医影在线
标题: PED0206:颈部CT平扫 [打印本页]
作者: qian 时间: 2007-6-13 01:51
标题: PED0206:颈部CT平扫
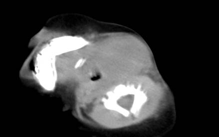
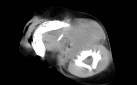
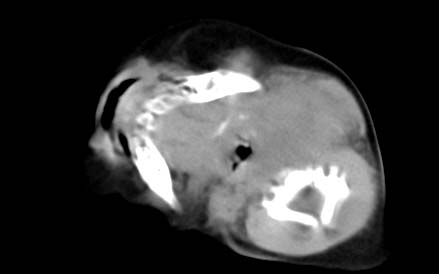
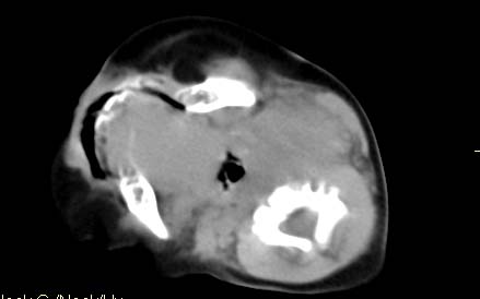
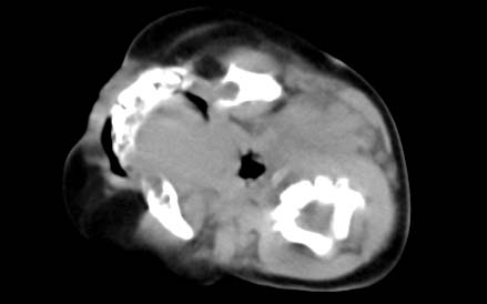
男,26天,发现左侧颈部包块5天,质较硬,患儿不哭不吵,无明显发热,头向右侧歪斜,其父母诉患儿出生时正常,昨天查血象wbc19.4×10的9次方/l,b超考虑来源于甲状腺的恶性肿瘤,我科认为肿块内有低密度区,而且病程发展较快,血象高,考虑炎性病变可能大。患儿年龄太小没做增强。请大家提出高见。











[本贴已被 翁志蓬 于 2007-6-12 21:40:58 修改过]
作者: 天南地北 时间: 2007-6-13 02:05
标题: 1
支持炎性病变可能
建议追查一下有没有产伤史?
另:不知道患儿母亲有没有梅毒史?
[本贴已被 天南地北 于 2007-6-12 18:10:44 修改过]
作者: 还珠格格 时间: 2007-6-13 02:08
支持炎性病变可能
作者: 余辉 时间: 2007-6-13 02:11
发现左侧颈部包块5天,质较硬,患儿不哭不吵,无明显发热,,肿块内有低密度区,弥漫性甲状腺肿大,病程发展较快,考虑炎症引起,怀疑桥本甲状腺炎
另新生儿wbc19.4×10的9次方/l应该不高吧
作者: 天南地北 时间: 2007-6-13 02:14
标题: 回复:颈部ct平扫
同时可以参照下我以前发的2个病例(考虑胸锁乳突肌血肿-怀疑产伤所致)
1:http://www.radida.com/radinet/read.php?tid=22838
2:http://www.radida.com/radinet/read.php?tid=19007
[本贴已被 天南地北 于 2007-6-12 18:14:46 修改过]
作者: kzfrlyw 时间: 2007-6-13 02:55
考虑炎性病变
作者: 青莲居士 时间: 2007-6-13 02:57
支持炎性病变可能
作者: 光线 时间: 2007-6-13 03:08
支持炎性病变可能 图象质量不佳。
作者: jinning 时间: 2007-6-13 04:06
支持炎性病变
作者: jsgdoctor 时间: 2007-6-13 04:15
支持炎性病变
作者: dyqct 时间: 2007-6-13 04:19
标题: 回复:颈部ct平扫
以下是引用天南地北在2007-6-12 18:05:00的发言:[br]支持炎性病变可能[br]建议追查一下有没有产伤史?[br]另:不知道患儿母亲有没有梅毒史?[br][br][本贴已被 天南地北 于 2007-6-12 18:10:44 修改过]
支持!!
作者: 同 时间: 2007-6-13 04:21
结合病史考虑炎性病变
作者: 卜一 时间: 2007-6-13 04:32
考虑:胸锁乳突肌血肿-怀疑产伤所致.支持!!!.另怀疑合并感染!
作者: shenhs 时间: 2007-6-13 04:36
支持炎性病变
作者: 李晓阳 时间: 2007-6-13 04:38
上纵隔的图像传上来
作者: wj2039 时间: 2007-6-13 06:23
考虑:胸锁乳突肌血肿-怀疑产伤所致.支持!!!.另怀疑合并感染!
作者: zyx168 时间: 2007-6-13 16:04
支持炎性病变
作者: zjzjr 时间: 2007-6-14 06:17
结合病史考虑炎性病变
作者: 宝天曼 时间: 2007-6-14 06:19
支持炎性病变可能
作者: shiqingfa 时间: 2007-6-14 06:34
支持炎性病变可能
作者: jiangjing 时间: 2007-6-16 00:37
男,26天,发现左侧颈部包块5天,质较硬,患儿不哭不吵,无明显发热,头向右侧歪斜,其父母诉患儿出生时正常,昨天查血象wbc19.4×10的9次方/l,b超考虑来源于甲状腺的恶性肿瘤,我科认为肿块内有低密度区,而且病程发展较快,应该首先排除血肿,其次考虑感染
作者: drzhang8888 时间: 2007-6-16 05:58
支持 我科认为肿块内有低密度区,而且病程发展较快,应该首先排除血肿,其次考虑感染
作者: qian 时间: 2007-7-13 14:57
随访结果:炎症(患儿经过一星期抗炎治疗后颈部包块明显缩小,现已经正常)。
作者: zxczxc 时间: 2007-7-21 02:58
支持炎症,梅毒病史?
| 欢迎光临 医影在线 (http://bbs.radida.com/bbs/) |
Powered by Discuz! X3.2 |