医影在线

标题: ZX0530:求助,6个月大的婴儿CT片 [打印本页]

作者: suxiaowei    时间: 2007-5-28 05:42
标题: ZX0530:求助,6个月大的婴儿CT片
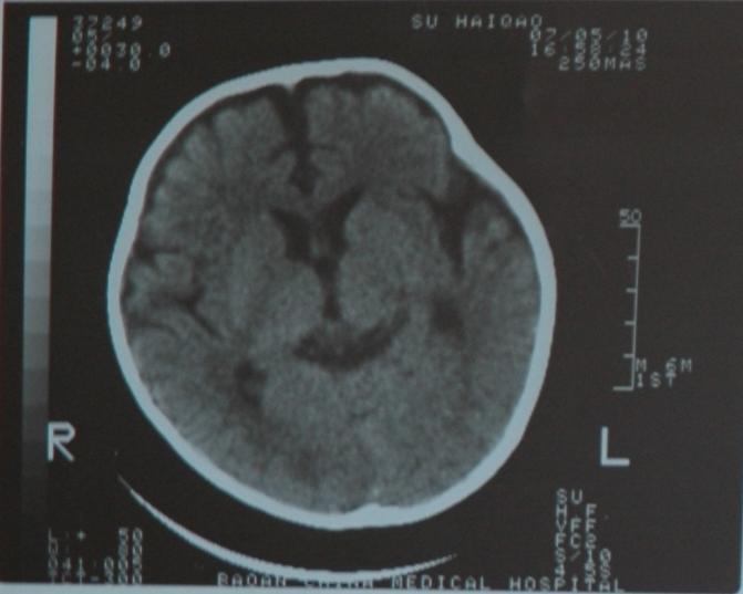
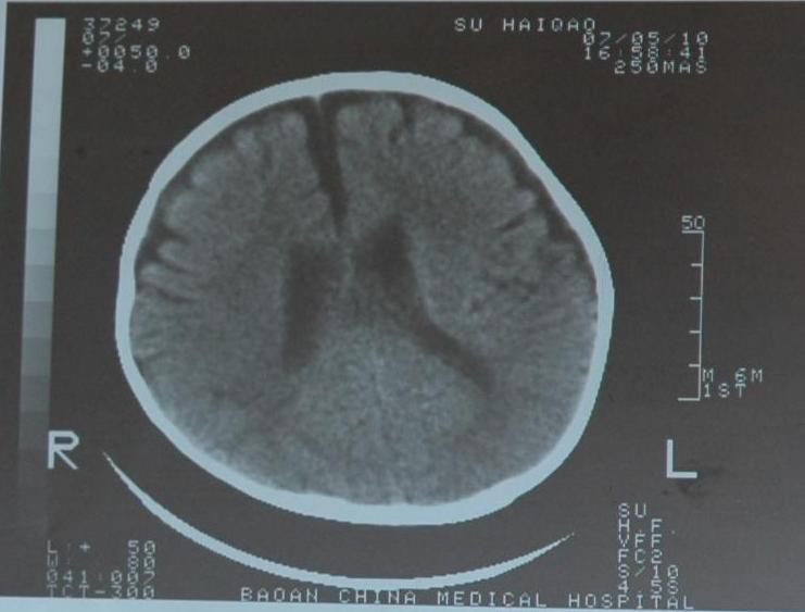
ct检查报告单
检查部位:头颅ct扫描
层厚:10mm     层距:10mm
扫描所见:双侧额颞部颅骨内板下方见对称性带状脑脊液样低密度影,并向前纵裂延伸,两侧大脑半球、脑干及小脑实质密度未见异常,侧脑室及三脑室略宽,双侧额叶脑沟深深加宽。四脑室形态无变形、移位或扩张,中线结构居中。

ct诊断:1、外部性脑积水(少量)。2、侧脑室、三脑室略宽,双侧额叶脑沟增深加宽,请结合临床。

贝利婴幼儿发育评估:
智力量表:粗分 58,认知发育相当于5个月大的水平。
运动量表:粗分 22,运动发育相当于5个月大的水平。
测试中情况:该名儿童在测试中情绪一般,对玩具有一定兴趣,双手主动运动较少,伸手取物时有姿势异常,手眼协调性较差;肢体力量稍差,翻身动作不多,支撑下坐时弯腰明显。
建议:结合头颅ct检查结果,建议运动训练及药物治疗;继续观察其发育情况。


医生建议打针:神经节苷脂,该针水是猪脑提取物,
本人考虑到风险性不想打针,只想做运动训练及脑超声。且脑外性积水有自愈的案例。
恳请各位专家帮忙诊断,是否到了一定要打针的程度。











该名儿童生产时母亲痛了10小时,打过镇定剂,最后因羊水浊,剖腹产、体重6斤。
上星期因发烧,前脑信凸起,到医院检查。
平时无异常情况,有时呕吐很少(几天一次),睡前有点哭闹,要抱着才能入睡。有时不知原因哭得很大声。现阶段能坐、能翻身、能抬头会主动拿物(但抓得不准)



[本贴已被 jiajie 于 2007-5-28 8:46:14 修改过]

作者: zzzzhhhhaaaannn    时间: 2007-5-28 06:04
不象脑积水,
作者: 汪涛同志    时间: 2007-5-28 06:18
支持外部性脑积水,不过现在不这样叫了,统称为颅内脑外间隙增宽,我认为不必要打针,以功能锻炼为主,定期复查至囟门闭合后,不是脑外性积水有自愈的案例,而是绝大多数病例都是在囟门闭合后自愈的。
作者: suxiaowei    时间: 2007-5-28 06:21
那是好还是坏?医生说有点脑萎缩,但没有对比,不知是向好还是向坏发展。
作者: 天南地北    时间: 2007-5-28 06:22
支持外部性脑积水,不过现在不这样叫了,统称为颅内脑外间隙增宽
作者: jinning    时间: 2007-5-28 06:31
未见明显异常
作者: 宝天曼    时间: 2007-5-28 14:53
支持外部性脑积水,不过现在不这样叫了,统称为颅内脑外间隙增宽
作者: 尚峰    时间: 2007-5-29 02:33
脑外间隙增宽!不用管。
作者: lisihao    时间: 2007-5-29 04:12
颅内脑外间隙增宽,根据你说的病史,可能是hie后遗症,主要加强功能锻炼
作者: suxiaowei    时间: 2007-5-29 07:35
功能锻炼?是指哪些?医生说动作方面差得不是很远,主要是ct片显示大脑发育不好,要通过打针、做脑超声,促进大脑发育。要不可能有后遗症。如智力差、多动症等。做为父母的真的很担心!




欢迎光临 医影在线 (http://bbs.radida.com/bbs/) Powered by Discuz! X3.2