
















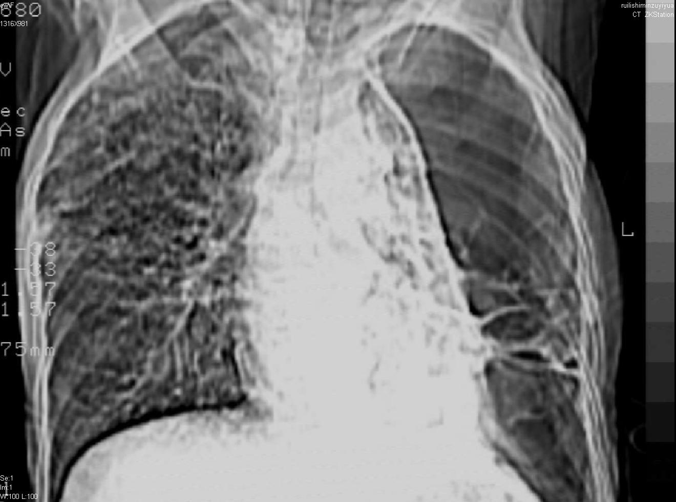
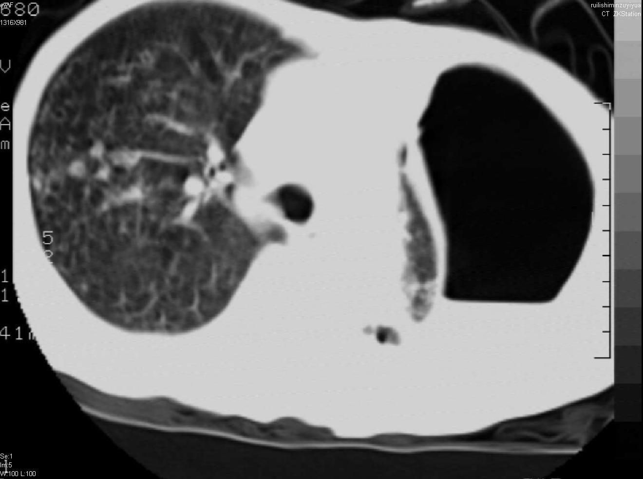
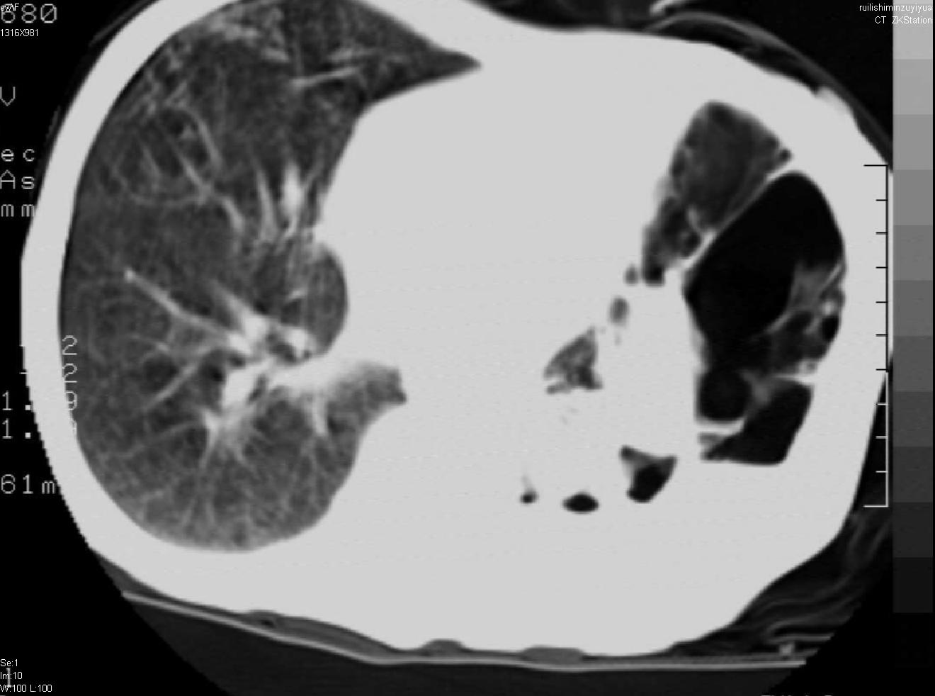
