医影在线
标题: CT8634:女.16、咳嗽、胸部CT增强请高手会诊。 [打印本页]
作者: 王靖旗 时间: 2007-6-12 00:11
标题: CT8634:女.16、咳嗽、胸部CT增强请高手会诊。
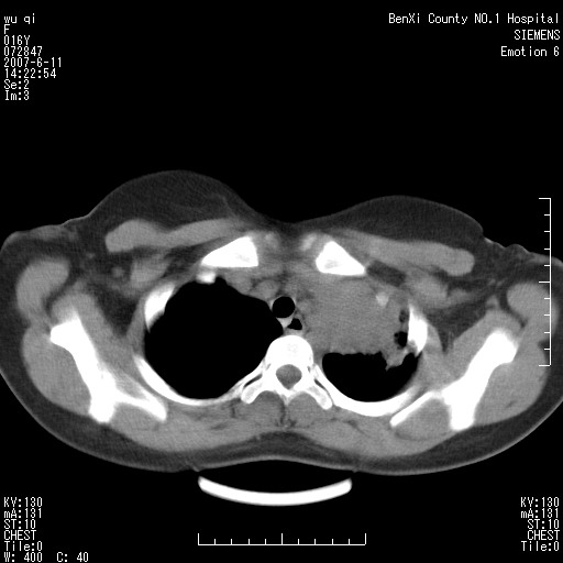
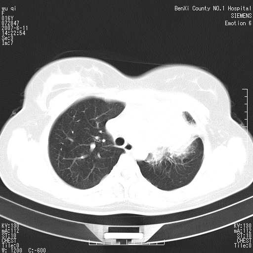
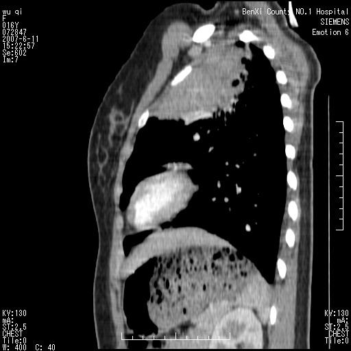
女.16、咳嗽、乏力、消受,食欲差,一个月余,无咯血,一个月前有发热。经抗炎治疗发热消失,仍咳嗽。平扫ct值34-45hu,增强后60-78hu明显强化,另外为了大家方便阅片,简单提下自己意见,纵隔内淋巴结肿大,左肺片影,其内密度不均,增强扫描明显强化,左肺上叶支气管可见支气管气象。尖段闭塞。冠状位可见左侧锁骨下静脉受压下移。请大家会诊,分析。


























































[本贴已被 王靖旗 于 2007-6-11 16:50:22 修改过]
[本贴已被 jiajie 于 2007-6-11 19:43:28 修改过]
作者: andymaomao 时间: 2007-6-12 00:50
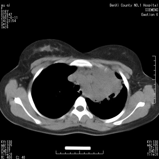
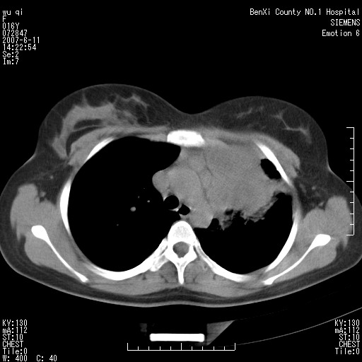
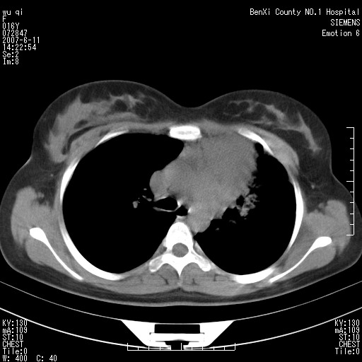
左上肺野纵隔旁软组织密度块影,增强欠均匀性强化,其内可见血管影穿梭,肿块周围之肺组织及纵隔气管均有不同程度受压改变;定位及定性均有困难...根据病史考虑以下几点:1.来源纵隔可能性较大,腺瘤?淋巴性肿瘤?其他?2.肺组织来源?左上肺占位(ca)?3.不排除原发性综合征可能?
