医影在线

标题: PED0183:男,27天,出生后正常,枕部慢慢出现一包块 [打印本页]

作者: w_jianhua    时间: 2007-6-3 06:00
标题: PED0183:男,27天,出生后正常,枕部慢慢出现一包块
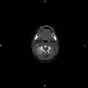
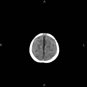
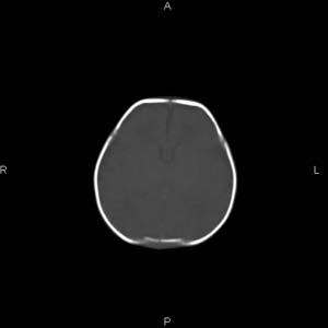
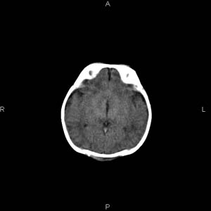
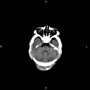
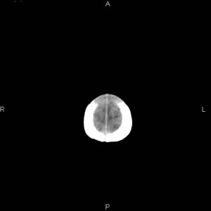
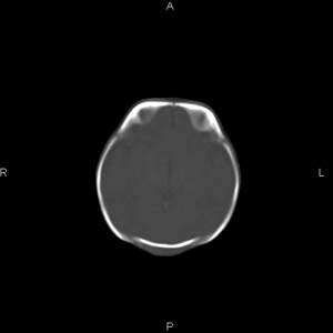
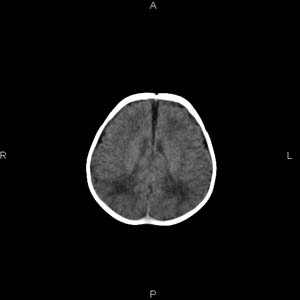
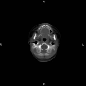
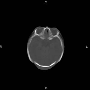
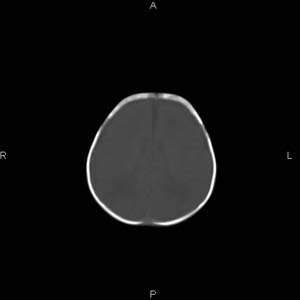
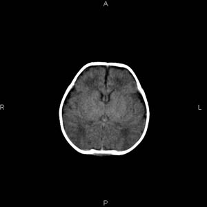
患者男,27天,出生后正常,今天中午在母亲怀里抱着吃奶在放下睡觉时发现后枕部慢慢出现一包块,来查头颅ct。无外伤史。包块内ct值47-51hu。请大家讨论。




















[本贴已被 jiajie 于 2007-6-3 10:16:47 修改过]

作者: TFQ6909    时间: 2007-6-3 06:04
脑膜脑膨出
mr确诊
作者: zzzzhhhhaaaannn    时间: 2007-6-3 06:43
碰着了吗,感觉枕骨有点凹陷似的,头皮血肿吧要是碰着的话
作者: liaizhi    时间: 2007-6-3 06:45
皮下血肿,颅骨无缺如 ,颅缝无增宽。皮下血管破裂所因起。
作者: 王守平    时间: 2007-6-3 07:01
头皮下血肿,局部枕骨略有凹陷
作者: zyx168    时间: 2007-6-3 07:15
头皮下血肿,局部枕骨略有凹陷
作者: 天南地北    时间: 2007-6-3 07:28
标题: 回复:婴儿头颅
以下是引用zyx168在2007-6-2 23:15:00的发言:[br]头皮下血肿,局部枕骨略有凹陷

支持
作者: liuyue    时间: 2007-6-3 07:34
1脑膜膨出可能性大 2产伤所致枕骨骨缝分离、头皮肿胀不除外,
建议:枕骨(下部)薄层扫描。
作者: 宝天曼    时间: 2007-6-3 15:46
皮下血肿,颅骨无缺如 ,颅缝无增宽。皮下血管破裂所因起。
作者: wansheng    时间: 2007-6-3 16:19
经常遇到,头皮下血肿(水瘤)颅骨无缺如 ,颅缝无增宽。皮下血管破裂所因起。
作者: wj2039    时间: 2007-6-3 16:22
头皮下血肿,局部枕骨略有凹陷
作者: ailuanfei    时间: 2007-6-3 16:37
头皮血肿
作者: fumaogui    时间: 2007-6-3 17:09
支持头皮血肿.
作者: 还珠格格    时间: 2007-6-3 17:10
枕部皮下血肿 局部枕骨凹陷
作者: lihongwei    时间: 2007-6-3 20:55
1脑膜膨出可能性大 2产伤所致枕骨骨缝分离、头皮肿胀不除外,
建议:枕骨(下部)薄层扫描。
作者: power3    时间: 2007-6-4 00:37
头皮下血肿
作者: zjzjr    时间: 2007-6-4 02:57
支持脑膜脑膨出,双侧侧脑室三角区周围脑白质对称性低密度影,考虑缺血缺氧性脑病或肾上腺性脑白质营养不良。
作者: zhangxiangjun    时间: 2007-6-4 07:58
支持头皮下血肿(水瘤)颅骨无缺如 ,颅缝无增宽。皮下血管破裂所因起。
作者: jinning    时间: 2007-6-4 18:05
头皮下血肿
作者: 一片云    时间: 2007-7-5 07:10
头皮下血肿
作者: 青莲居士    时间: 2007-7-7 09:39
头皮下血肿,局部枕骨略有凹陷
作者: yaozhimin    时间: 2007-7-31 04:59
血肿和脑彭出差别应该比较大吧,ct值不同吧,没搞过ct郁闷中
作者: 52YINGXIANG    时间: 2007-8-7 20:23
\"中午在母亲怀里抱着吃奶在放下睡觉时发现后枕部慢慢出现一包块,包块内ct值47-51hu。
颅骨无缺损,骨缝无增宽.支持头皮血肿(血管破裂)




欢迎光临 医影在线 (http://bbs.radida.com/bbs/) Powered by Discuz! X3.2