医影在线

标题: CT8581:女 63岁,近几周感觉头部不适 [打印本页]

作者: yanliang    时间: 2007-6-8 07:13
标题: CT8581:女 63岁,近几周感觉头部不适
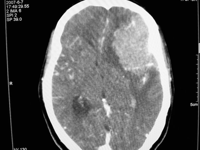
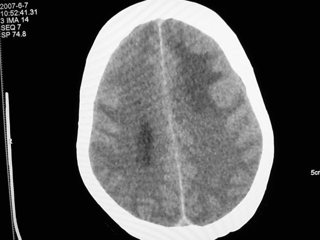
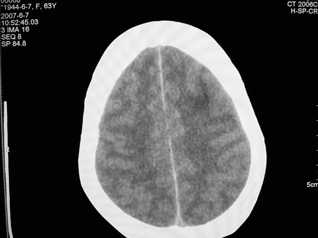
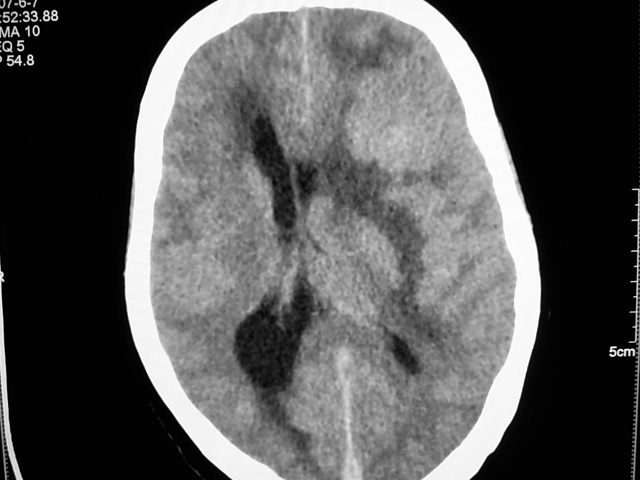
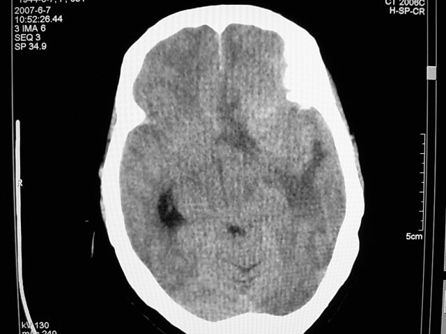
患者 女 63岁,近几周感觉头部不适来查体。
























[本贴已被 jiajie 于 2007-6-8 8:59:52 修改过]

作者: lkc8963    时间: 2007-6-8 07:25
请调骨窗。多考虑前中颅窝脑外肿瘤,脑膜瘤、淋巴瘤或血管外皮瘤均有可能,蝶嵴脑膜瘤可能性最大。
作者: ZHANGZHONGSHOU    时间: 2007-6-8 07:37
支持脑膜瘤可能性大
作者: 青莲居士    时间: 2007-6-8 08:30
支持脑膜瘤可能性大
作者: 卜一    时间: 2007-6-8 13:06
支持:脑膜瘤.
作者: 国窖1573    时间: 2007-6-8 14:34
支持脑膜瘤
作者: jsgdoctor    时间: 2007-6-8 15:23
支持脑膜瘤可能性大
作者: 还珠格格    时间: 2007-6-8 16:31
支持 脑膜瘤的可能性大
作者: hszhoupeng    时间: 2007-6-8 16:36
支持 脑膜瘤的可能性大
作者: zrs    时间: 2007-6-8 16:46
脑膜瘤,可能来源于蝶骨脊
作者: yangzongshan    时间: 2007-6-8 17:06
脑膜瘤
作者: haha215315    时间: 2007-6-8 17:06
支持:脑膜瘤.
作者: 清清楚楚    时间: 2007-6-8 17:09
同意各位战友见解
作者: dyqct    时间: 2007-6-8 17:31
支持蝶骨嵴脑膜瘤。应该给传骨窗呀!!
作者: zjzjr    时间: 2007-6-8 17:36
支持脑膜瘤。
作者: jinguoji    时间: 2007-6-8 17:46
支持脑膜瘤
作者: psh    时间: 2007-6-8 18:50
脑膜瘤
作者: lgm660927    时间: 2007-6-8 19:06
左侧额颞部巨大肿块,平扫呈略高密度,增强明显强化,周围水肿明显,左侧侧脑室受压,右侧侧脑室扩大,中线明显右移,局部骨质增厚,支持脑膜瘤、大脑廉下疝。
作者: 心愿    时间: 2007-6-8 19:18
支持脑膜瘤,和我前些天发的图片有点相似。
作者: jinning    时间: 2007-6-8 21:50
支持脑膜瘤
作者: luochengyi    时间: 2007-6-8 22:12
考虑:脑膜瘤.
作者: jw-830    时间: 2007-6-8 22:17
考虑脑膜瘤可能性大
作者: liuyue    时间: 2007-6-8 22:31
蝶骨脊脑膜瘤可能性大
作者: 流星1234    时间: 2007-6-8 22:41
支持:脑膜瘤
作者: 晓杰    时间: 2007-6-8 23:01
支持 脑膜瘤的可能性大
作者: wqs571018    时间: 2007-6-9 00:52
支持 脑膜瘤的可能性大  。
作者: 拾荒者    时间: 2007-6-9 05:17
支持--蝶骨嵴脑膜瘤可能性大。
作者: 一片云    时间: 2007-6-9 06:34
脑膜瘤的可能性大
作者: TFQ6909    时间: 2007-6-9 06:42
支持脑膜瘤
作者: 一个人    时间: 2007-6-15 07:35
脑膜瘤,可能来源于蝶骨脊
作者: yanliang    时间: 2007-9-9 01:06
支持脑膜瘤的可能性大~~~
作者: 李世军    时间: 2007-9-9 01:13
支持脑膜瘤的可能性大~~~




欢迎光临 医影在线 (http://bbs.radida.com/bbs/) Powered by Discuz! X3.2