







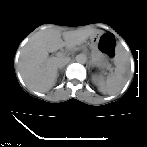
以下是引用zhangqichun5在2007-5-23 23:47:00的发言:[br]肝右叶低密度,脾低米度,左肾混杂密度,考虑是肝癌肾脾转移
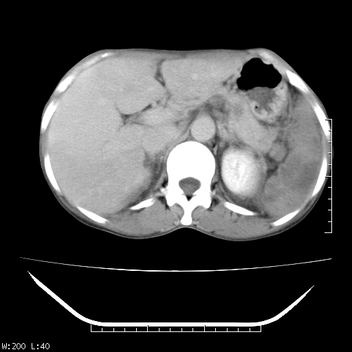
以下是引用苯小孩在2007-5-24 13:30:00的发言:[br]肝、脾肿大不均匀强化,脾脏低密度区内见结节样强化.淋巴瘤?考虑为淋巴系统或血液系统疾病,建议骨穿. [br] [br]
以下是引用苯小孩在2007-5-24 13:30:00的发言:[br]肝、脾肿大不均匀强化,脾脏低密度区内见结节样强化.淋巴瘤?考虑为淋巴系统或血液系统疾病,建议骨穿. [br] [br]
以下是引用苯小孩在2007-5-24 13:30:00的发言:[br]肝、脾肿大不均匀强化,脾脏低密度区内见结节样强化.淋巴瘤?考虑为淋巴系统或血液系统疾病,建议骨穿. [br] [br]
以下是引用jsgdoctor在2007-5-24 7:53:00的发言:[br]考虑为淋巴系统或血液系统疾病,建议骨穿.
| 欢迎光临 医影在线 (http://bbs.radida.com/bbs/) | Powered by Discuz! X3.2 |