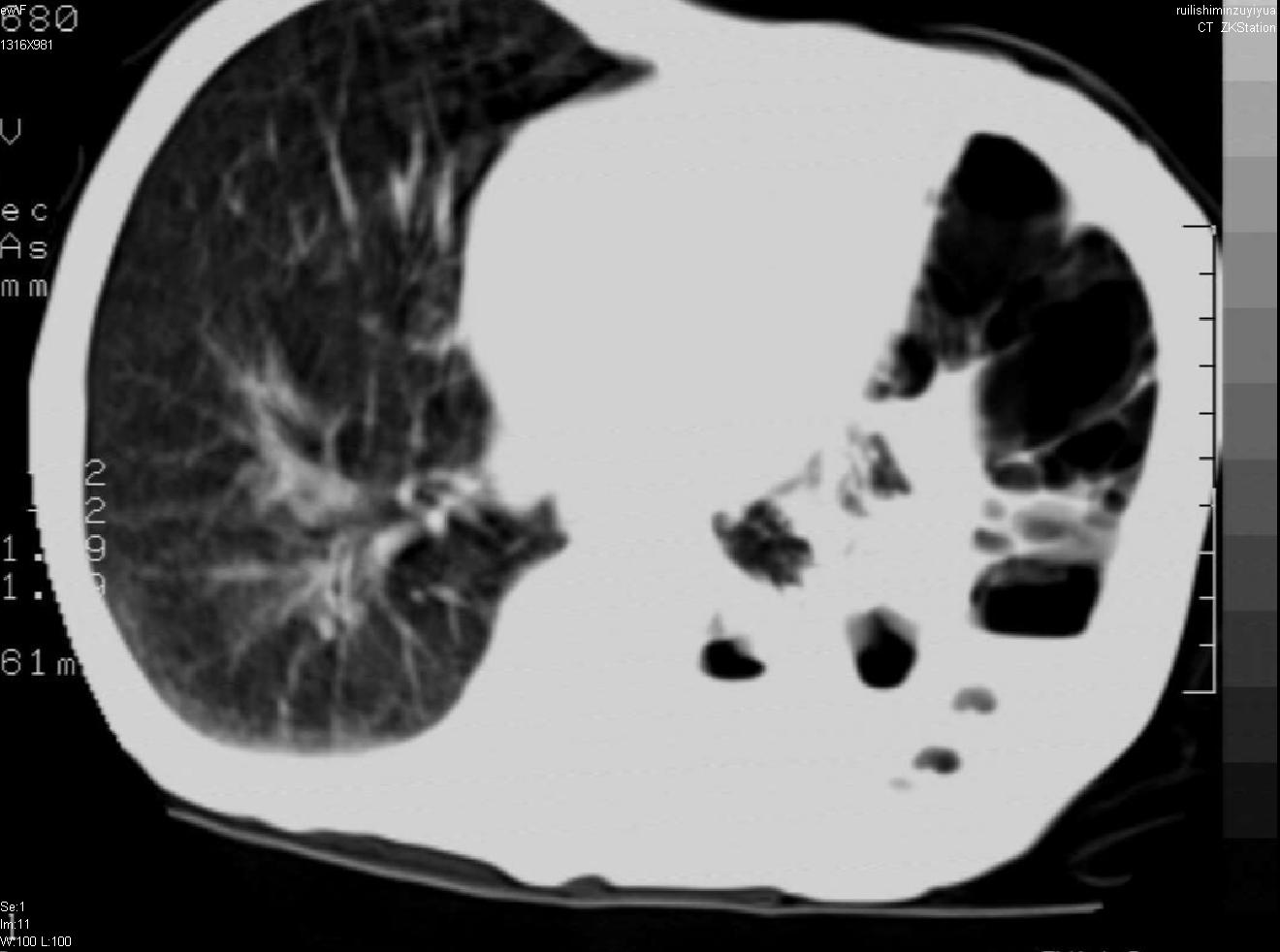
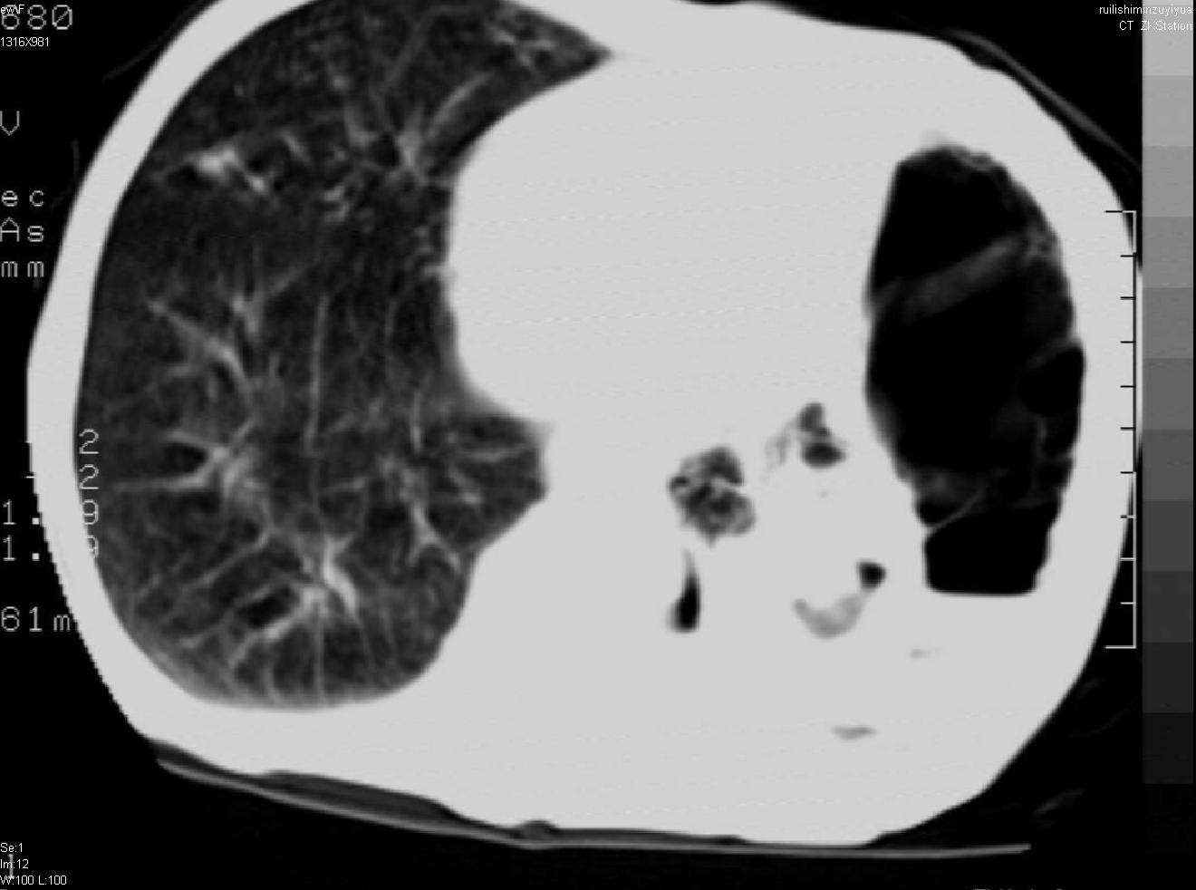
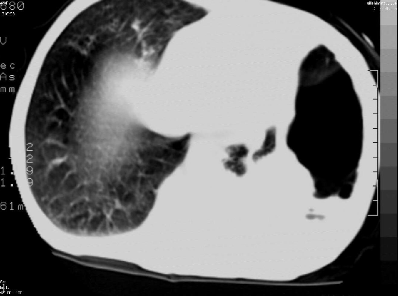
