












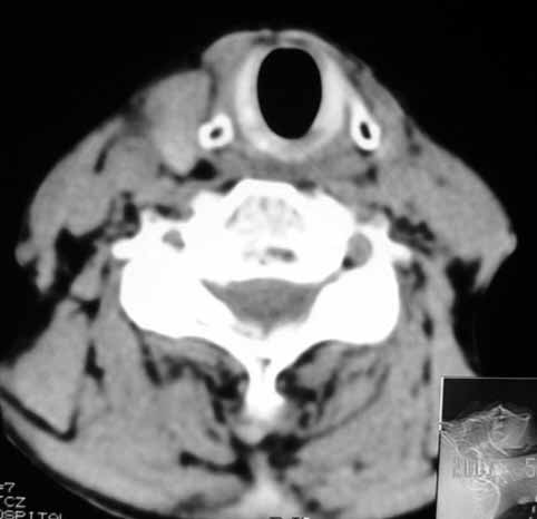
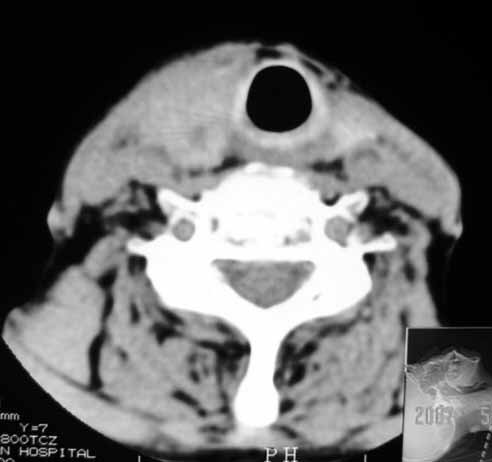
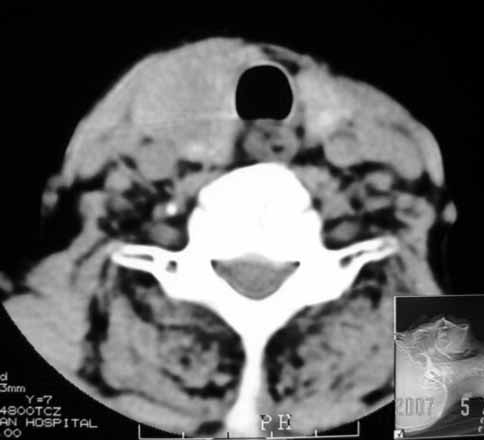
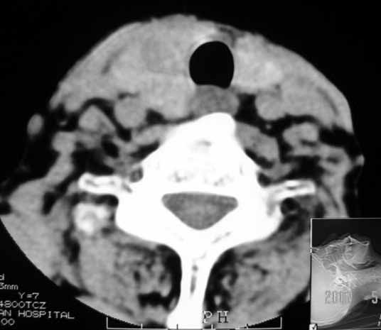
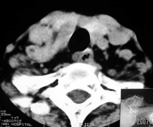
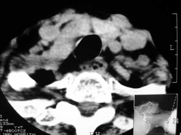
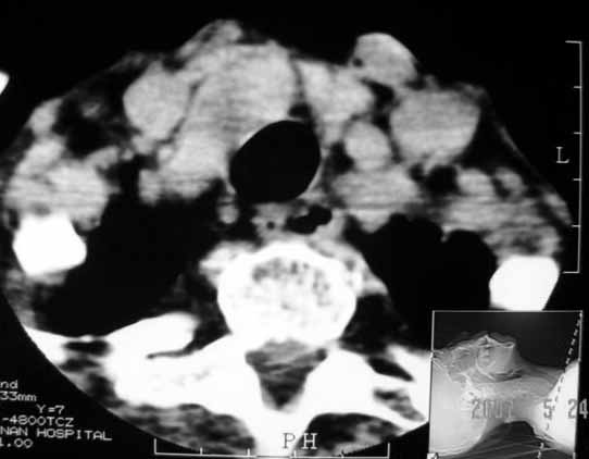
以下是引用jw-830在2007-5-24 15:33:00的发言:[br]右侧甲状腺增大,内可见低密度,病灶与周围软组织界线欠清晰,建议增强扫描除外甲状腺癌
以下是引用adams在2007-5-24 17:15:00的发言:[br]支持“ 右侧甲状腺增大,内可见低密度,病灶与周围软组织界线欠清晰,建议增强扫描除外甲状腺癌”。 [br] [br] [br][br] [br] [br]
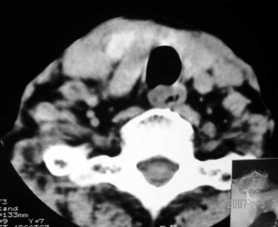
以下是引用苯小孩在2007-5-24 15:26:00的发言:[br]左侧甲状腺腺癌或瘤,建议穿刺或核素进一步检查.
| 欢迎光临 医影在线 (http://bbs.radida.com/bbs/) | Powered by Discuz! X3.2 |