医影在线
标题: CT8424:男,89岁因外伤后2天胸腰椎CT平扫. [打印本页]
作者: guzhongliangddd 时间: 2007-5-28 03:35
标题: CT8424:男,89岁因外伤后2天胸腰椎CT平扫.
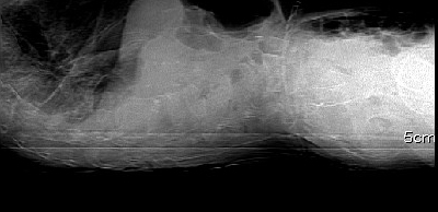
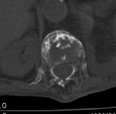
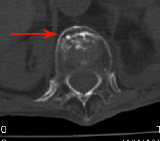
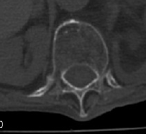
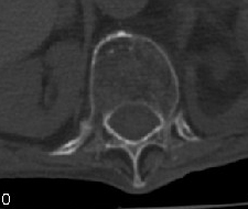
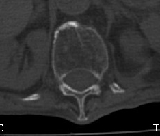
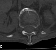
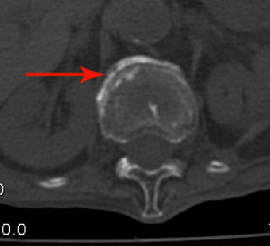
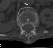
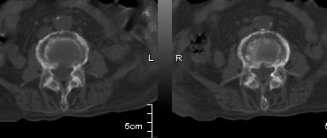
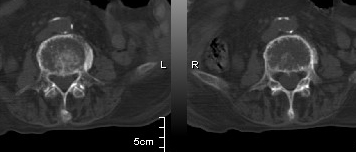
男:89岁因外伤后2天行ct检查。请各位战友讨论图中所指是否是骨折和形成该影像的原因(扫描层面位于椎体中份)。














[本贴已被 jiajie 于 2007-5-27 19:52:20 修改过]
作者: lifei2008553 时间: 2007-5-28 03:45
不象
作者: 王守平 时间: 2007-5-28 04:00
不象骨折,属退行性变
作者: haoyingyuan 时间: 2007-5-28 04:04
不象骨折
作者: 老爱克斯 时间: 2007-5-28 04:08
不是骨折是骨质增生所形成,
作者: 同 时间: 2007-5-28 04:18
不象骨折
作者: 李晓阳 时间: 2007-5-28 04:43
骨折,有龛顿
作者: 狙击手 时间: 2007-5-28 04:44
如有楔形变,考虑压缩性骨折,陈旧性,腰椎退行变。
作者: betty300 时间: 2007-5-28 04:59
腰椎退变并骨质疏松
作者: luochengyi 时间: 2007-5-28 04:59
考虑压缩性骨折,腰椎退行变。
作者: ydx_74 时间: 2007-5-28 05:04
标题: 回复:ct8424:男,89岁因外伤后2天胸腰椎ct平扫.

作者: dyqct 时间: 2007-5-28 05:06
老年性骨质疏松,可疑骨折。
作者: wzr 时间: 2007-5-28 05:17
不象骨折,属退行性变
作者: yxwsd 时间: 2007-5-28 05:18
老年性骨质疏松导致骨折。
作者: yuhg 时间: 2007-5-28 05:20
不是
作者: zzzzhhhhaaaannn 时间: 2007-5-28 05:25
不象骨折,虽然的双边影,但是椎体前后径没有变化,可能只是骨质增生所致
作者: luoyanmin 时间: 2007-5-28 05:27
椎体压缩性骨折,结肠淤张,胀气说明肯定骨折.
作者: luoyanmin 时间: 2007-5-28 05:31
椎体压缩骨折,结肠淤张,应该肯定,交感神经有损伤.
作者: 拾荒者 时间: 2007-5-28 05:52
标题: 回复:ct8424:男,89岁因外伤后2天胸腰椎ct平扫.