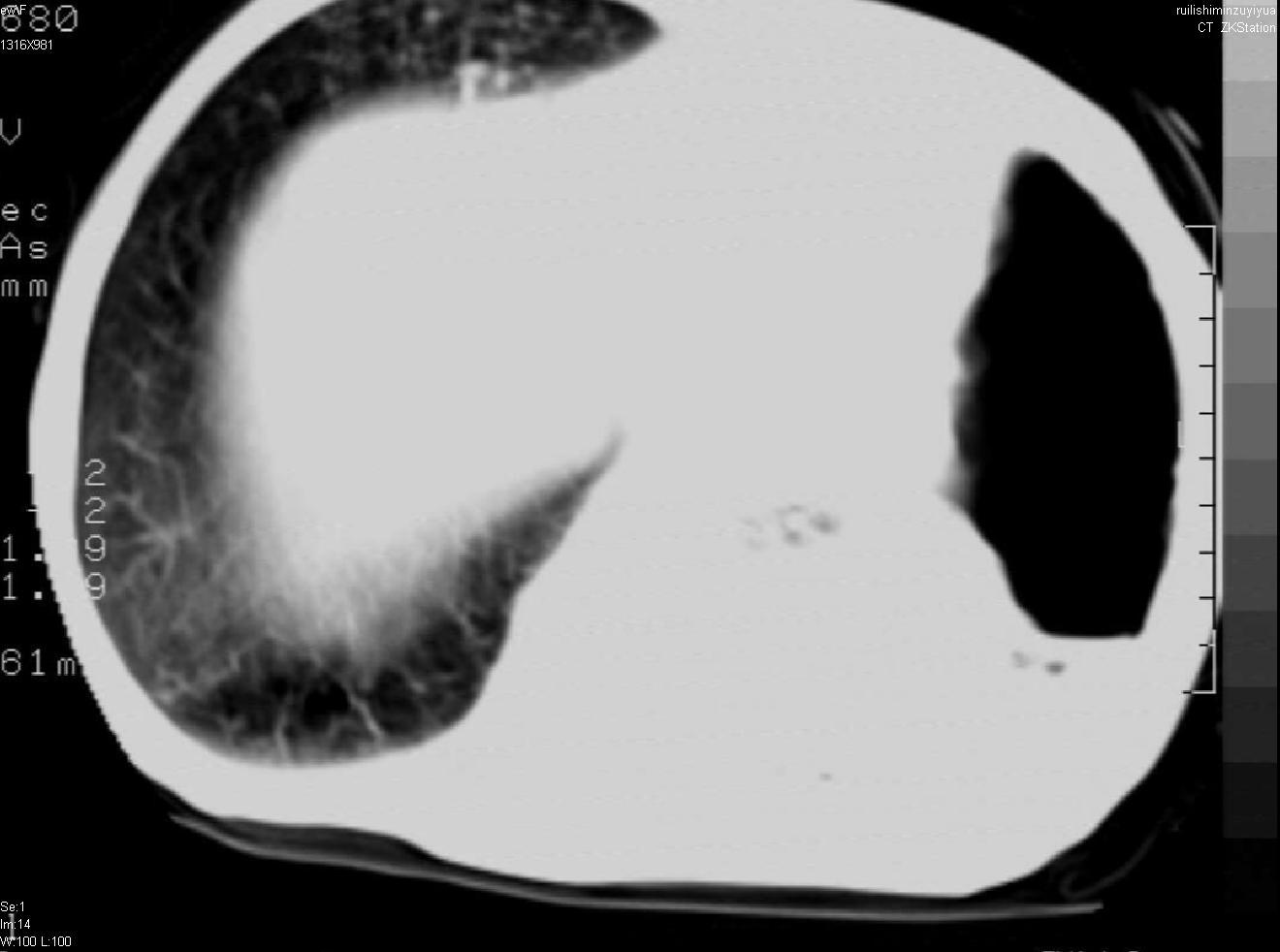
以下是引用天南地北在2007-6-11 23:32:00的发言:[br]1:左侧肺毁损(结核性)伴感染(多发空洞伴液平面)。[br]2:右肺继发型肺结核。
