医影在线

标题: DSA0106:M37Y,颈总动脉病变 [打印本页]

作者: jiajie    时间: 2007-5-31 06:36
标题: DSA0106:M37Y,颈总动脉病变







作者: zjzjr    时间: 2007-5-31 18:18
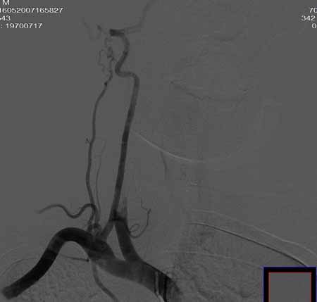
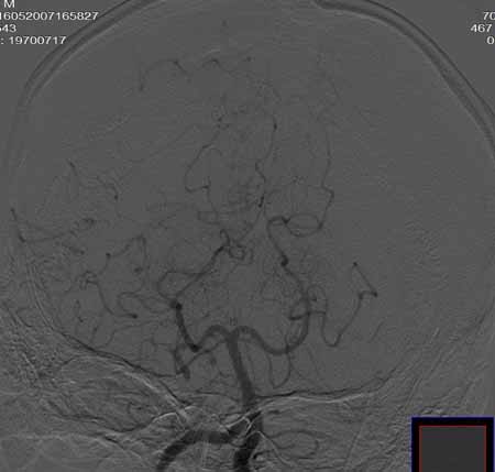
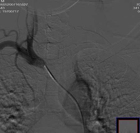
右侧颈总动脉闭塞(血栓形成),左侧大脑前动脉侧支、前交通动脉供应右侧大脑半球
作者: drzhang8888    时间: 2007-6-1 06:03
右侧颈总动脉闭塞
作者: sn4187189    时间: 2007-6-2 21:40
血栓范围有那么大吗?
作者: 火中金    时间: 2007-6-4 09:38
标题: 回复:dsa0106:m37y,颈总动脉病变
以下是引用zjzjr在2007-5-31 10:18:00的发言:[br]右侧颈总动脉闭塞(血栓形成),左侧大脑前动脉侧支、前交通动脉供应右侧大脑半球

作者: jinguoji    时间: 2007-6-8 21:33
右侧颈总动脉闭塞 学习了,谢谢!
作者: ouyangjiande    时间: 2007-6-9 16:46
该患者年龄不大,什么原因引起?能否提供一部分病史资料?谢谢!
作者: liaizhi    时间: 2007-6-13 19:19
标题: 回复:dsa0106:m37y,颈总动脉病变
以下是引用jinguoji在2007-6-8 13:33:00的发言:[br]右侧颈总动脉闭塞 学习了,谢谢!  [br]   [br]

作者: cdm0102    时间: 2007-6-15 06:32
该患者男.37岁.左侧肢体瘫痪.延安人,在干农活是突然发病。怎么治疗?
作者: drzhenghb    时间: 2007-6-24 00:41
右侧颈总动脉闭塞 ,左侧大脑前动脉侧支、前交通动脉供应右侧大脑半球,后交通部分开放 。缓慢代偿血流,分级3
右侧颈总动脉内见充盈缺损,提示血栓/栓子,原因:
1注意有无心房粘液瘤/血栓
2大动脉炎
抗凝治疗
作者: zhangxiangjun    时间: 2007-8-1 23:23
右侧颈总动脉闭塞 ,左侧大脑前动脉侧支、前交通动脉供应右侧大脑半球,后交通部分开放 。缓慢代偿血流,分级3
右侧颈总动脉内见充盈缺损,提示血栓/栓子,原因:
1注意有无心房粘液瘤/血栓
2大动脉炎
抗凝治疗
学习拉`
作者: 五阿哥    时间: 2007-8-8 05:58
右侧颈总a闭塞,右颈内颈外未显影,左侧未见异常,并通过wills环代偿右侧大脑半球血供




欢迎光临 医影在线 (http://bbs.radida.com/bbs/) Powered by Discuz! X3.2