老年性骨质疏松,椎体前缘出现双边征支持压缩骨折。椎体骨质稀疏,似有破坏,警惕溶骨性骨转移。
[本贴已被 拾荒者 于 2007-5-28 12:54:25 修改过]
作者: hl0510 时间: 2007-5-28 05:58
一定要结合定位像.
作者: 王靖旗 时间: 2007-5-28 06:02
标题: 回复:ct8424:男,89岁因外伤后2天胸腰椎ct平扫.
以下是引用betty300在2007-5-27 20:59:00的发言:[br]腰椎退变并骨质疏松
作者: 魏永民 时间: 2007-5-28 06:05
椎体前缘双边征,其后椎体内密度增高均提示压缩性骨折
作者: 朱亮 时间: 2007-5-28 06:07
压缩性骨折,骨质疏松,前缘密度增高,考虑压缩所致
作者: shenhs 时间: 2007-5-28 06:08
考虑压缩所致
作者: jinning 时间: 2007-5-28 06:17
腰椎退变并骨质疏松
作者: zjzjr 时间: 2007-5-28 06:34
老年性骨质疏松症、压缩性骨折,退行性变。
作者: 天南地北 时间: 2007-5-28 08:07
标题: 回复:ct8424:男,89岁因外伤后2天胸腰椎ct平扫.
以下是引用zjzjr在2007-5-27 22:34:00的发言:[br]老年性骨质疏松症、压缩性骨折,退行性变。
作者: 百年合好 时间: 2007-5-28 08:34
同意9楼
作者: 清清楚楚 时间: 2007-5-28 13:50
考虑压缩性骨折,腰椎退变并骨质疏松
作者: 宝天曼 时间: 2007-5-28 14:34
腰椎退变并骨质疏松
作者: jsgdoctor 时间: 2007-5-28 16:07
不象骨折,腰椎退行性变.
作者: 还珠格格 时间: 2007-5-28 17:14
椎体前缘呈双边征 考虑 压缩性骨折,椎体退行性病变。
作者: jsmctmri 时间: 2007-5-28 17:25
虽有双边,单骨皮质完整。
作者: 卜一 时间: 2007-5-28 17:31
腰椎退变并骨质疏松
支持!
作者: liaizhi 时间: 2007-5-28 17:37
腰椎腿性行改变,骨质疏松
作者: lihongwei 时间: 2007-5-28 17:47
以下是引用dyqct在2007-5-27 21:06:00的发言:
老年性骨质疏松,可疑骨折。
作者: jinguoji 时间: 2007-5-28 17:51
支持腰椎退变并骨质疏松.
作者: ailuanfei 时间: 2007-5-28 17:54
椎体前缘双边征,其后椎体内密度增高均提示压缩性骨折
作者: guzhongliangddd 时间: 2007-5-28 21:11
说实话,我发布该病例的目的是大家在日常工作经常遇到的,由于现在的医患关系好处理,在写报告时遇到类似问题一定要小心.
谢谢各位的参与!!!
我的报告1:腰椎骨质退行性改变。
2:t12改变考虑压缩骨折?请结合临床。
作者: TFQ6909 时间: 2007-5-28 21:22
骨质疏松,考虑陈旧压缩性骨折.(有硬化边).
作者: chmb 时间: 2007-5-28 22:48
支持楼主,报告应当严谨点
作者: 永州人 时间: 2007-5-28 23:36
不想骨折 考虑退变
作者: qiuleiyu 时间: 2007-5-29 02:37
标题: 回复:ct8424:男,89岁因外伤后2天胸腰椎ct平扫.
以下是引用chmb在2007-5-28 14:48:00的发言:[br]支持楼主,报告应当严谨点
作者: xulianj 时间: 2007-5-29 04:44
腰椎退变和骨质疏松症
| 欢迎光临 医影在线 (http://bbs.radida.com/bbs/) |
Powered by Discuz! X3.2 |