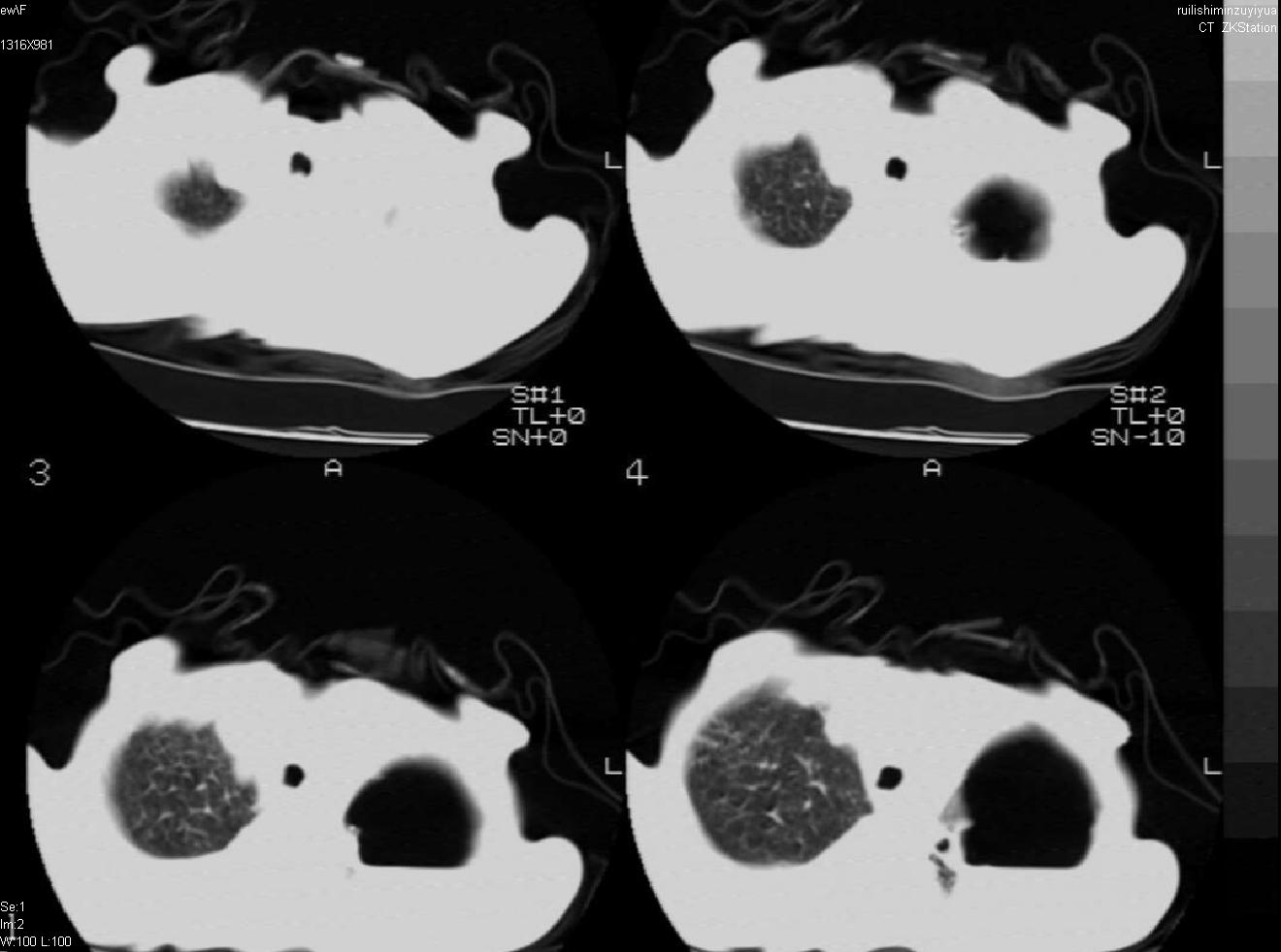
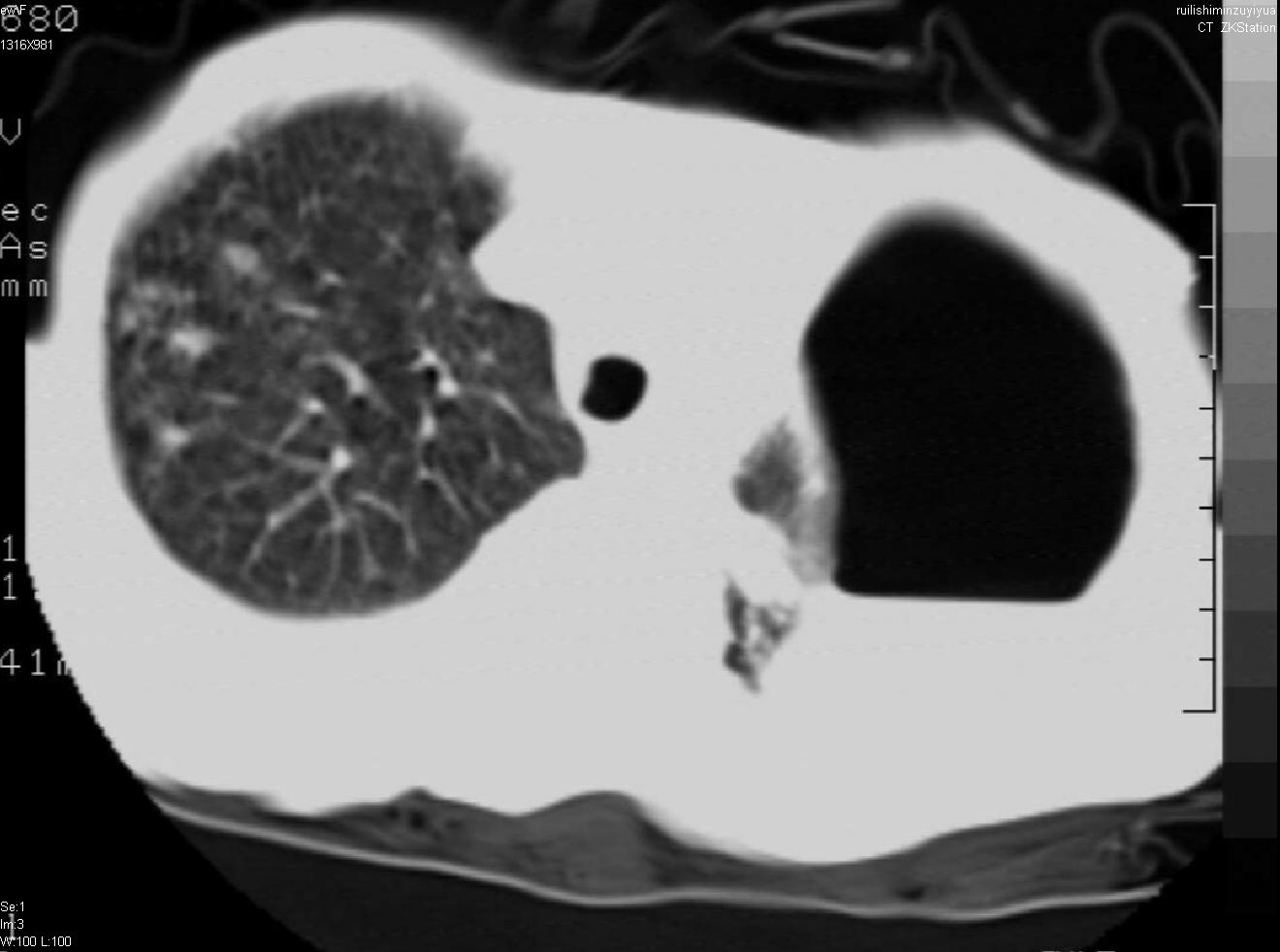
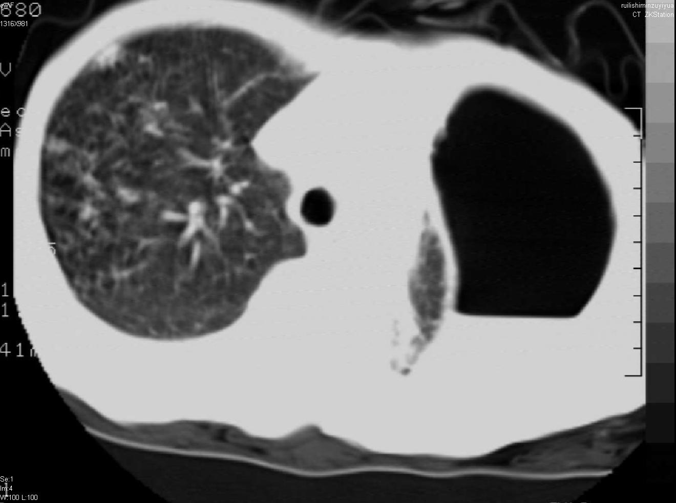
