以发热为主,考虑右下肺脓肿,建议抗炎治疗后复查。
作者: jw-830    时间: 2007-5-23 21:20
考虑右下肺脓肿可能
作者: zyx168    时间: 2007-5-24 08:53
考虑右下肺脓肿可能




欢迎光临 医影在线 (http://bbs.radida.com/bbs/) Powered by Discuz! X3.2