






















以下是引用dyqct在2007-5-26 12:10:00的发言:[br]考虑:1、左侧腰大肌囊实性占位性病变(囊性神经根鞘瘤?);[br] 2、右侧兰尾区囊性占位性病变(兰尾囊肿?囊腺癌?类癌?)
以下是引用天南地北在2007-5-26 12:44:00的发言:[br][quote]以下是引用dyqct在2007-5-26 12:10:00的发言:[br]考虑:1、左侧腰大肌囊实性占位性病变(囊性神经根鞘瘤?);[br] 2、右侧兰尾区囊性占位性病变(兰尾囊肿?囊腺癌?类癌?)
以下是引用dyqct在2007-5-26 12:10:00的发言:[br]考虑:1、左侧腰大肌囊实性占位性病变(囊性神经根鞘瘤?);[br] 2、右侧兰尾区囊性占位性病变(兰尾囊肿?囊腺癌?类癌?)
以下是引用dyqct在2007-5-26 12:10:00的发言:
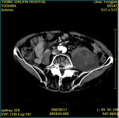
考虑:1、左侧腰大肌囊实性占位性病变(囊性神经根鞘瘤?);
2、右侧兰尾区囊性占位性病变(兰尾囊肿?囊腺癌?类癌?)
以下是引用天南地北在2007-5-26 12:44:00的发言:[br][quote]以下是引用dyqct在2007-5-26 12:10:00的发言:[br]考虑:1、左侧腰大肌囊实性占位性病变(囊性神经根鞘瘤?);[br] 2、右侧兰尾区囊性占位性病变(兰尾囊肿?囊腺癌?类癌?)
以下是引用dyqct在2007-5-26 12:10:00的发言:[br]考虑:1、左侧腰大肌囊实性占位性病变(囊性神经根鞘瘤?);[br] 2、右侧兰尾区囊性占位性病变(兰尾囊肿?囊腺癌?类癌?)
以下是引用xiaoniu在2007-5-26 10:45:00的发言:[br]腰大肌的病变应该没有问题,增强扫描还有轻度强化及细小血管影入内,应该排除脓肿,考虑占位性病变,腰大肌的占位多考虑:神经源性肿瘤。另外腹主动脉下端有真假腔的强化,考虑:主动脉夹层。[br][br][本贴已被 xiaoniu 于 2007-5-26 10:46:39 修改过]
以下是引用老爱克斯新网客在2007-5-26 18:26:00的发言:[br]1左下腹囊实性占位肿块,增强后不均匀强化,位于脊柱旁,椎体骨质无破坏软组织无肿胀,考虑神经源肿瘤神经鞘瘤可能大,2右下腹囊性占位性病变,增强后囊壁强化,考虑阑尾囊肿或囊腺瘤,
以下是引用zjzjr在2007-5-26 15:13:00的发言:[br][quote]以下是引用天南地北在2007-5-26 12:44:00的发言:[br][quote]以下是引用dyqct在2007-5-26 12:10:00的发言:[br]考虑:1、左侧腰大肌囊实性占位性病变(囊性神经根鞘瘤?);[br] 2、右侧兰尾区囊性占位性病变(兰尾囊肿?囊腺癌?类癌?)
以下是引用dyqct在2007-5-26 12:10:00的发言:
考虑:1、左侧腰大肌囊实性占位性病变(囊性神经根鞘瘤?);
2、右侧兰尾区囊性占位性病变(兰尾囊肿?囊腺癌?类癌?)
| 欢迎光临 医影在线 (http://bbs.radida.com/bbs/) | Powered by Discuz! X3.2 |