





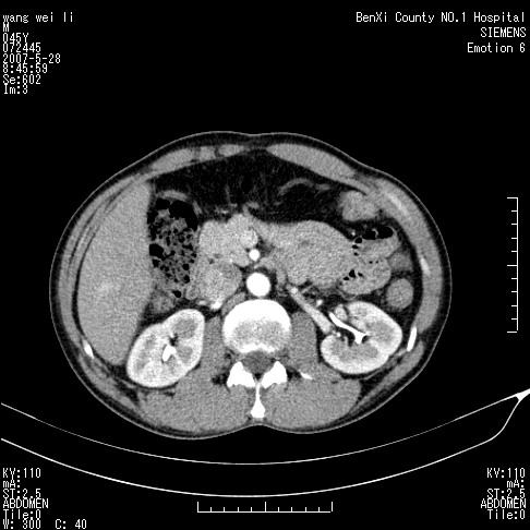
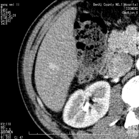
以下是引用还珠格格在2007-5-28 12:06:00的发言:[br]肝右叶后段病灶动脉期结节状强化,既然静脉期、延迟期为等密度充填 应考虑 肝右叶后段典型血管瘤。
以下是引用还珠格格在2007-5-28 12:06:00的发言:[br]肝右叶后段病灶动脉期结节状强化,既然静脉期、延迟期为等密度充填 应考虑 肝右叶后段典型血管瘤。
以下是引用zjzjr在2007-5-28 12:12:00的发言:[br][quote]以下是引用还珠格格在2007-5-28 12:06:00的发言:[br]肝右叶后段病灶动脉期结节状强化,既然静脉期、延迟期为等密度充填 应考虑 肝右叶后段典型血管瘤。
以下是引用还珠格格在2007-5-28 12:06:00的发言:[br]肝右叶后段病灶动脉期结节状强化,既然静脉期、延迟期为等密度充填 应考虑 肝右叶后段典型血管瘤。
| 欢迎光临 医影在线 (http://bbs.radida.com/bbs/) | Powered by Discuz! X3.2 |