
















以下是引用余辉在2007-5-22 20:42:00的发言:[br]黄疸,脾脏巨大,病程短,考虑急性肝脏疾病或急性溶血性疾病,建议查肝功能及相应病毒抗体抗原
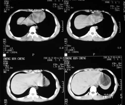
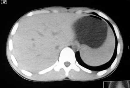
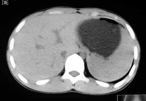
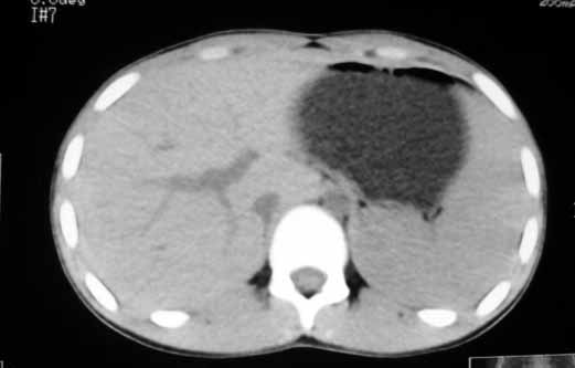
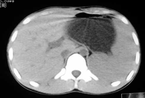
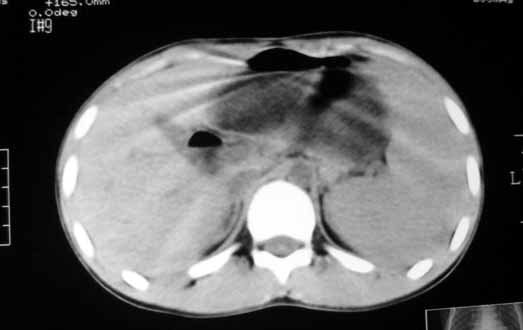
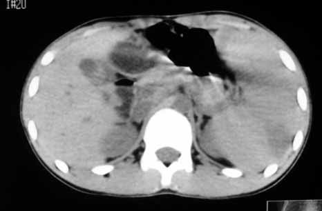
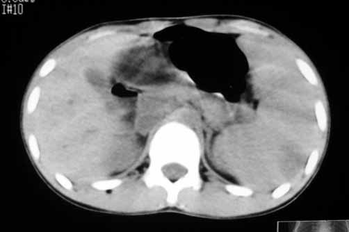
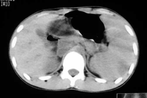
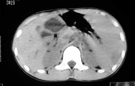
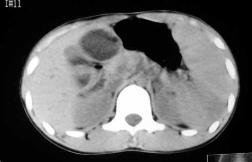
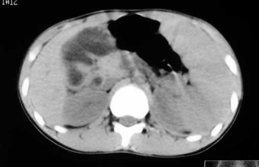
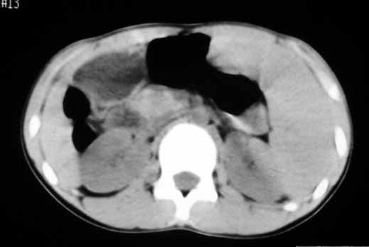
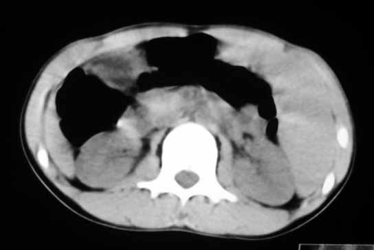
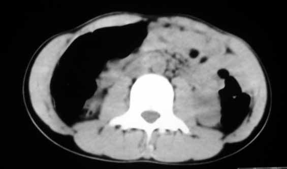
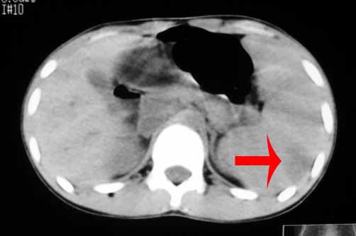
以下是引用zhangzhongshou在2007-5-22 21:04:00的发言:[br]1、脾肿大[br]2、脾脏低密度影,血管瘤?脾梗塞不能除外,建议增强扫描。
以下是引用dyqct在2007-5-22 20:45:00的发言:[br]巨脾,可疑梗塞,建议增强、查血象进一步检查

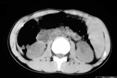
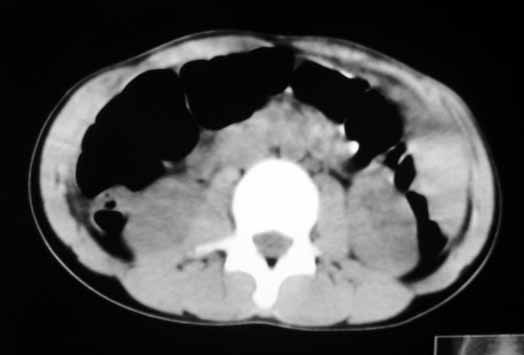
以下是引用liuyue在2007-5-23 7:57:00的发言:[br]腹主动脉周多个肿大淋巴结,脾大伴三角形低密度影,肠腔积气,考虑:1淋巴瘤2脾大伴梗塞3肠腔积气(肿大淋巴结压迫所致)

| 欢迎光临 医影在线 (http://bbs.radida.com/bbs/) | Powered by Discuz! X3.2 |