医影在线
标题: x2364:女,45岁,乳房胀痛,触及硬块求诊 [打印本页]
作者: lmldoc 时间: 2007-6-12 23:29
标题: x2364:女,45岁,乳房胀痛,触及硬块求诊
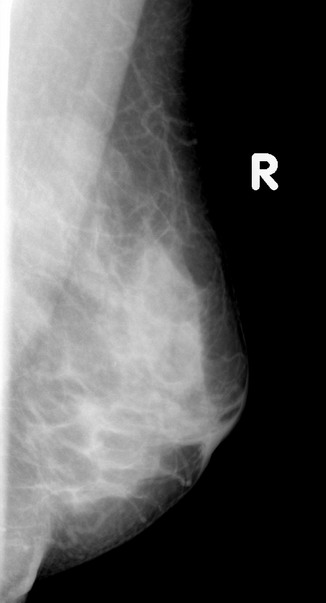
女,45岁,乳房胀痛,触及硬块求诊
体查:左侧乳房可触及多个硬块,活动度可,无压痛




本人对于乳腺在太多的拿不准,发现乳腺太难看了,我的意见是:
1,左侧乳腺外上象限肿块样影,腺体增生?乳腺纤维瘤?
2,右乳外下象限局部密度增高明显,建议必要时彩超检查除外其他。
3,双侧乳腺小叶增生。
不知道有没有这方面的高手,详细指点一下
[本贴已被 zhw974247 于 2007-6-12 20:37:46 修改过]
作者: dyqct 时间: 2007-6-12 23:42
支持双侧乳腺小叶增生症.
作者: a0303047 时间: 2007-6-13 00:26
乳头稍凹陷,乳晕皮肤增厚,乳腺非对称性致密,未见明显肿块影,未见异常粗大血管和淋巴结
考虑双侧乳腺小叶增生症.
作者: 天南地北 时间: 2007-6-13 01:49
支持双侧乳腺小叶增生症.
作者: 光线 时间: 2007-6-13 03:29
双侧乳腺小叶增生。
作者: zhangxiangjun 时间: 2007-6-13 04:34
乳腺非对称性致密,未见明显肿块影,未见异常粗大血管和淋巴结
考虑双侧乳腺小叶增生症.
作者: jsgdoctor 时间: 2007-6-13 05:24
支持双侧乳腺小叶增生症.
作者: xulianj 时间: 2007-6-13 06:02
标题: 回复:x2364:女,45岁,乳房胀痛,触及硬块求诊
以下是引用zhangxiangjun在2007-6-12 20:34:00的发言:[br]乳腺非对称性致密,未见明显肿块影,未见异常粗大血管和淋巴结[br]考虑双侧乳腺小叶增生症. [br] [br]
作者: liaizhi 时间: 2007-6-13 06:12
考虑乳腺小叶增生症
作者: 流星1234 时间: 2007-6-13 06:26
乳腺小叶增生症
作者: lihongwei 时间: 2007-6-13 06:45
以下是引用zhangxiangjun在2007-6-12 20:34:00的发言:
乳腺非对称性致密,未见明显肿块影,未见异常粗大血管和淋巴结
考虑双侧乳腺小叶增生症.
作者: ayi 时间: 2007-6-13 07:38
乳腺小叶增生症。
作者: 宝天曼 时间: 2007-6-13 15:25
支持双侧乳腺小叶增生症.
作者: liuyue 时间: 2007-6-13 15:58
支持双侧乳腺小叶增生症.
作者: zyx168 时间: 2007-6-13 15:59
双侧乳腺小叶增生症.
作者: 小剑 时间: 2007-6-13 16:23
乳腺小叶增生症
作者: jsmctmri 时间: 2007-6-13 22:52
增生
作者: wbs 时间: 2007-6-14 00:53
支持“
乳腺非对称性致密,未见明显肿块影,未见异常粗大血管和淋巴结
考虑双侧乳腺小叶增生症.
”
作者: zjzjr 时间: 2007-6-14 06:29
支持双侧乳腺小叶增生症.
作者: zhuzy3034 时间: 2007-6-14 17:15
支持双侧乳腺小叶增生
作者: lushijun 时间: 2007-6-14 17:35
支持双侧乳腺小叶增生症.
作者: jinguoji 时间: 2007-6-14 18:29
支持双侧乳腺小叶增生症.
作者: 今晨随风 时间: 2007-6-14 19:33
长见识了,我们这里乳房没有照片的
作者: 王守平 时间: 2007-6-14 23:05
支持乳腺小叶增生
作者: zhangkai 时间: 2007-6-14 23:47
未见明显实质性肿块影,考虑乳腺增生症。
作者: shibing 时间: 2013-2-24 14:04
双侧乳腺小叶增生症.
| 欢迎光临 医影在线 (http://bbs.radida.com/bbs/) |
Powered by Discuz! X3.2 |