以下是引用avril在2007-6-12 1:17:00的发言:[br]1、左肺毁损。[br]2、左肺多发肺大泡伴自发性气液胸形成。[br]3、右肺继发型结核。
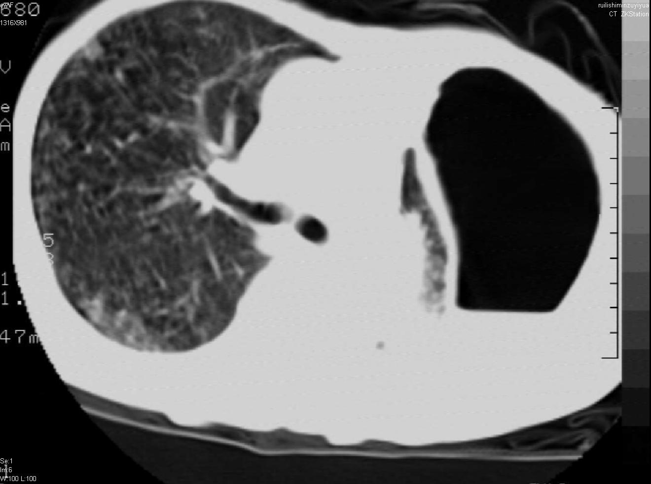
以下是引用avril在2007-6-12 1:17:00的发言:[br]1、左肺毁损。[br]2、左肺多发肺大泡伴自发性气液胸形成。[br]3、右肺继发型结核。
以下是引用天南地北在2007-6-11 23:32:00的发言:[br]1:左侧肺毁损(结核性)伴感染(多发空洞伴液平面)。[br]2:右肺继发型肺结核。
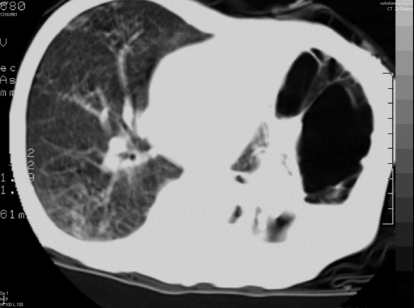
以下是引用尚峰在2007-6-11 22:44:00的发言:[br]慢阻肺、肺纤维化、肺大泡、气胸形成,此患者有没有急性病史?