作者: 王靖旗 时间: 2007-6-12 01:09
标题: 回复:胸部ct增强请高手会诊。
请看下图
作者: 龙在野 时间: 2007-6-12 01:29
支气管内膜结核
作者: 快乐男生 时间: 2007-6-12 01:36
左上软组织密度块影,增强欠均匀性,肿块周围之肺组织及纵隔气管均有不同程度受压改变,.肺组织来源?左上肺占位.建义活检,胸外的不考虑。
作者: 当当涛涛 时间: 2007-6-12 01:37
支气管内膜结核所至上叶不张吧或淋巴结肿大所至不张
作者: 老爱克斯 时间: 2007-6-12 02:05
左肺上叶支气管闭塞体积变小,纵隔内见淋巴结肿大,中心型肺癌左上叶肺不张可能大,建议做支气管镜检查,
作者: 光线 时间: 2007-6-12 02:19
左肺上叶支气管内膜结核并左上叶肺不张?中心型肺癌并左上叶肺不张?建议纤支镜。
作者: ailuanfei 时间: 2007-6-12 02:28
从年龄上看,本人还是考虑支气管内膜结核导致肺不张可能性大点,做个纤支镜吧!
作者: tanjiuzhe313 时间: 2007-6-12 02:40
标题: 回复:胸部ct增强请高手会诊。
以下是引用当当涛涛在2007-6-11 17:37:00的发言:[br]支气管内膜结核所至上叶不张或淋巴结肿大所至不张
该患:女16岁、咳嗽、消瘦、乏力、食欲下降。支持:炎性变,肺结核不除外。
作者: ZHANGZHONGSHOU 时间: 2007-6-12 03:10
结合病史、年龄及影像表现,考虑右肺上叶支气管内膜结核并尖段肺不张、前段阻塞性肺炎可能性大,建议纤支镜活检。
作者: 苯小孩 时间: 2007-6-12 03:26
标题: 回复:胸部ct增强请高手会诊。
以下是引用光线在2007-6-11 18:19:00的发言:[br]左肺上叶支气管内膜结核并左上叶肺不张?中心型肺癌并左上叶肺不张?建议纤支镜。
作者: 李晓阳 时间: 2007-6-12 03:32
标题: 回复:胸部ct增强请高手会诊。
以下是引用老爱克斯新网客在2007-6-11 18:05:00的发言:[br]左肺上叶支气管闭塞体积变小,纵隔内见淋巴结肿大,中心型肺癌左上叶肺不张可能大,建议做支气管镜检查,
作者: jsgdoctor 时间: 2007-6-12 03:46
考虑支气管内膜结核导致肺不张可能性大,建议抗结核治疗后复查.
作者: zzzzhhhhaaaannn 时间: 2007-6-12 04:06
还是考虑来源于纵隔内
作者: 黄玉龙 时间: 2007-6-12 04:09
左肺上叶支气管闭塞体积变小,纵隔内见淋巴结肿大,中心型肺癌左上叶肺不张可能大,建议做支气管镜检查,
作者: 同 时间: 2007-6-12 04:44
考虑支气管内膜结核所至上叶不张或淋巴结肿大所至不张。
作者: 拾荒者 时间: 2007-6-12 04:54
支气管内膜结核、干酪性肺炎。建议纤支镜检查。
作者: xulianj 时间: 2007-6-12 05:07
中心型肺癌并左上叶肺不张.且胸壁受侵。建议活检。
作者: 管秀红 时间: 2007-6-12 05:18
从年龄和影像表现上看,我感觉淋巴瘤的可能性比较大.还应该进一步检查.
