医影在线

标题: CT8387:男,28岁。表皮样囊肿? [打印本页]

作者: 心愿    时间: 2007-5-25 19:42
标题: CT8387:男,28岁。表皮样囊肿?
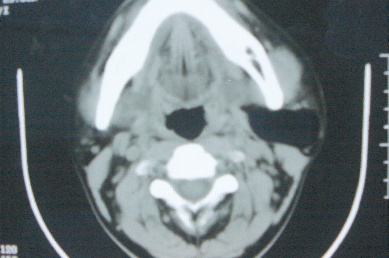
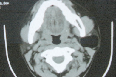
ct10755,男,28岁。发现左侧腮腺区肿块几年,今要求ct检查。左侧腮腺区低密度影,ct值-153hu。











[本贴已被 jiajie 于 2007-5-25 13:20:44 修改过]

作者: 仁者无敌    时间: 2007-5-25 19:49
腮腺混合瘤!
作者: 心愿    时间: 2007-5-25 19:57
呵呵,我还认为脂肪瘤可能性大
作者: 清清楚楚    时间: 2007-5-25 20:00
同意三楼意见
作者: 天南地北    时间: 2007-5-25 20:11
支持楼主意见
作者: jinning    时间: 2007-5-25 20:18
脂肪瘤可能性大
作者: ZHANGZHONGSHOU    时间: 2007-5-25 20:57
腮腺脂肪瘤可能性大,mri对脂肪更有特异性,建议mri检查。
作者: 拾荒者    时间: 2007-5-25 21:03
左侧腮腺区囊状低密度影,ct值-153hu,考虑腮腺脂肪瘤。
作者: 宝天曼    时间: 2007-5-25 21:20
腮腺脂肪瘤可能性大,0
作者: weijing    时间: 2007-5-25 21:28
腮腺脂肪瘤可能性大
作者: zjzjr    时间: 2007-5-25 21:28
腮腺脂肪瘤可能性大
作者: yang123456    时间: 2007-5-25 21:41
支持楼上意见
作者: 苯小孩    时间: 2007-5-25 21:50
病灶为一边界清晰脂性区,其内未见实质性组织.支持考虑:左侧腮腺脂肪瘤可能性大.
作者: 卜一    时间: 2007-5-25 22:19
脂肪瘤可能性大!支持!
作者: 王守平    时间: 2007-5-25 22:58
腮腺囊肿
作者: zhangxiangjun    时间: 2007-5-25 23:16
腮腺脂肪瘤可能性大,mri对脂肪更有特异性,建议mri检查。
作者: zxczxc    时间: 2007-5-26 00:31
左侧腮腺区见低密度占位病变考虑先天病变 主要为第一鳃裂囊肿,淋巴管瘤 (囊状水瘤)
作者: 王靖旗    时间: 2007-5-26 01:37
标题: 回复:ct8387:男,28岁。表皮样囊肿?
以下是引用拾荒者在2007-5-25 13:03:00的发言:[br]左侧腮腺区囊状低密度影,ct值-153hu,考虑腮腺脂肪瘤。

作者: hhcckk    时间: 2007-5-26 01:52
腮腺脂肪瘤
ct能定性的良性肿瘤不多,对脂肪瘤的诊断是比较有把握的,加大窗宽还可以看到里面有分隔
作者: qiuleiyu    时间: 2007-5-26 02:10
标题: 回复:ct8387:男,28岁。表皮样囊肿?
以下是引用zjzjr在2007-5-25 13:28:00的发言:[br]腮腺脂肪瘤可能性大

作者: jw-830    时间: 2007-5-26 02:31
腮腺脂肪瘤可能性大,mri对脂肪更有特异性,建议mri检查。
作者: dyqct    时间: 2007-5-26 03:30
支持楼主意见,或是腮腺脂肪瘤。
作者: zyx168    时间: 2007-5-26 16:45
ct值-153hu,腮腺脂肪瘤。




欢迎光临 医影在线 (http://bbs.radida.com/bbs/) Powered by Discuz! X3.2