



















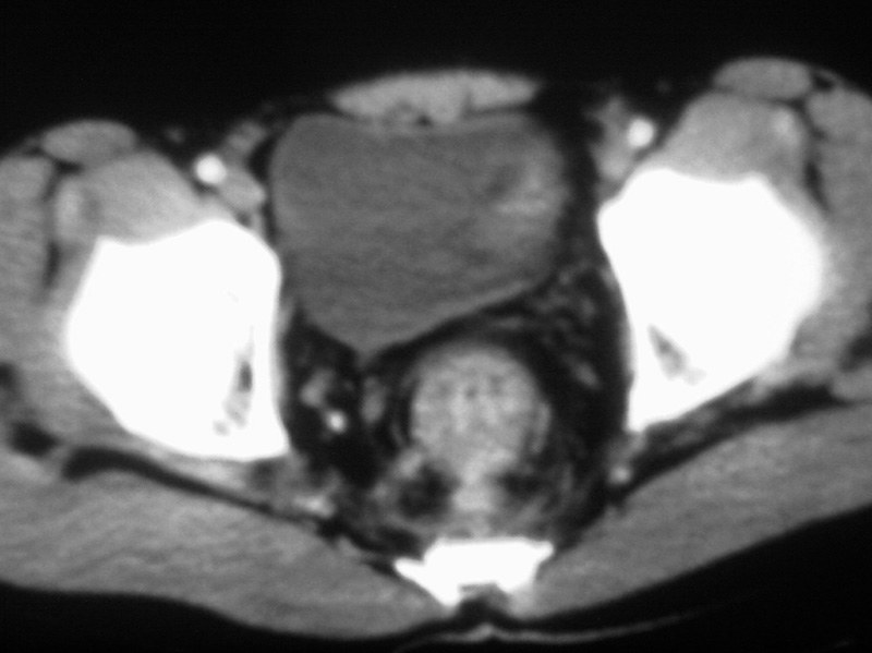
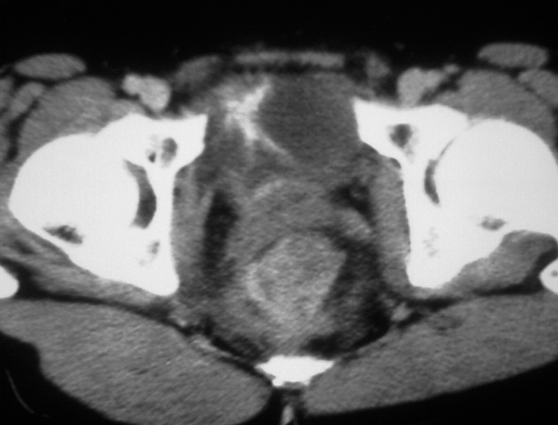
以下是引用天南地北在2007-6-15 13:03:00的发言:[br]没有做好保留灌肠[br]给我考虑也是首先考虑直肠癌(壁不规则增厚+管腔狭窄),不过病理是最后的结果。不知道临床有什么症状?[br]期待最后的诊断、[br][br][本贴已被 天南地北 于 2007-6-15 14:23:06 修改过]
以下是引用天南地北在2007-6-15 13:03:00的发言:[br]没有做好保留灌肠[br]给我考虑也是首先考虑直肠癌(壁不规则增厚+管腔狭窄),不过病理是最后的结果。不知道临床有什么症状?[br]期待最后的诊断、[br][br][本贴已被 天南地北 于 2007-6-15 14:23:06 修改过]
| 欢迎光临 医影在线 (http://bbs.radida.com/bbs/) | Powered by Discuz! X3.2 |