医影在线
标题: CT8389:背部皮下包块,平扫+增强,急诊请大家看看 [打印本页]
作者: xclzq_910 时间: 2007-5-25 20:24
标题: CT8389:背部皮下包块,平扫+增强,急诊请大家看看
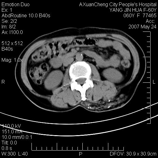
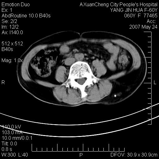
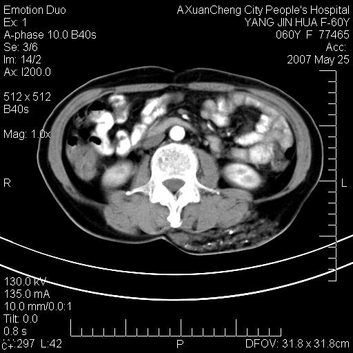
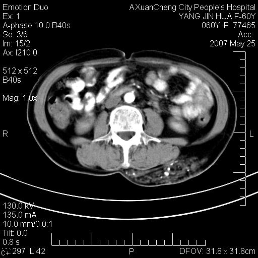
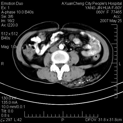
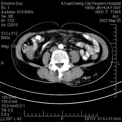
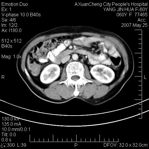
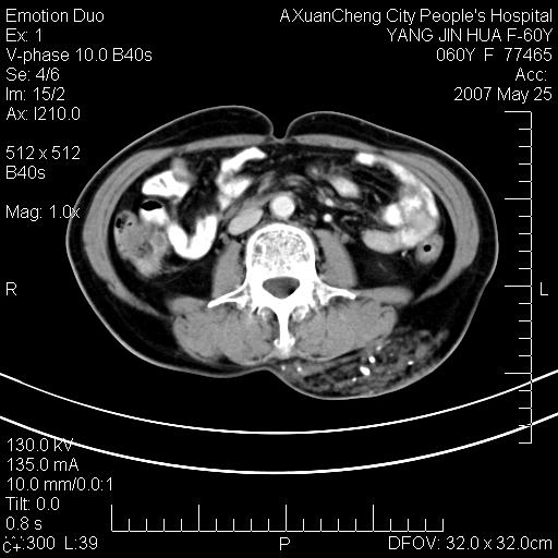
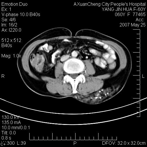
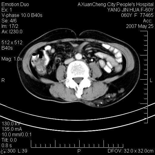
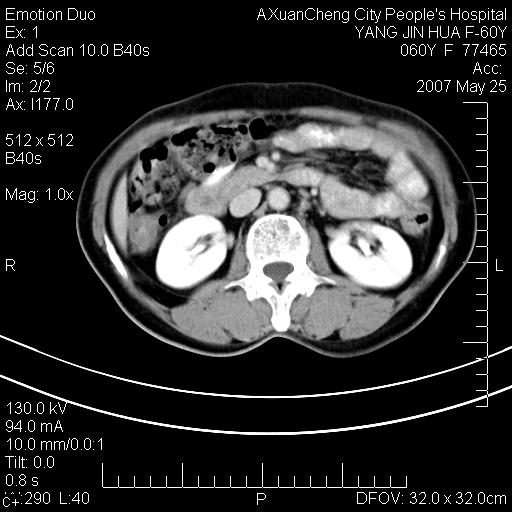
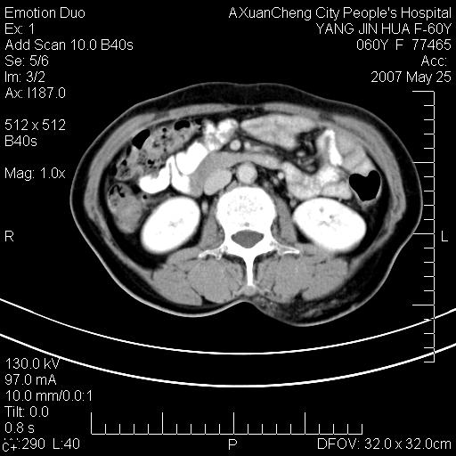
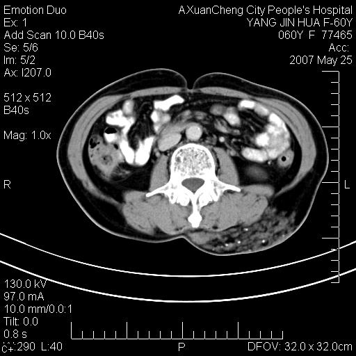
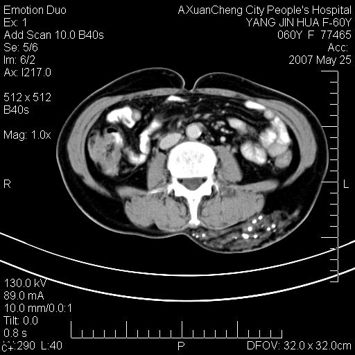
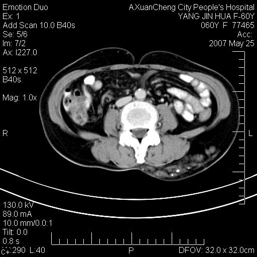
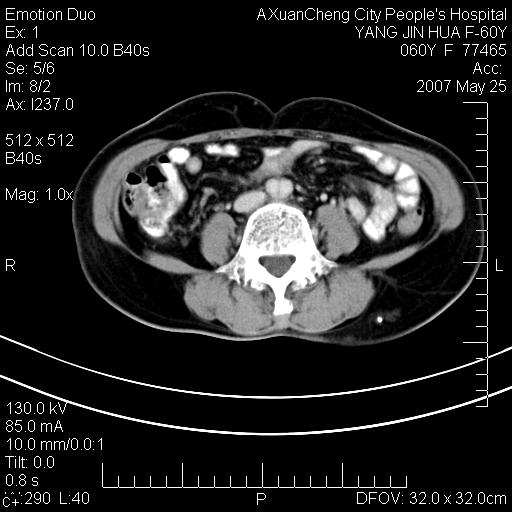
发现左侧腰背部包块40余年,逐渐长大,质软,局部表面可见扩张的血管影






























[本贴已被 jiajie 于 2007-5-25 13:23:32 修改过]
作者: 天南地北 时间: 2007-5-25 20:38