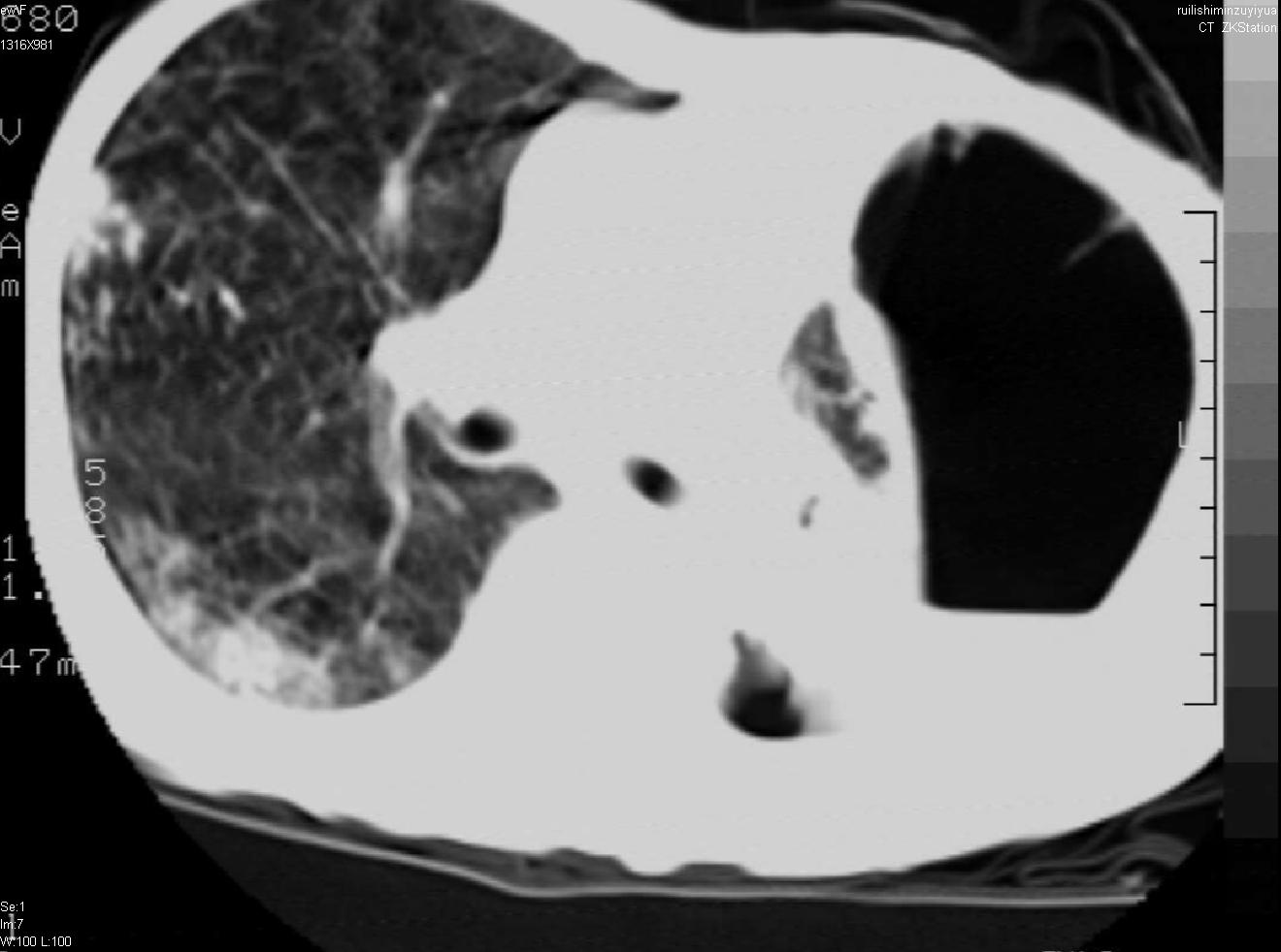
以下是引用余辉在2007-6-12 19:29:00的发言:[br][quote]以下是引用尚峰在2007-6-11 22:44:00的发言:[br]慢阻肺、肺纤维化、肺大泡、气胸形成,此患者有没有急性病史?
以下是引用avril在2007-6-12 1:17:00的发言:[br]1、左肺毁损。[br]2、左肺多发肺大泡伴自发性气液胸形成。[br]3、右肺继发型结核。
| 欢迎光临 医影在线 (http://bbs.radida.com/bbs/) | Powered by Discuz! X3.2 |