医影在线

标题: DSA0104:脑血管病 [打印本页]

作者: jiajie    时间: 2007-5-25 05:49
标题: DSA0104:脑血管病
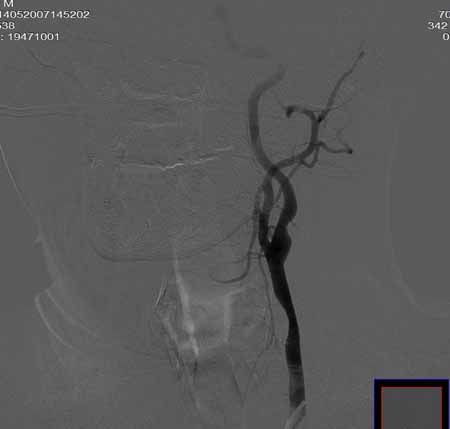
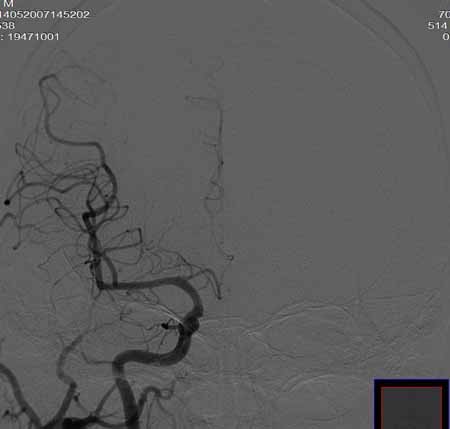
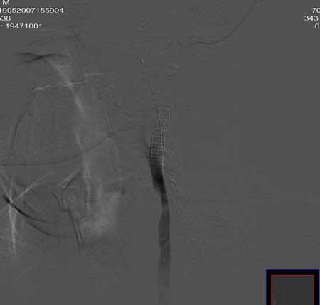
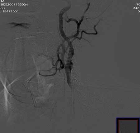
男,60岁。









作者: zjzjr    时间: 2007-5-25 06:49
腹主动脉、颈总动脉、颈内动脉狭窄支架置入术,最少放了三个支架吧,得十几万吧。
作者: 医博云天    时间: 2007-5-28 02:33
什么问题啊?
作者: zyx168    时间: 2007-5-29 07:34
学习了!
作者: drzhang8888    时间: 2007-6-1 06:12
颈总动脉支架置入术。
作者: sn4187189    时间: 2007-6-2 21:47
真不错!是你们医院开展的dsa介入诊治手术吗?咸阳什么医院?有机会合作吗?联系电话:0919-4189218,宋医师。
作者: 念羊经    时间: 2007-6-3 08:02
多发点图供小第们学习
作者: jinguoji    时间: 2007-6-8 21:46
学习了,谢谢!
作者: 王守平    时间: 2007-6-20 05:05
学习了!
作者: 王加美    时间: 2007-6-23 19:30
任达华好像家杰老师的啊
大家没有发现吗
作者: drzhenghb    时间: 2007-6-24 00:45
指针宽了些
wallstent9*50可以全部覆盖,可以节约些
当然楼住的选择无可指责




欢迎光临 医影在线 (http://bbs.radida.com/bbs/) Powered by Discuz! X3.2