医影在线

标题: CT8426:男 53岁 从高处摔伤 [打印本页]

作者: 还珠格格    时间: 2007-5-28 17:00
标题: CT8426:男 53岁 从高处摔伤
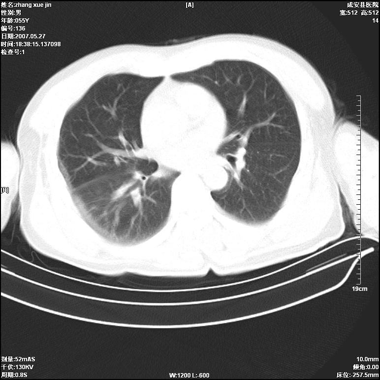
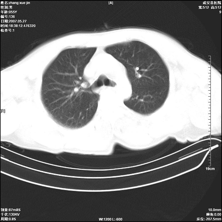
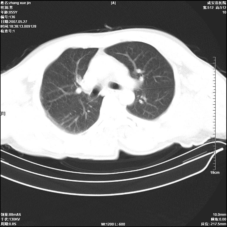
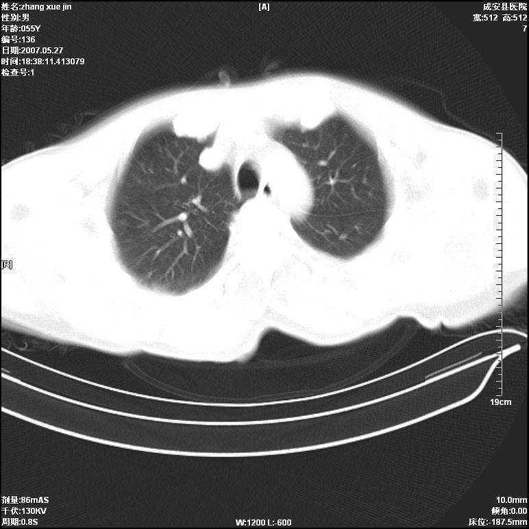
病人 男 53岁 从高处摔伤 行胸部ct检查,纵隔窗没事未上传,肺窗示,右侧胸膜下见条状稍高密度影,是胸膜下线还是右下肺轻度挫伤?意见不一,请分析。












[本贴已被 jiajie 于 2007-5-28 9:10:57 修改过]

作者: jiajie    时间: 2007-5-28 17:19
右肺下叶胸膜下弧形窄带状模糊影,结合病史,考虑肺挫伤。
建议一周后复查,肺挫伤一般3~10天完全吸收。
作者: haha215315    时间: 2007-5-28 17:22
右肺下叶胸膜下弧形窄带状模糊影,结合病史,考虑肺挫伤。
作者: luochengyi    时间: 2007-5-28 17:36
右肺下叶胸膜下弧形窄带状模糊影,结合病史,考虑肺挫伤。
作者: lihongwei    时间: 2007-5-28 17:40
右肺下叶胸膜下弧形窄带状模糊影,结合病史,考虑肺挫伤。
作者: 卜一    时间: 2007-5-28 17:41
支持考虑:肺挫伤!
作者: jsgdoctor    时间: 2007-5-28 17:42
考虑肺挫伤。
作者: dyqct    时间: 2007-5-28 18:02
应该把位置摆正,用吸气相或呼气相分别扫描,如果在深吸气相上无此影,支持正常肺坠积差。如果有那就是肺挫伤。
作者: jinguoji    时间: 2007-5-28 18:03
结合病史考虑肺挫伤。
作者: 清清楚楚    时间: 2007-5-28 18:15
考虑肺挫伤
作者: zzzzhhhhaaaannn    时间: 2007-5-28 18:26
支持肺挫伤,如果48小时阴影继续扩大,应疑有继发感染
作者: ailuanfei    时间: 2007-5-28 18:33
肺挫伤
作者: zjzjr    时间: 2007-5-28 18:41
支持考虑:肺挫伤!
作者: jsmctmri    时间: 2007-5-28 18:44
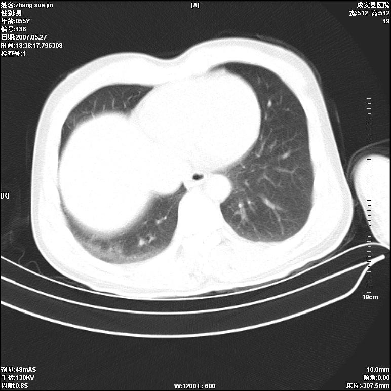
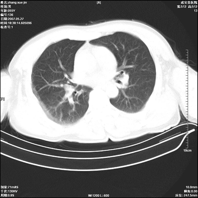
左肺亦有,建议深吸气后扫描,你们是技术员扫描吧。
作者: 宝天曼    时间: 2007-5-28 19:41
右肺下叶胸膜下弧形窄带状模糊影,
结合病史,考虑肺挫伤。
作者: 天南地北    时间: 2007-5-28 20:54
标题: 回复:ct8426:男 53岁 从高处摔伤
以下是引用dyqct在2007-5-28 10:02:00的发言:[br]应该把位置摆正,用吸气相或呼气相分别扫描,如果在深吸气相上无此影,支持正常肺坠积差。如果有那就是肺挫伤。

倾向前者:正常肺坠积差
作者: 拾荒者    时间: 2007-5-28 21:17
体位不正,左侧纵隔旁胸膜下亦见条带状略高密度影,考虑为坠积效应所致。
作者: 同    时间: 2007-5-28 22:06
考虑肺挫伤
作者: chenln9860    时间: 2007-5-28 22:52
正常肺坠积差
作者: jinning    时间: 2007-5-29 01:31
考虑肺挫伤。
作者: qiuleiyu    时间: 2007-5-29 02:27
标题: 回复:ct8426:男 53岁 从高处摔伤
以下是引用zjzjr在2007-5-28 10:41:00的发言:[br]支持考虑:肺挫伤!

作者: 老爱克斯    时间: 2007-5-29 02:53
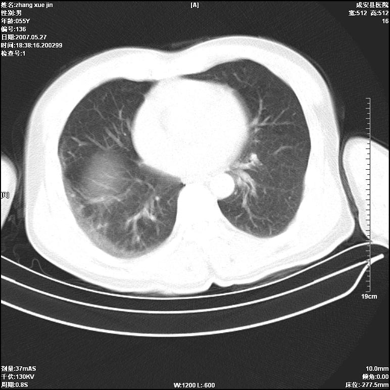
气管内见一小液平面,
作者: xulianj    时间: 2007-5-29 04:41
肺挫伤可能大
作者: wzr    时间: 2007-5-29 04:44
不一定是,有可能未屏住气及容积效应,请结合临床症状
作者: LLXXLL    时间: 2007-5-29 07:17
考虑肺挫伤,建议复查
作者: xjlaodao    时间: 2007-5-29 07:32
正常肺坠积差可能性大,
一定要明确的话得复查




欢迎光临 医影在线 (http://bbs.radida.com/bbs/) Powered by Discuz! X3.2