医影在线
标题: CT8346:男,80岁。血尿,肝脏,膀胱占位,是否为肝转移? [打印本页]
作者: friedman 时间: 2007-5-23 04:24
标题: CT8346:男,80岁。血尿,肝脏,膀胱占位,是否为肝转移?
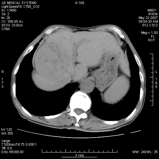
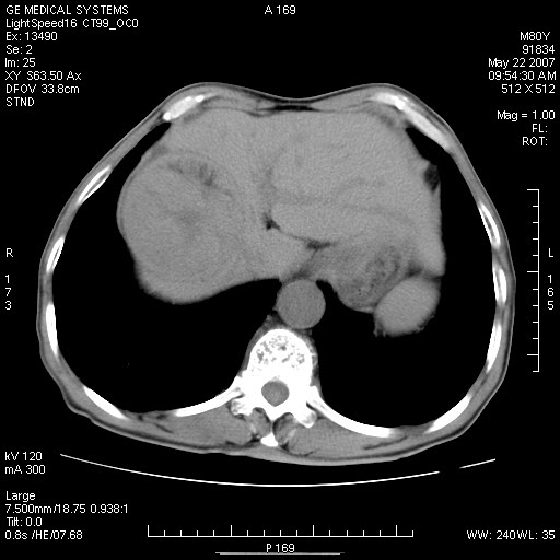
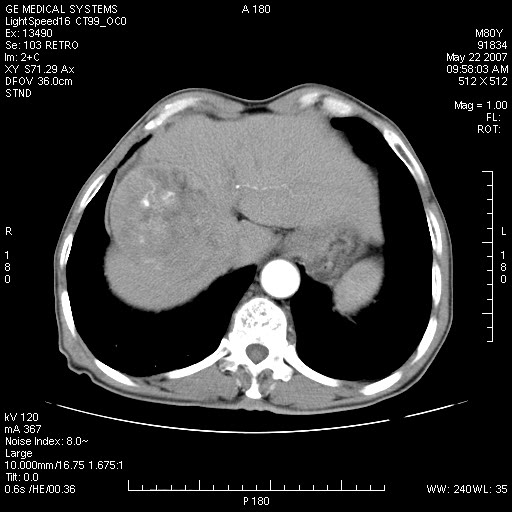
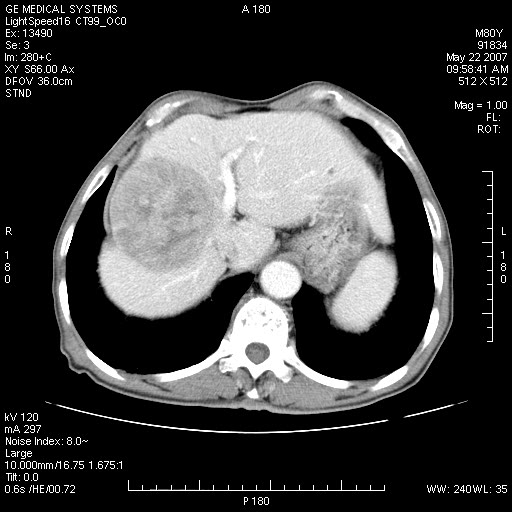
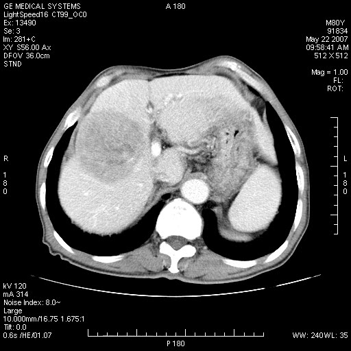
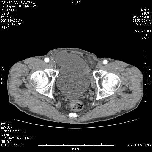
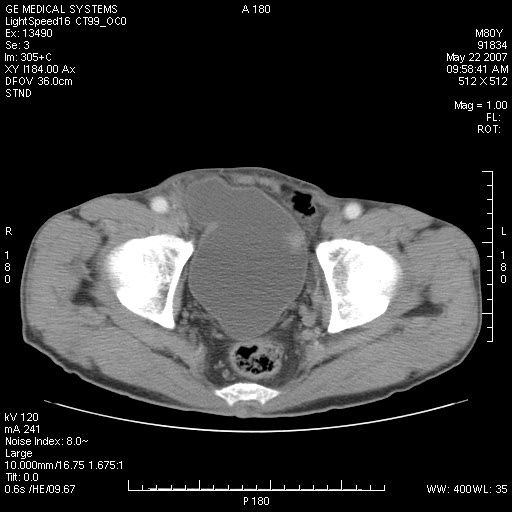
男,80岁。血尿,无腹部不适病史。
肝脏病变:






膀胱病变:




[本贴已被 jiajie 于 2007-5-22 21:10:20 修改过]
作者: dyqct 时间: 2007-5-23 04:47
也可能为双原发,肝癌,膀胱癌。
作者: gaoxiao 时间: 2007-5-23 04:51
标题: 回复:肝脏,膀胱占位,是否为肝转移?
以下是引用dyqct在2007-5-22 20:47:00的发言:[br]也可能为双原发,肝癌,膀胱癌。
作者: 余辉 时间: 2007-5-23 04:55
标题: 回复:肝脏,膀胱占位,是否为肝转移?
以下是引用dyqct在2007-5-22 20:47:00的发言:[br]也可能为双原发,肝癌,膀胱癌。
支持
作者: 同 时间: 2007-5-23 04:57
可能为双原发,肝癌,膀胱癌。
作者: xulianj 时间: 2007-5-23 05:03
可息没有肝脏增强后的延迟扫描,原发性肝癌包膜延迟可强化。就平扫看两种癌都可能。
作者: 蓝宇 时间: 2007-5-23 05:04
我看是不像转移瘤,要是有ct直就好了.我看到是像囊肿
作者: jinning 时间: 2007-5-23 05:06
肝癌,膀胱癌。
作者: jw-830 时间: 2007-5-23 05:07
以下是引用dyqct在2007-5-22 20:47:00的发言:
也可能为双原发,肝癌,膀胱癌。
支持
作者: lihongwei 时间: 2007-5-23 05:50
以下是引用dyqct在2007-5-22 20:47:00的发言:
也可能为双原发,肝癌,膀胱癌。
支持
作者: 狙击手 时间: 2007-5-23 06:02
肝癌,膀胱癌。支持。
作者: shenhs 时间: 2007-5-23 06:19
肝癌,膀胱癌。
支持
作者: chmb 时间: 2007-5-23 06:52
肝癌,膀胱癌双原发.支持
作者: zjzjr 时间: 2007-5-23 07:04
增强原原发性肝癌、膀胱癌伴左侧盆腔淋巴转移。
作者: jiangjing 时间: 2007-5-23 07:10
也可能为双原发,肝癌,膀胱癌。或肝癌膀胱转移
作者: yangzongshan 时间: 2007-5-23 07:25
可能为双原发,肝癌,膀胱癌.盆腔淋巴结转移!
作者: 流星1234 时间: 2007-5-23 07:36
肝癌 膀胱癌
作者: friedman 时间: 2007-5-23 07:46
标题: 回复:ct8346:男,80岁。血尿,肝脏,膀胱占位,是否为肝转
看看平扫的,再看看增强动脉期的,怎么也不是囊肿。
[本贴已被 friedman 于 2007-5-22 23:50:00 修改过]
作者: 天南地北 时间: 2007-5-23 08:34
也可能为双原发,肝癌,膀胱癌
作者: whz1765 时间: 2007-5-23 09:19
双原发,肝癌,膀胱癌,也可能为膀胱癌肝转移,
作者: ZHANGZHONGSHOU 时间: 2007-5-23 16:16
支持肝癌,以纤维板层型肝癌可能性大,膀胱癌。
作者: liuyue 时间: 2007-5-23 16:17
也可能为双原发,肝癌,膀胱癌。
支持!
作者: mlxq3086 时间: 2007-5-23 16:18
标题: 回复:ct8346:男,80岁。血尿,肝脏,膀胱占位,是否为肝转
以下是引用dyqct在2007-5-22 20:47:00的发言:[br]也可能为双原发,肝癌,膀胱癌。
支持
作者: 小晟晟 时间: 2007-5-23 17:07
以下是引用dyqct在2007-5-22 20:47:00的发言:
也可能为双原发,肝癌,膀胱癌。
作者: luochengyi 时间: 2007-5-23 17:23
考虑肝癌,膀胱癌。
作者: 还珠格格 时间: 2007-5-23 17:26
肝癌 膀胱癌
作者: jinguoji 时间: 2007-5-23 18:14
双原发癌,肝癌,膀胱癌。
作者: 心愿 时间: 2007-5-23 18:18
标题: 回复:ct8346:男,80岁。血尿,肝脏,膀胱占位,是否为肝转
以下是引用dyqct在2007-5-22 20:47:00的发言:[br]也可能为双原发,肝癌,膀胱癌。
作者: yuhg 时间: 2007-5-23 18:23
支持邓老师
作者: 卜一 时间: 2007-5-23 18:36
支持:肝癌,膀胱癌!
作者: xujin110 时间: 2007-5-23 19:07
支持肝ca,膀胱ca
作者: ysxyy 时间: 2007-5-24 03:21
标题: 回复:ct8346:男,80岁。血尿,肝脏,膀胱占位,是否为肝转
ct8346:男,80岁。血尿,肝脏,膀胱占位,是否为肝转移?
男,80岁。血尿,无腹部不适病史。

作者: hejie 时间: 2007-5-24 03:59
肝癌,膀胱癌.双原发.
作者: 拾荒者 时间: 2007-5-24 04:09
肝脏内病灶有假包膜,增强扫描动脉期有动静脉瘘,有快进快出特点,考虑原发性肝癌。病灶内有裂隙样低密度影,以纤维板层样细胞癌可能性大。膀胱左侧乳头状占位,增强呈明显强化,左侧盆腔内有肿大淋巴结,结合有血尿病史,考虑膀胱癌左侧盆腔淋巴结转移。
作者: 宝天曼 时间: 2007-5-24 06:35
肝癌,膀胱癌。
作者: zyx168 时间: 2007-5-24 08:38
肝癌,膀胱癌。支持。
| 欢迎光临 医影在线 (http://bbs.radida.com/bbs/) |
Powered by Discuz! X3.2 |