医影在线

标题: CT8388:女,48岁。感腹胀一周,请会诊 [打印本页]

作者: 心愿    时间: 2007-5-25 19:49
标题: CT8388:女,48岁。感腹胀一周,请会诊
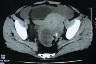
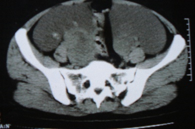
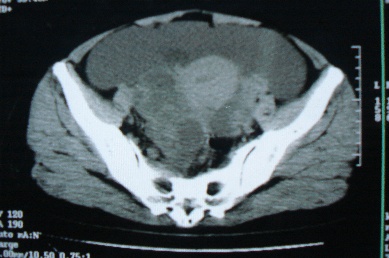
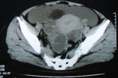
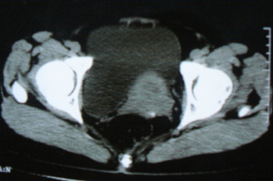
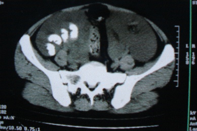
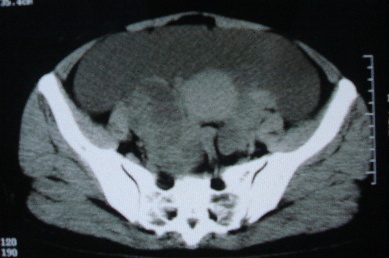
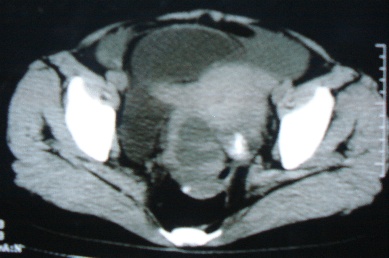
ct10755,女,48岁。感腹胀一周入院。















[本贴已被 jiajie 于 2007-5-25 13:22:08 修改过]

作者: jinning    时间: 2007-5-25 20:16
考虑右侧卵巢囊腺癌并腹腔转移、子宫肌瘤
作者: 天南地北    时间: 2007-5-25 20:19
感觉像是2个病变融合:双侧附件囊腺瘤?
期待结果。
作者: ydx_74    时间: 2007-5-25 20:20
支持右侧卵巢囊腺癌并腹腔转移
作者: 清清楚楚    时间: 2007-5-25 20:53
支持战友们的意见,期待结果。
作者: ZHANGZHONGSHOU    时间: 2007-5-25 20:56
标题: 回复:请会诊
考虑右侧卵巢囊腺癌并腹腔转移可能性大、子宫肌瘤
作者: 拾荒者    时间: 2007-5-25 21:01
支持:右侧卵巢囊腺癌并腹腔转移,或囊腺瘤破裂腹腔种植。
作者: yang123456    时间: 2007-5-25 21:28
支持楼上意见。
作者: zjzjr    时间: 2007-5-25 21:31
支持:右侧卵巢囊腺癌并腹腔转移、腹水、盆腔积液。
作者: 苯小孩    时间: 2007-5-25 21:55
标题: 回复:ct8388:女,48岁。感腹胀一周,请会诊
以下是引用zjzjr在2007-5-25 13:31:00的发言:[br]支持:右侧卵巢囊腺癌并腹腔转移、腹水、盆腔积液。

作者: 宝天曼    时间: 2007-5-25 22:12
支持右侧卵巢囊腺癌并腹腔转移
作者: 卜一    时间: 2007-5-25 22:18
支持:右侧卵巢囊腺癌并腹腔转移!
作者: tianhep    时间: 2007-5-25 22:38
支持:右侧卵巢囊腺癌并腹腔转移、腹水、盆腔积液。
作者: 王守平    时间: 2007-5-25 22:54
标题: [原创]回复:ct8388:女,48岁。感腹胀一周,请会诊
以下是引用zjzjr在2007-5-25 13:31:00的发言:[br]支持:右侧卵巢囊腺癌并腹腔转移、腹水、盆腔积液。

作者: zhangxiangjun    时间: 2007-5-25 23:18
支持:考虑右侧卵巢囊腺癌并腹腔转移、子宫肌瘤.
作者: shunyixubing    时间: 2007-5-26 00:46
卵巢囊腺癌并腹腔转移、腹水、盆腔积液。
作者: jsgdoctor    时间: 2007-5-26 00:48
考虑为右侧卵巢囊腺癌并腹腔转移、腹水、盆腔积液.
作者: zxczxc    时间: 2007-5-26 01:25
右侧卵巢囊腺癌并腹腔转移,腹水。
作者: dyqct    时间: 2007-5-26 03:28
支持右侧卵巢囊腺癌并腹腔转移(大量腹水)。
作者: 汪涛同志    时间: 2007-5-26 09:00
标题: 回复:ct8388:女,48岁。感腹胀一周,请会诊
以下是引用拾荒者在2007-5-25 13:01:00的发言:[br]支持:右侧卵巢囊腺癌并腹腔转移,或囊腺瘤破裂腹腔种植。

支持!
作者: ailuanfei    时间: 2007-5-26 16:34
支持右侧卵巢囊腺癌并腹腔转移
作者: zyx168    时间: 2007-5-26 16:44
右侧卵巢囊腺癌并腹腔转移、腹水、盆腔积液。
作者: xgy_2005    时间: 2007-5-26 16:52
支持右侧卵巢囊腺癌并腹腔转移




欢迎光临 医影在线 (http://bbs.radida.com/bbs/) Powered by Discuz! X3.2