作者: 余辉 时间: 2007-6-12 05:43
考虑支气管内膜结核所至上叶不张或淋巴结肿大所至不张;干酪性肺炎
作者: 宝天曼 时间: 2007-6-12 05:46
结合病史、年龄及影像表现,考虑右肺上叶支气管内膜结核并尖段肺不张、前段阻塞性肺炎可能性大,建议纤支镜活检。
作者: wxy7406 时间: 2007-6-12 05:46
肺不张会引起纵隔结构向患侧移位,而该病例纵隔是向右侧移位,且左侧锁骨下静脉受压移位,均提示病灶位于纵隔内。我感觉象是淋巴瘤,左肺病灶是因为阻塞性肺炎引起的。
作者: zjzjr 时间: 2007-6-12 06:11
考虑支气管内膜结核导致肺不张可能性大,建议抗结核治疗后复查.
作者: 王靖旗 时间: 2007-6-12 06:12
标题: 回复:ct8634:女.16、咳嗽、胸部ct增强请高手会诊。
其实这个病例平扫我和大家的诊断一样,考虑为肺结核,加上相似的症状。增强后我发现原来左侧的锁骨下静脉受压下移,
1。所以能不能就是肺外的病变呢?并且是实性的肿物。只有肺外的实性病变可以把锁骨下静脉压迫到如此地步?当然,结核可以粘联,可是谁见过结核如此可怕的牵拉作用,累及到肺外大血管了。
2。肺内病变这么大了怎么能没有咯血?
不知道大家为什么一口同声的赞同肺结核的诊断,有依据么?就算结核可及理解?那么支气管内膜结核怎么样解释,我并未见上叶主支气管有移行性狭窄。只能说上叶支气管受压下移,开口略向外。
在请问大家,左上叶支气管未见狭窄,顶多尖段闭塞,怎么会有如此大片的肺不张?就算是肺不张也顶多是一个小的尖段不张。再说请问大家看见代偿性气肿了么?
可能大家看到肿物周边毛糙,支气管气象了把?
3。不知道能否用肺外肿物压迫性肺不张来解释?
4。或者它就是生殖源性的肿瘤,如不典型奇胎瘤破如肺来解释?
5。结核有强化可以理解,但是如此明显的强化,平扫ct值34-45hu,增强后60-78hu明显强化。局限于左肺的大片状病灶解释的通么?
再说一个多月了,就一点钙化都没有?
6。纵隔内淋巴结似乎也无明显的环状强化来支持结核。当然结核性淋巴结肿大不一定都有环状强化,癌性也可以。
定位: 综合影像我觉得起源于肺外。
定性: 1生殖源性肿瘤。
2胸腺瘤仍不能排除
3多组淋巴结肿大,淋巴瘤亦有可能。
4恶性神经原性肿瘤?
学生刚上路,请老师批评,指正,给予帮助,哪怕只言片语也是对我的一点支持,鼓励
作者: 王靖旗 时间: 2007-6-12 06:23
标题: 回复:ct8634:女.16、咳嗽、胸部ct增强请高手会诊。
肺不张的强化是这样么??????不解,疑惑。


作者: 百年合好 时间: 2007-6-12 06:47
淋巴瘤可能性大.
