











以下是引用qiuleiyu在2007-5-26 20:12:00的发言:[br]右侧外囊区血肿,左侧额叶软化灶.有肿瘤病史,建议增强或mri除外转移.
以下是引用dyqct在2007-5-26 20:31:00的发言:[br][quote]以下是引用qiuleiyu在2007-5-26 20:12:00的发言:[br]右侧外囊区血肿,左侧额叶软化灶.有肿瘤病史,建议增强或mri除外转移.
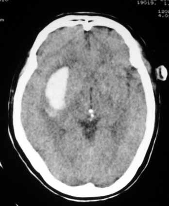
以下是引用jinning在2007-5-26 21:17:00的发言:[br]1、右侧外囊区脑出血[br]2、左侧额叶囊样低密度影,邻近颅骨内板见有骨质破坏,结合病史,符合转移瘤
以下是引用sjing在2007-5-26 21:17:00的发言:[br]1、右侧外囊区脑出血[br]2、左侧额叶囊样低密度影,周围结构无负占位效应,邻近颅骨内板见有骨质破坏,结合病史,考虑转移瘤.建议增强检查
以下是引用xinhai18在2007-5-26 20:15:00的发言:[br]1、右侧外囊区脑出血[br]2、左侧额叶囊样低密度影,邻近颅骨内板见有骨质破坏,结合病史,符合转移瘤.
以下是引用jinning在2007-5-26 21:17:00的发言:[br]1、右侧外囊区脑出血[br]2、左侧额叶囊样低密度影,邻近颅骨内板见有骨质破坏,结合病史,符合转移瘤
以下是引用天南地北在2007-5-26 22:20:00的发言:[br]以下是引用qiuleiyu在2007-5-26 20:12:00的发言:[br]右侧外囊区血肿,左侧额叶软化灶.有肿瘤病史,建议增强或mri除外转移. [br][br][br]支持!![br]
以下是引用qiuleiyu在2007-5-26 20:12:00的发言:[br]右侧外囊区血肿,左侧额叶软化灶.有肿瘤病史,建议增强或mri除外转移.
| 欢迎光临 医影在线 (http://bbs.radida.com/bbs/) | Powered by Discuz! X3.2 |