


















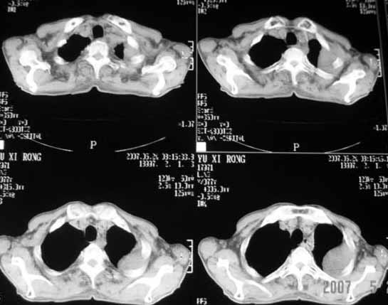
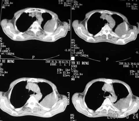
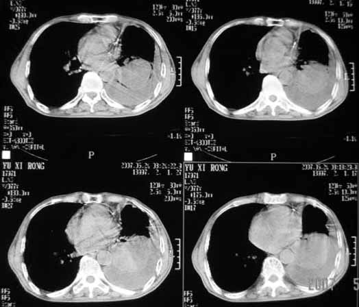
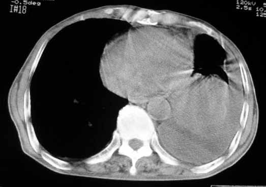
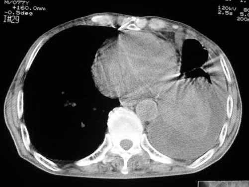
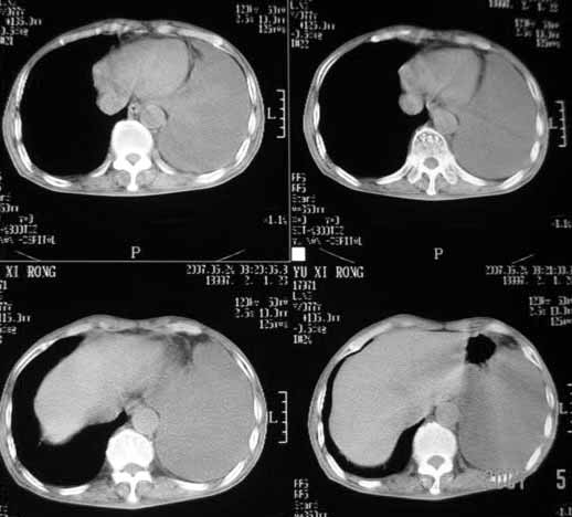
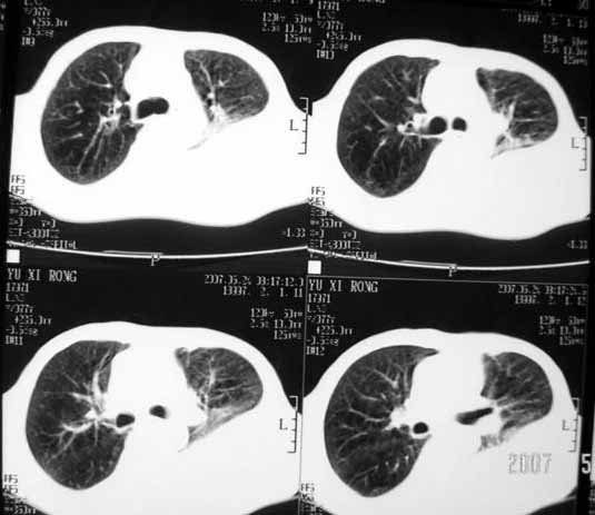
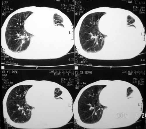
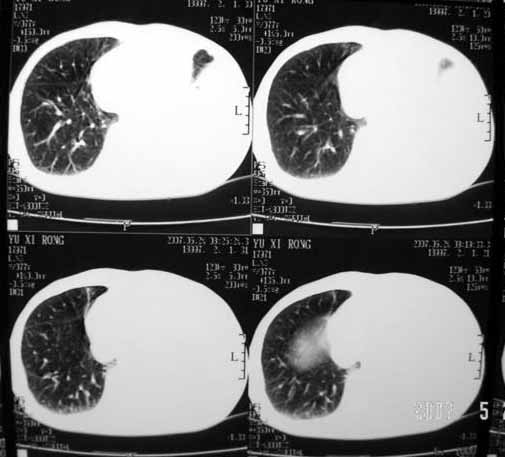
以下是引用luochengyi在2007-5-24 14:33:00的发言:[br]考虑左下肺癌。左侧胸腔积液。

以下是引用adams在2007-5-24 17:12:00的发言:[br]支持“考虑左下肺癌,左侧胸腔积液,建议胸水检查”。[br] [br]
以下是引用fumaogui在2007-5-24 16:20:00的发言:[br]左侧胸腔积液.[br]左下叶不张考虑中心型肺癌[br]建议纤支镜检查.
| 欢迎光临 医影在线 (http://bbs.radida.com/bbs/) | Powered by Discuz! X3.2 |