













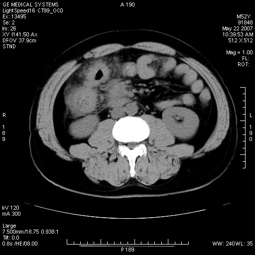
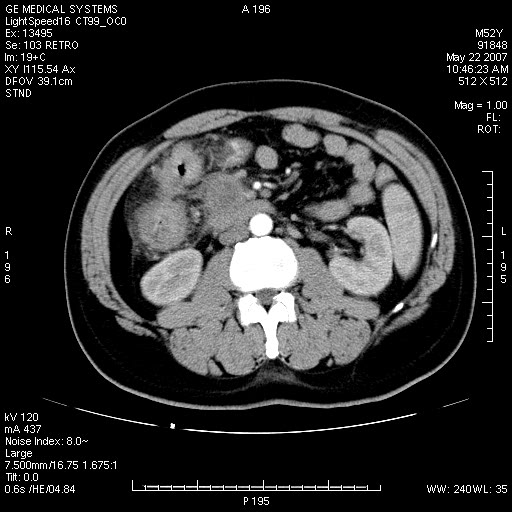
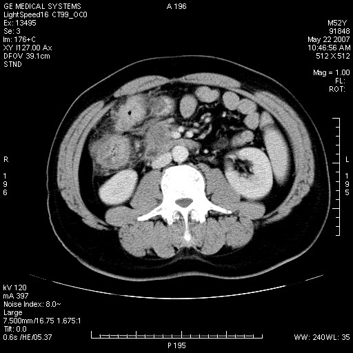
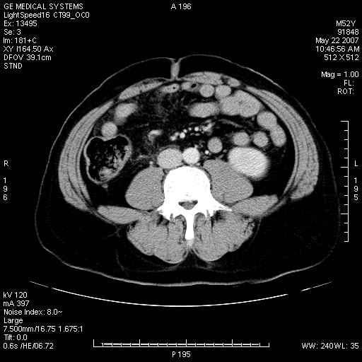
以下是引用gaoxiao在2007-5-22 20:49:00的发言:[br]考虑升结肠癌向周围侵犯,胰头钩突受侵。
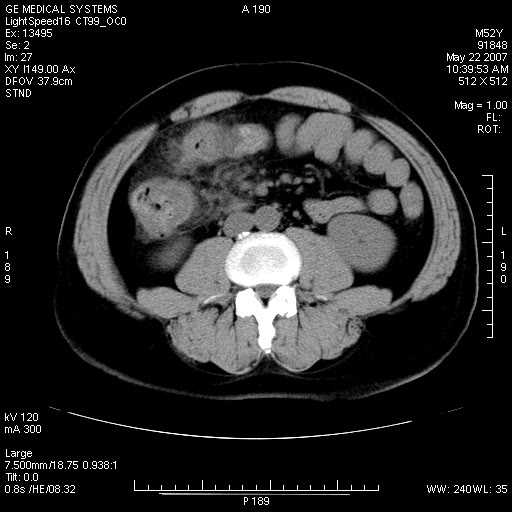
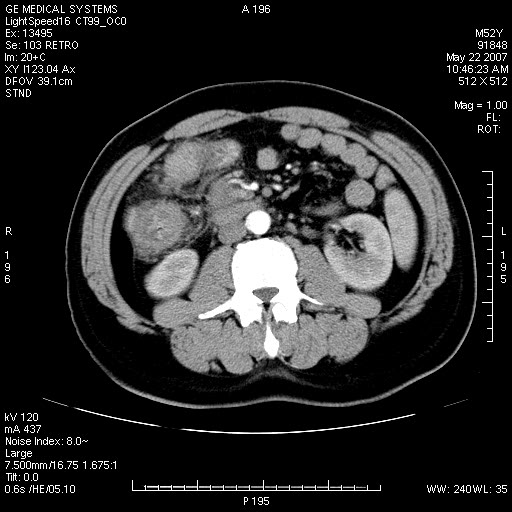
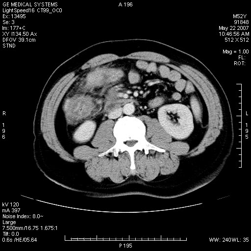
以下是引用蓝宇在2007-5-22 21:29:00的发言:[br]密度不均,考虑结肠癌可能,建议进一步检查
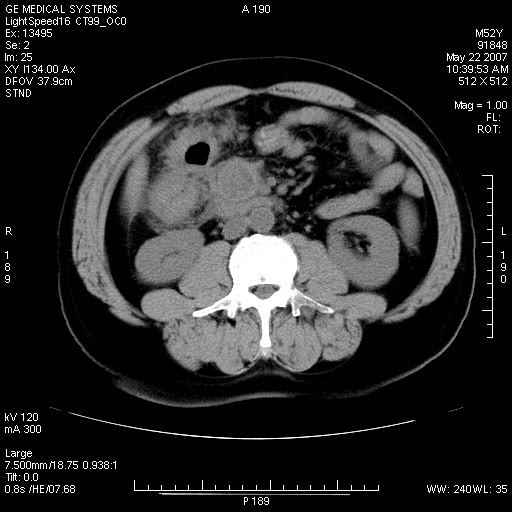
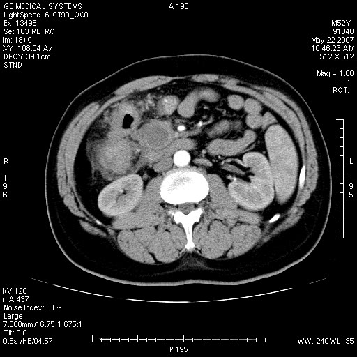
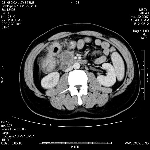
