医影在线
标题: CT8428:胸椎男,50岁,车祸来查头颅及胸部 [打印本页]
作者: w_jianhua 时间: 2007-5-28 19:56
标题: CT8428:胸椎男,50岁,车祸来查头颅及胸部
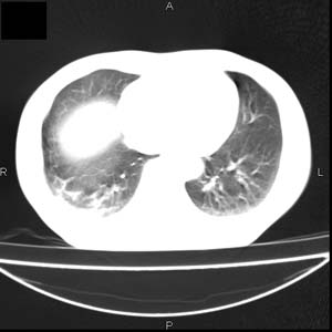
患者男,50岁,在高速公路上发生车祸来查头颅及胸部。查体双下肢感觉障碍。我看着好象气管有异物且有一个胸椎有骨折,但椎周软组织不对劲,请大家看看。
















[本贴已被 w_jianhua 于 2007-5-28 11:56:47 修改过]

































[本贴已被 w_jianhua 于 2007-5-28 15:18:15 修改过]
[本贴已被 jiajie 于 2007-5-28 16:35:41 修改过]
作者: zjzjr 时间: 2007-5-28 20:10
请上传骨窗和肺窗。
作者: 还珠格格 时间: 2007-5-28 20:13
上传骨窗及肺窗 不然不好定骨折,双侧胸腔少量积血。
作者: 天南地北 时间: 2007-5-28 20:55
标题: 回复:胸椎
以下是引用还珠格格在2007-5-28 12:13:00的发言:[br]上传骨窗及肺窗 不然不好定骨折,双侧胸腔少量积血。
作者: TFQ6909 时间: 2007-5-28 21:16
定位片,骨窗
作者: dyqct 时间: 2007-5-28 22:04
标题: 回复:胸椎
以下是引用还珠格格在2007-5-28 12:13:00的发言:[br]上传骨窗及肺窗 不然不好定骨折,双侧胸腔少量积血。
支持!!
作者: 同 时间: 2007-5-28 22:09
标题: 回复:胸椎
以下是引用还珠格格在2007-5-28 12:13:00的发言:[br]上传骨窗及肺窗 不然不好定骨折,双侧胸腔少量积血。
作者: 卜一 时间: 2007-5-28 22:19
以下是引用还珠格格在2007-5-28 12:13:00的发言:
上传骨窗及肺窗 不然不好定骨折,双侧胸腔少量积血。
支持!!!
作者: 小初学者 时间: 2007-5-29 01:07
标题: 回复:ct8428:胸椎男,50岁,车祸来查头颅及胸部
请教

作者: luochengyi 时间: 2007-5-29 01:10
标题: 回复:ct8428:胸椎男,50岁,车祸来查头颅及胸部
以下是引用还珠格格在2007-5-28 12:13:00的发言:[br]上传骨窗及肺窗 不然不好定骨折,双侧胸腔少量积血。
作者: jinning 时间: 2007-5-29 01:23
考虑1:椎旁血肿,2:tb
作者: qiuleiyu 时间: 2007-5-29 02:33
结合病史考虑胸椎挫伤及椎旁血肿,右下肺挫伤.建议mri.
作者: xulianj 时间: 2007-5-29 04:37
双侧胸腔少量积血,t4-5椎旁软组织肿胀。
作者: 宝天曼 时间: 2007-5-29 06:30
结合病史考虑胸椎挫伤及椎旁血肿,右下肺挫伤.建议mri
作者: 拾荒者 时间: 2007-5-29 07:00
结合病史考虑胸椎挫伤及椎旁血肿。随访复查吧,有的病人会发生迟发性椎体压缩骨折。
作者: xjlaodao 时间: 2007-5-29 08:12
做个mr吧
| 欢迎光临 医影在线 (http://bbs.radida.com/bbs/) |
Powered by Discuz! X3.2 |