考虑皮下血管瘤可能性大
期待病理结果
作者: ZHANGZHONGSHOU 时间: 2007-5-25 20:40
标题: 回复
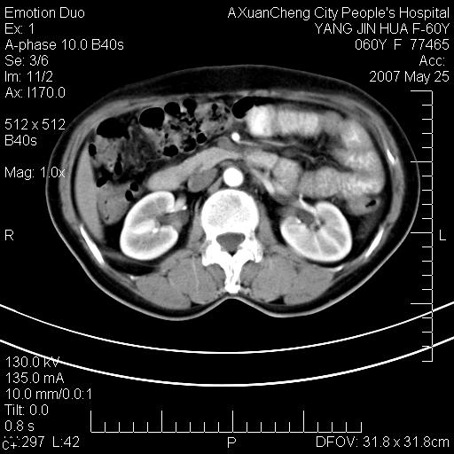
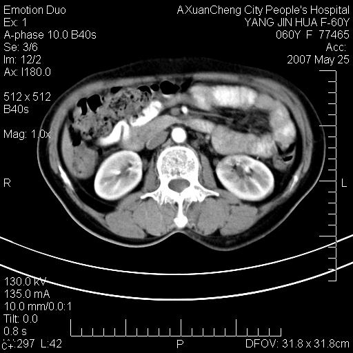
左背部皮下良性肿瘤,密度不均,边界不清,内有脂肪、钙化,增强扫描无明显强化,血管平滑肌脂肪瘤?进一步诊断有困难,建议穿刺活检。
[本贴已被 zhangzhongshou 于 2007-5-25 12:42:52 修改过]
作者: 清清楚楚 时间: 2007-5-25 20:50
造个句"皮下错钩瘤"可能性大
作者: 拾荒者 时间: 2007-5-25 21:08
标题: 回复
左侧背部皮下混杂密度肿块,结构较疏松,边缘欠光整,内有多发斑点状钙化,考虑:皮下血管瘤。
[本贴已被 拾荒者 于 2007-5-25 19:39:45 修改过]
作者: zjzjr 时间: 2007-5-25 21:34
支持皮下血管瘤可能性大。
作者: xclzq_910 时间: 2007-5-25 21:52
这个病理增强扫描之前,我们是考虑是血管瘤,可是现在增强后一点强化都没有,还能考虑是血管瘤吗
作者: 苯小孩 时间: 2007-5-25 21:58
标题: 回复:ct8389:背部皮下包块,平扫+增强,急诊请大家看看
以下是引用zhangzhongshou在2007-5-25 12:40:00的发言:[br]左背部皮下良性肿瘤,密度不均,边界不清,内有脂肪、钙化,增强扫描无明显强化,血管平滑肌脂肪瘤?进一步诊断有困难,建议穿刺活检。[br][br][本贴已被 zhangzhongshou 于 2007-5-25 12:42:52 修改过]
作者: 心愿 时间: 2007-5-25 22:01
左背部皮下良性肿瘤,密度不均,边界不清,内有脂肪、钙化,增强扫描无明显强化,血管平滑肌脂肪瘤?进一步诊断有困难,建议穿刺活检。还有,我想还是问一下病史,患者有外伤史吗?能否完全排除外伤后机化的....