作者: zyx168 时间: 2007-6-12 06:59
考虑来源于纵隔内
作者: 天南地北 时间: 2007-6-12 07:09
结合病史、年龄及影像表现,考虑右肺上叶支气管内膜结核并尖段肺不张、前段阻塞性肺炎可能性大,建议纤支镜活检。
支持
作者: jinning 时间: 2007-6-12 18:20
结合病史、年龄及影像表现,考虑右肺上叶支气管内膜结核并尖段肺不张、前段阻塞性肺炎可能性大,建议纤支镜活检。
作者: hhcckk 时间: 2007-6-12 22:24
我趋向于结核的诊断
1、病人年轻
2、左上肺我认为是个不张的肺,仔细看左上肺体积有点缩小
3、不张的原因我认为是淋巴结压迫所导致,支气管内膜结核一般有下肺的播散灶
4、患者一个月之前有发热,可能是结核周围的反应性炎症,不张的肺内渗出灶的吸收
5、增强后病灶强化明显,也说明不是占位性病变,而是不张与炎症性病灶
自己的拙见,望老师们批评指正
作者: 青莲居士 时间: 2007-6-13 02:34
左肺上叶支气管内膜结核并左上叶肺不张?中心型肺癌并左上叶肺不张?建议纤支镜
作者: 光线 时间: 2007-6-13 03:46
如有做病理检查,请王靖旗战友及时公布结果。谢谢。
作者: 逸风 时间: 2007-6-13 04:31
标题: 回复:ct8634:女.16、咳嗽、胸部ct增强请高手会诊。

作者: shenhs 时间: 2007-6-13 04:46
支气管内膜结核可能性大
作者: wgq 时间: 2007-6-13 06:13
从年龄上看,考虑支气管内膜结核导致肺不张可能性大点,做个纤支镜吧!
作者: tanjiuzhe313 时间: 2007-6-13 07:34
你所说的左锁骨下静脉下移值得商榷:我认为从该血管的走形和增强的密度上看,应该是左肺动脉弓发出的分支,从病变形态上看,好像囊实性病变,从强化特点上看还是考虑炎性改变。
作者: 流星1234 时间: 2007-6-13 07:51
考虑支气管内膜结核
作者: wanbo2004 时间: 2007-6-13 07:56
"影像为主结合临床",而且恶性肿瘤年轻化也是现在不争的事实.辛苦王哥提供这么好的病例!
先看定位:1纵隔胸膜区的病变是最刺手的,它的要点在于"如为纵隔病变包绕征象,则推移征象则为肺内多见",再看这个病例,上纵隔应该还是有轻度的推移向右;同时结合病灶观察可以排除不张的可能性,如有不张无论如何纵隔的移位也不会这样表现.
2强化特点的分析:如此明显的均匀强化<基本是还是一个均匀的强化>,说明血供丰富,而且均匀,病理上这种表现多见于增殖期.就是炎症结核肿瘤都有可能.炎症表现最典型.
3病灶区胸膜的表现:胸膜为一层坚硬的结缔组织,有时它是鉴别良恶性肿瘤的要点.书上有说到.看看这个病例,病灶接触区的纵隔胸膜应该还是清晰的,所以趋向良性病变,而且它位置及形态表现应该也可以区别,病灶位于肺内的可能性比较大.
4还有那根血管我怎么看都像是根动脉呢,如果是动脉那是不是可以是发源位置低的关系呢.当然影像科还得综合各个表现来看,如果着重单一问题的话会不会就容易出现所谓"带笼子"呢.
综合以上个人的柮见,结合临床提供的资料考虑肺炎<干酪性>为个人的第一考虑.期待老师指正,更期待有进一步的结果.
作者: gaozhengyi 时间: 2007-6-16 15:56
看过病例,肿块位于左侧胸膜顶和上纵隔,呈巨大不规则形软组织密度,边缘不清楚,和上纵隔诸结构不好分界,并可见肿大淋巴结影,左上叶支气管尚通畅,但上叶肺组织可见压迫性不张和膨胀不良。肿块内部可见一条明显的粗大血管影,经多层面追踪,应该是左侧锁骨下静脉。从以上表现来看,肿块的起源应该是在肺外,大致来源于胸膜顶部,向下、内生长。增强扫描,肿块内部可见多发血管分支,证明肿块血供较为丰富,从这一点上,比较符合间叶组织来源的恶性肿瘤,淋巴瘤往往表现为多发肿大淋巴团,但增强扫描内部出现迂曲血管的几率比较低,我觉得不是太象。间叶组织类别非常多,该类肿瘤只靠影像学很难鉴别,经皮穿刺活检不失为最好的方法,可以首先考虑。
作者: lkc8963 时间: 2007-6-17 07:15
同意部分战友意见:a你所说的左锁骨下静脉下移值得商榷:我认为从该血管的走形和增强的密度上看,应该是左肺动脉弓发出的分支,从病变形态上看,好像囊实性病变,从强化特点上看还是考虑炎性改变。
b"影像为主结合临床",而且恶性肿瘤年轻化也是现在不争的事实.辛苦王哥提供这么好的病例!
