医影在线
标题: CT8372:男 16岁,鼻旁肿胀 [打印本页]
作者: 国窖1573 时间: 2007-5-24 21:23
标题: CT8372:男 16岁,鼻旁肿胀
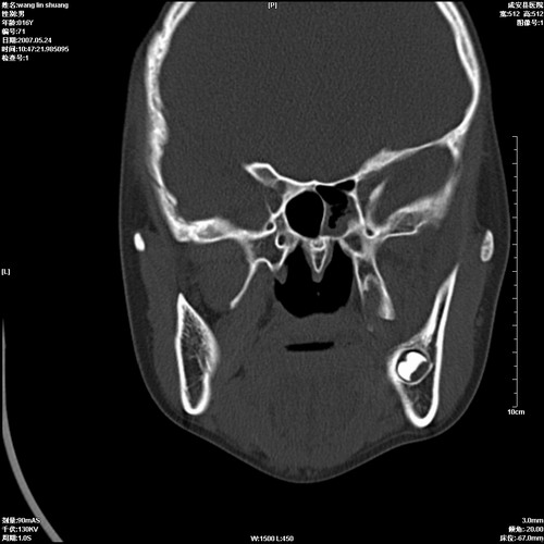
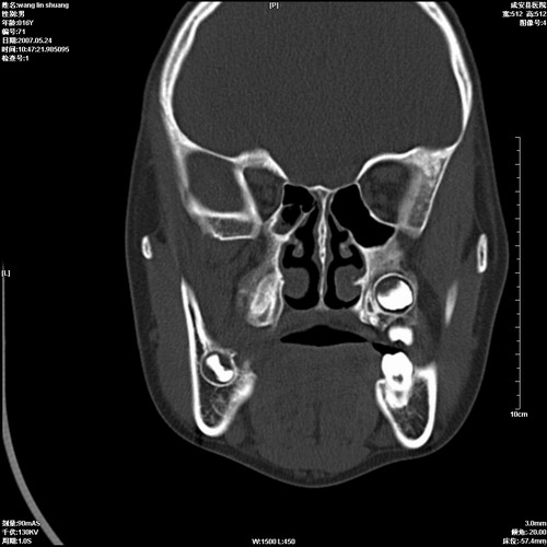
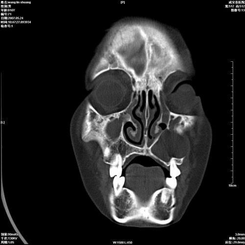
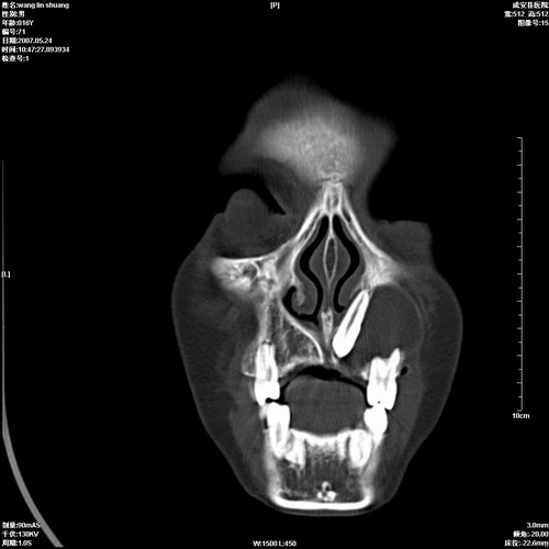
病人,男 16岁,鼻旁右肿胀,其余无不适感,ct图片
















[本贴已被 jiajie 于 2007-5-24 19:20:20 修改过]
作者: ZHANGZHONGSHOU 时间: 2007-5-24 21:29
标题: 修改 再看图,看到l标志,特更正
1、典型右侧根尖囊肿。
2、双侧上颌窦、筛窦、蝶窦炎
[本贴已被 zhangzhongshou 于 2007-5-25 13:14:11 修改过]
作者: 小初学者 时间: 2007-5-24 21:29
标题: huifu
1\\左侧上颌骨含牙囊肿
2\\两上颌窦炎

[本贴已被 小初学者 于 2007-5-24 13:35:35 修改过]
作者: 天南地北 时间: 2007-5-24 21:36
标题: 回复:病人,男 16岁
以下是引用zhangzhongshou在2007-5-24 13:29:00的发言:[br]1、典型左侧根尖囊肿。[br]2、双侧上颌窦、筛窦、蝶窦炎
支持
作者: hhcckk 时间: 2007-5-24 21:50
标题: 回复:病人,男 16岁
以下是引用小初学者在2007-5-24 13:29:00的发言:[br]1\\左侧上颌骨含牙囊肿[br]2\\两上颌窦炎[br][br]
[br][br][br][本贴已被 小初学者 于 2007-5-24 13:35:35 修改过]
支持
作者: lgm660927 时间: 2007-5-24 21:52
右侧上颌骨含牙囊肿.双侧上颌窦炎症.