作者: 卜一 时间: 2007-5-25 22:16
血管平滑肌脂肪瘤,支持!另应详细了解病史,待除外骨化性肌炎。
作者: 王守平 时间: 2007-5-25 22:49
支持血管平滑肌脂肪瘤
作者: zhangxiangjun 时间: 2007-5-25 23:19
左背部皮下良性肿瘤,密度不均,边界不清,内有脂肪、钙化,增强扫描无明显强化,血管平滑肌脂肪瘤?进一步诊断有困难,建议穿刺活检。
完全支持穿刺..
作者: jinning 时间: 2007-5-26 00:19
血管平滑肌脂肪瘤,支持!
作者: jsgdoctor 时间: 2007-5-26 00:55
血管瘤
作者: qiuleiyu 时间: 2007-5-26 01:20
支持皮下血管瘤畸形可能大。
作者: 王靖旗 时间: 2007-5-26 01:31
其内可见斑点状静脉石,血管瘤有时就不增强化,还是血管瘤。
作者: andymaomao 时间: 2007-5-26 01:40
1.考虑左腰部皮下平滑肌脂肪瘤可能性大;
2.位置特殊,不除外畸胎瘤及错构瘤可能;
3.另骨化性肌炎应在考虑范围之内,请追问病史;
4.若为血管瘤为何不强化呢?
作者: hhcckk 时间: 2007-5-26 01:44
标题: 回复:ct8389:背部皮下包块,平扫+增强,急诊请大家看看
以下是引用拾荒者在2007-5-25 13:08:00的发言:[br]左侧背部皮下混杂密度肿块,结果较疏松,边缘欠光整,内有多发斑点状钙化,考虑:皮下血管瘤。
支持血管瘤
1、病灶内有小点状钙化,静脉石?这可是血管瘤诊断的重要征象
2、病灶内有脂肪组织增生,血管瘤有此特点
3、病灶柔软,表面有扩张的血管
4、增强不明显可能要另找原因了
作者: dyqct 时间: 2007-5-26 03:27
比较典型的左背部皮下血管瘤。
作者: wqs571018 时间: 2007-5-26 04:16
倾向于皮下血管瘤,但为什么不增强?
作者: xulianj 时间: 2007-5-26 05:24
支持血管平滑肌脂肪瘤或血管瘤
作者: shenhs 时间: 2007-5-26 06:56
标题: 回复:ct8389:背部皮下包块,平扫+增强,急诊请大家看看
以下是引用andymaomao在2007-5-25 17:40:00的发言:[br]1.考虑左腰部皮下平滑肌脂肪瘤可能性大;[br]2.位置特殊,不除外畸胎瘤及错构瘤可能;[br]4.若为血管瘤为何不强化呢?
作者: 汪涛同志 时间: 2007-5-26 07:52
还是考虑皮下血管瘤,强化不明显可能跟大量血栓形成有关,好多战友考虑血管平滑肌脂肪瘤,血管平滑肌脂肪瘤的血管就不强化么?只要有血管就都应该强化。
作者: zyx168 时间: 2007-5-26 16:41
左背部皮下血管瘤
作者: ailuanfei 时间: 2007-5-26 16:42
皮下血管瘤
| 欢迎光临 医影在线 (http://bbs.radida.com/bbs/) |
Powered by Discuz! X3.2 |