以下是引用dyqct在2007-5-22 20:43:00的发言:[br]支持结肠肝曲占位性病变(浸润型结肠癌可能性大)。胆总管下端扩张,原因待查。

以下是引用dyqct在2007-5-22 20:43:00的发言:[br]支持结肠肝曲占位性病变(浸润型结肠癌可能性大)。胆总管下端扩张,原因待查。
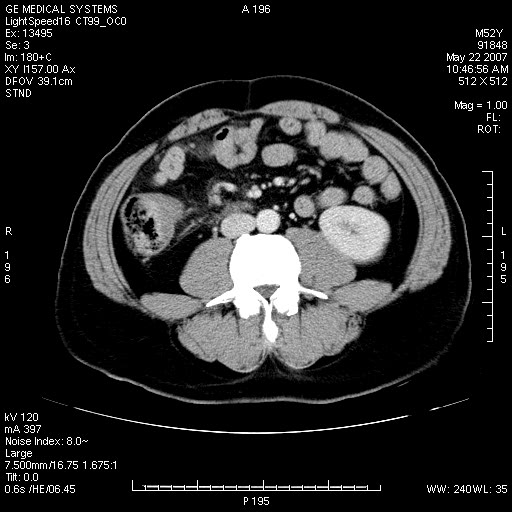
以下是引用dyqct在2007-5-22 20:43:00的发言:[br]支持结肠肝曲占位性病变(浸润型结肠癌可能性大)。胆总管下端扩张,原因待查。
以下是引用gaoxiao在2007-5-22 20:49:00的发言:[br]考虑升结肠癌向周围侵犯,胰头钩突受侵。
以下是引用余辉在2007-5-22 20:12:00的发言:[br]升结肠管壁明显增厚,增强有静脉期持续增强,结合患者病史,考虑结肠癌可能性大,临近脂肪影密度增高,混浊,恐有肠系膜浸润转移,建议镜检
以下是引用dyqct在2007-5-22 20:43:00的发言:[br]支持结肠肝曲占位性病变(浸润型结肠癌可能性大)。胆总管下端扩张,原因待查。
| 欢迎光临 医影在线 (http://bbs.radida.com/bbs/) | Powered by Discuz! X3.2 |