

以下是引用天南地北在2007-5-26 12:12:00的发言:[br]多骨骨纤
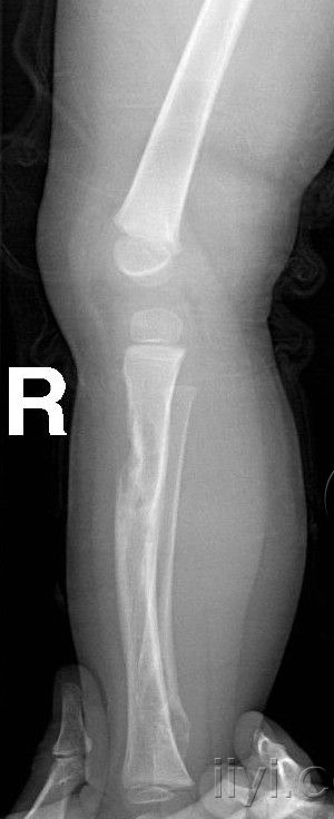
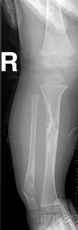
以下是引用zhangzhongshou在2007-5-26 22:17:00的发言:[br]腓骨下端、胫骨中段骨质膨胀改变,胫骨有骨硬化,多考虑胫腓骨骨纤维异常增殖症,伴腓骨病理性骨折。
以下是引用zhangzhongshou在2007-5-26 22:17:00的发言:[br]腓骨下端、胫骨中段骨质膨胀改变,胫骨有骨硬化,多考虑胫腓骨骨纤维异常增殖症,伴腓骨病理性骨折。
以下是引用dongjianchun在2007-5-27 12:59:00的发言:[br]胫腓骨噬酸性肉芽肿
| 欢迎光临 医影在线 (http://bbs.radida.com/bbs/) | Powered by Discuz! X3.2 |