















































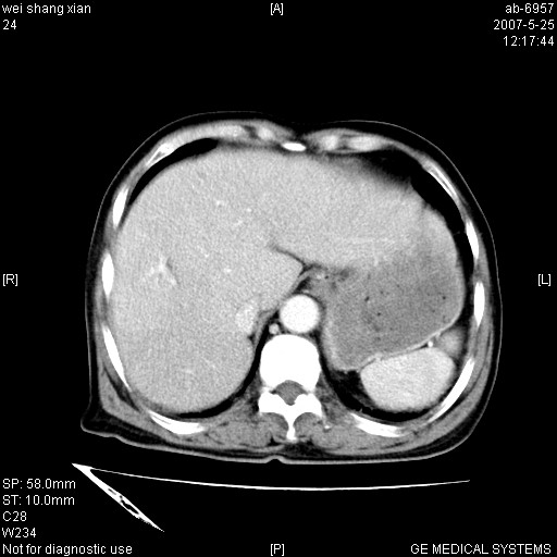
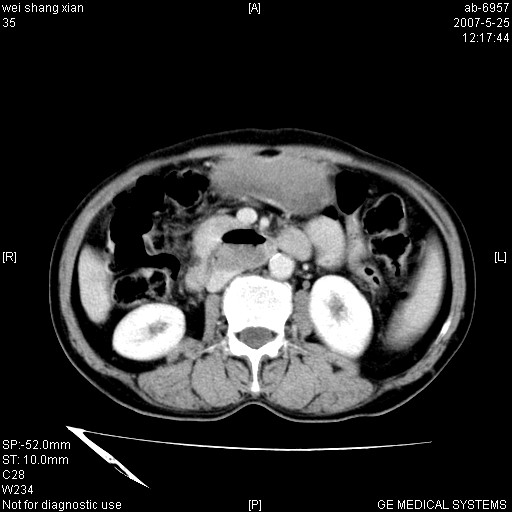
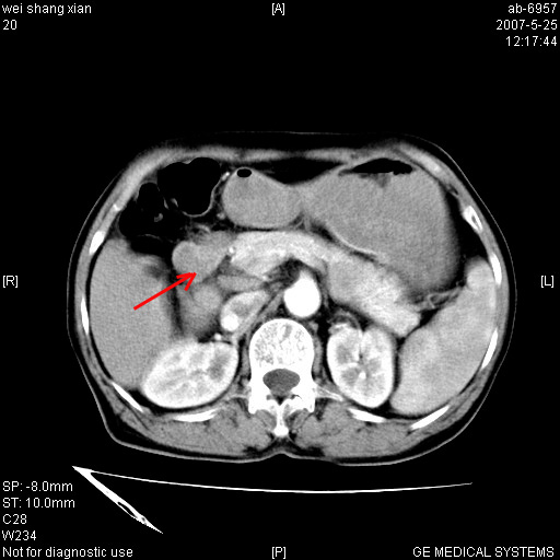
以下是引用hhcckk在2007-5-25 16:58:00的发言:[br][br]
[br]
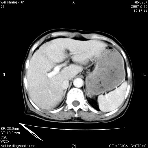
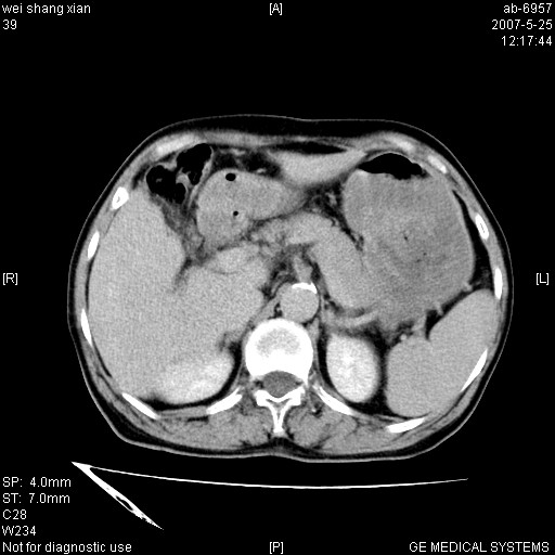
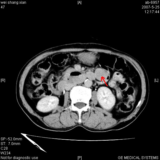
以下是引用hhcckk在2007-5-25 16:58:00的发言:[br][br]
[br]
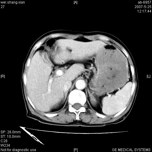
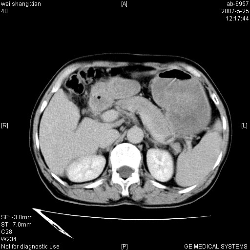
以下是引用拾荒者在2007-5-25 20:16:00的发言:[br][quote]以下是引用hhcckk在2007-5-25 16:58:00的发言:[br][br]
[br]
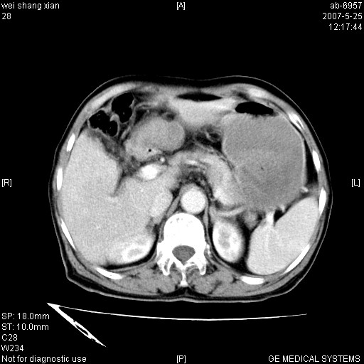
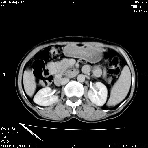
以下是引用hhcckk在2007-5-25 16:58:00的发言:[br][br]
[br]
[br]
[br][/quote| 欢迎光临 医影在线 (http://bbs.radida.com/bbs/) | Powered by Discuz! X3.2 |