先看定位:1纵隔胸膜区的病变是最刺手的,它的要点在于"如为纵隔病变包绕征象,则推移征象则为肺内多见",再看这个病例,上纵隔应该还是有轻度的推移向右;同时结合病灶观察可以排除不张的可能性,如有不张无论如何纵隔的移位也不会这样表现.
2强化特点的分析:如此明显的均匀强化<基本是还是一个均匀的强化>,说明血供丰富,而且均匀,病理上这种表现多见于增殖期.就是炎症结核肿瘤都有可能.炎症表现最典型.
3病灶区胸膜的表现:胸膜为一层坚硬的结缔组织,有时它是鉴别良恶性肿瘤的要点.书上有说到.看看这个病例,病灶接触区的纵隔胸膜应该还是清晰的,所以趋向良性病变,而且它位置及形态表现应该也可以区别,病灶位于肺内的可能性比较大.
4还有那根血管我怎么看都像是根动脉呢,如果是动脉那是不是可以是发源位置低的关系呢.当然影像科还得综合各个表现来看,如果着重单一问题的话会不会就容易出现所谓"带笼子"呢.综合以上个人的柮见,结合临床提供的资料考虑肺炎<干酪性>为个人的第一考虑.
本病例个人考虑还是左上肺感染性病变伴左上肺固有上叶不张,左下肺代偿气肿.左下肺背段结节灶.结合临床首先为肺/纵隔淋巴结核.
定位定性理由:1 斜裂到哪里去了?明显的前上移位了.2 原"左上肺区域"透光度明显增高,肺纹稀疏,为肺气肿征象.3不是全上肺不张,而为固有上叶,可惜楼主的冠位图未明显显示.4 左下肺背段可见结节灶,紧贴脊柱旁,再仔细看看.5 胸膜改变显示支持是炎性病变.6那根血管我也仔细观察了,浓度同动脉,近端较粗,应为肺动脉,包括实变肺内的血管分支都应为肺动脉分支.7 实变内明显不均强化,更加支持炎性病变.8淋巴结肿大以弓旁为主,轻度均匀强化,中纵隔内未见明显淋巴结,面此区的淋巴肿最多见于结核;9实变近端无明显块影而不支持腔内肿瘤,虽然无典型的支气管狭窄直接征象.10 为什么纵隔向患侧移位不明显?因为肺容积缩小不是太显著,更多的是肺泡内较多渗出导致如此.11 实变外围的条片影从形态看不象纵隔肿瘤所致的压迫性肺炎,如为压迫应紧绕肿块环形分布.14 与纵隔结构有明显分界,而且从重组图像看病灶主体更象楔变而非肿块,有哪一种肿瘤可以导致下缘如此平直?
请酹!!最好的检查应是支纤镜.
作者: l.d 时间: 2007-6-17 07:26
左上肺感染性病变伴左上肺固有上叶不张,左下肺代偿气肿.左下肺背段结节灶.结合临床首先为肺/纵隔淋巴结核.
作者: jinguoji 时间: 2007-6-17 23:56
好把病例,期待结果.
作者: 王靖旗 时间: 2007-6-18 03:02
大家真的很厉害,痰查结核菌为肺结核,胸片可见抗结核治疗有效,胸片不是我们院拍的,所以,大家看不到了。^_^。
惭愧、惭愧。这么小的孩子我却下了如次重的诊断。
| 欢迎光临 医影在线 (http://bbs.radida.com/bbs/) |
Powered by Discuz! X3.2 |