作者: zjzjr 时间: 2007-5-24 22:17
右侧上颌骨含牙囊肿.双侧上颌窦、蝶窦右侧炎症.
作者: luochengyi 时间: 2007-5-24 22:46
1、左侧上颌骨含牙囊肿。
2、双侧上颌窦、筛窦、蝶窦炎
作者: sdllxu 时间: 2007-5-24 23:02
标题: 回复:病人,男 16岁
以下是引用小初学者在2007-5-24 13:29:00的发言:[br]1\\左侧上颌骨含牙囊肿[br]2\\两上颌窦炎[br][br]
[br][br][br][本贴已被 小初学者 于 2007-5-24 13:35:35 修改过]
作者: 苯小孩 时间: 2007-5-24 23:07
标题: 回复:病人,男 16岁
以下是引用zjzjr在2007-5-24 14:17:00的发言:[br]右侧上颌骨含牙囊肿.双侧上颌窦、蝶窦右侧炎症.
作者: jsgdoctor 时间: 2007-5-24 23:09
本人同意根尖囊肿,双侧上颌窦、筛窦、蝶窦炎.
作者: jw-830 时间: 2007-5-24 23:19
、典型左侧根尖囊肿。
2、双侧上颌窦、筛窦、蝶窦炎
作者: 红樱枪 时间: 2007-5-24 23:30
1\\左侧根尖囊肿。
2、双侧上颌窦、筛窦、蝶窦炎
作者: hcz 时间: 2007-5-24 23:37
右侧上颌骨含牙囊肿.双侧上颌窦、蝶窦右侧炎症
作者: 阿宽 时间: 2007-5-25 00:07
标题: 回复:病人,男 16岁
以下是引用hhcckk在2007-5-24 13:50:00的发言:[br][quote]以下是引用小初学者在2007-5-24 13:29:00的发言:[br]1\\左侧上颌骨含牙囊肿[br]2\\两上颌窦炎[br][br]
[br][br][br][本贴已被 小初学者 于 2007-5-24 13:35:35 修改过]
[br]支持[/quote]
作者: fumaogui 时间: 2007-5-25 00:13
右侧上颌骨含牙囊肿.双侧上颌窦、蝶窦右侧炎症.
作者: ltj-123 时间: 2007-5-25 00:31
支持以上诊断
作者: Adams 时间: 2007-5-25 01:02
支持左侧根尖周囊肿,双侧上颌窦及左侧蝶窦炎。
作者: 还珠格格 时间: 2007-5-25 01:05
1、左侧牙源性囊肿 2、双侧上颌窦炎.
作者: luoyanmin 时间: 2007-5-25 01:52
含牙囊肿
作者: dyqct 时间: 2007-5-25 02:00
典型的右侧上颌骨含牙囊肿,双侧上颌窦、右侧蝶窦炎症。
作者: ysxyy 时间: 2007-5-25 03:05
1、左侧含牙囊肿。
2、双侧上颌窦、筛窦、蝶窦炎;
支持;
作者: 余辉 时间: 2007-5-25 03:37
右侧上颌骨含牙囊肿,全组鼻窦炎
作者: 拾荒者 时间: 2007-5-25 03:41
典型的右侧上颌骨含牙囊肿,双侧上颌窦、右侧蝶窦炎症。
作者: lihongwei 时间: 2007-5-25 03:52
典型的右侧上颌骨含牙囊肿,双侧上颌窦、右侧蝶窦炎症。
作者: zylcq608 时间: 2007-5-25 04:01
支持:1、左侧上颌骨含牙囊肿
2、两上颌窦炎
作者: 王靖旗 时间: 2007-5-25 05:21
标题: 回复:ct8372:男 16岁,鼻旁肿胀
以下是引用luochengyi在2007-5-24 14:46:00的发言:[br]1、左侧上颌骨含牙囊肿。[br]2、双侧上颌窦、筛窦、蝶窦炎 [br][br][br]
作者: xulianj 时间: 2007-5-25 05:26
标题: 回复:ct8372:男 16岁,鼻旁肿胀
以下是引用zhangzhongshou在2007-5-24 13:29:00的发言:[br]1、典型左侧根尖囊肿。[br]2、双侧上颌窦、筛窦、蝶窦炎
作者: 宝天曼 时间: 2007-5-25 05:43
右侧上颌骨含牙囊肿.双侧上颌窦炎症.
作者: jinning 时间: 2007-5-25 15:51
1、典型左侧根尖囊肿。
2、双侧上颌窦、筛窦、蝶窦炎
作者: taodaojun 时间: 2007-5-25 17:34
这个都不认识,以后不要用我们泸州老窖的名字,少皮!!!!!
| 欢迎光临 医影在线 (http://bbs.radida.com/bbs/) |
Powered by Discuz! X3.2 |