医影在线

标题: CT8382:男,75,咳嗽,咳血有半年时间。 [打印本页]

作者: 狙击手    时间: 2007-5-25 05:24
标题: CT8382:男,75,咳嗽,咳血有半年时间。
















[本贴已被 jiajie 于 2007-5-24 21:33:26 修改过]

作者: 陈永刚    时间: 2007-5-25 05:40
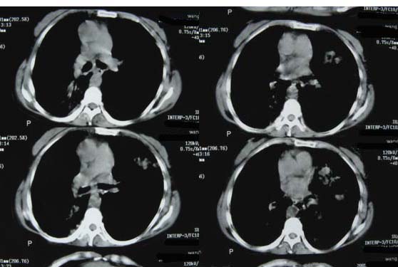
右肺下叶弥漫性片状增高影 纤维组织增生   左肺上叶尖段大结节样增高影边界清楚 中叶下叶大片增高影(内可见钙化)
1.吸入性肺炎(真菌性)
2.干酪型肺炎
3.继发性肺结核?
作者: 拾荒者    时间: 2007-5-25 05:54
肝癌、肺转移。
作者: 宝天曼    时间: 2007-5-25 06:20
肺转移。
作者: 还珠格格    时间: 2007-5-25 06:21
考虑 双肺继发性肺结核
作者: kbzyycm    时间: 2007-5-25 06:43
肺转移
作者: liuyue    时间: 2007-5-25 06:58
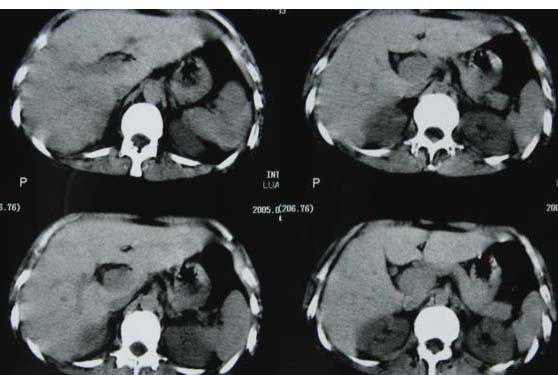
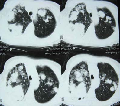
1双肺支气管扩张  2双肺多发块状影,考虑:转移瘤;3肝门区圆形软组织影,先考虑:转移淋巴结可能性大.
期待结果!
作者: shenhs    时间: 2007-5-25 07:26
肝癌、肺转移 支持
作者: wh_beiji12    时间: 2007-5-25 07:28
1、肺转移;
2、支扩;
3、结核;
4、建议肝脏增强检查。
作者: 天南地北    时间: 2007-5-25 10:06
1、肺转移;
2、支扩;
3、建议肝脏增强检查
作者: 清清楚楚    时间: 2007-5-25 13:44
1双肺多发块状影,考虑:转移;2双肺支气管扩张;3建议肝脏增强检查。
作者: jinning    时间: 2007-5-25 15:31
肝癌、肺转移。
作者: fumaogui    时间: 2007-5-25 16:38
结核继发真菌类感染,支气管扩张.
作者: andymaomao    时间: 2007-5-25 16:48
1.考虑双肺转移,建议增强ct及纤支镜;
2.双肺肺气肿,支扩伴少许感染;
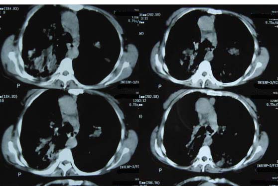
3.双中上肺陈旧性病灶。
作者: dyqct    时间: 2007-5-25 17:06
考虑:1、肺转移;
      2、支扩;
      3、建议肝脏增强检查
作者: 卜一    时间: 2007-5-25 17:22
考虑:多种病并发。
1、肺转移;
2、支扩;
3、结核;
作者: sjing    时间: 2007-5-25 17:39
1肺转移瘤 2肝门区圆形软组织影,考虑淋巴结转移
作者: jinguoji    时间: 2007-5-25 17:55
1、肺转移;
2、支扩;
3、建议肝脏增强检查。
作者: zjzjr    时间: 2007-5-25 19:31
1、肺转移;
2、支扩;
3、建议肝脏增强检查
作者: ZHANGZHONGSHOU    时间: 2007-5-25 21:01
1、双肺多发转移瘤可能性大,建议进一步检查。
2、支气管扩张
作者: 苯小孩    时间: 2007-5-25 21:22
标题: 回复:ct8382:男,75,咳嗽,咳血有半年时间。
以下是引用liuyue在2007-5-24 22:58:00的发言:[br]1双肺支气管扩张  2双肺多发块状影,考虑:转移瘤;3肝门区圆形软组织影,先考虑:转移淋巴结可能性大.[br]期待结果!

作者: weijing    时间: 2007-5-25 21:47
、肺转移;
2、支扩;
3、建议肝脏增强检查
作者: zhangxiangjun    时间: 2007-5-25 23:14
1、肺转移;
2、支扩;
3.建议肝脏增强检查
作者: zxczxc    时间: 2007-5-26 00:23
右上肺后段及左上肺舌段片状影,考虑双肺结核。
双肺弥漫性结节影,考虑双肺转移性肿瘤。
作者: 王靖旗    时间: 2007-5-26 01:47
考虑为wg肉牙肿
作者: rener    时间: 2007-5-26 03:35
肺转移瘤,肺泡细胞癌,播散性肺结核都有可能的.说不好还是金葡菌感染呢




欢迎光临 医影在线 (http://bbs.radida.com/bbs/) Powered by Discuz! X3.2