医影在线
标题: CT8697:紧急会诊!女,70岁,左下腹疼痛 [打印本页]
作者: 吴艳艳 时间: 2007-6-15 21:09
标题: CT8697:紧急会诊!女,70岁,左下腹疼痛
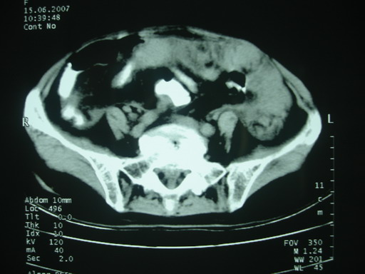
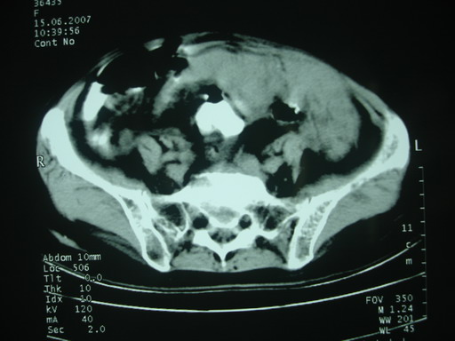
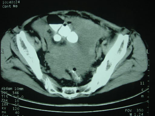
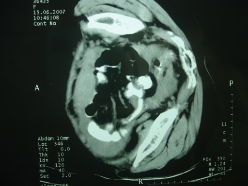
女,70岁,自述锻炼时牵拉导致左下腹疼痛,后疼痛加剧,发现包块10天,家属说其他检查,无法热,大便正常,一般情况差,痛苦面容,左下腹压痛明显,口服造影剂后腹泻,钡灌肠降结肠迂曲粘膜未见异常。抗炎治疗一周后诉症状减轻。
以下图考虑是何病?谢谢!










[emb1][emb1]
[本贴已被 吴艳艳 于 2007-6-15 13:10:45 修改过]
[本贴已被 jiajie 于 2007-6-15 13:14:23 修改过]
作者: dyqct 时间: 2007-6-15 22:46
大网膜血肿?建议增强进一步检查。
作者: jiangjing 时间: 2007-6-15 22:52
考虑 腹腔感染伴积液
作者: a0303047 时间: 2007-6-15 22:56
大网膜血肿?建议增强进一步检查。
作者: ydx_74 时间: 2007-6-15 23:34
支持大网膜血肿
作者: 清清楚楚 时间: 2007-6-16 00:31
支持大网膜血肿
作者: 卜一 时间: 2007-6-16 00:46
支持:大网膜血肿!
作者: jinning 时间: 2007-6-16 00:57
考虑炎性肉芽肿
作者: 黄玉龙 时间: 2007-6-16 02:33
支持:大网膜血肿!
作者: jw-830 时间: 2007-6-16 02:38
支持大网膜血肿可能
作者: shiqingfa 时间: 2007-6-16 04:10
支持大网膜血肿
作者: xulianj 时间: 2007-6-16 04:59
支持大网膜血肿可能
作者: drzhang8888 时间: 2007-6-16 05:40
那位老师讲解一下?
作者: tanjiuzhe313 时间: 2007-6-16 06:03
标题: 回复:ct8697:紧急会诊!女,70岁,左下腹疼痛
以下是引用jiangjing在2007-6-15 14:52:00的发言:[br]考虑 腹腔感染伴积液
有这样大血肿?何来之血?临床体征支持吗?能否有附件恶性肿瘤转移的可能。
作者: 还珠格格 时间: 2007-6-16 15:24
支持 大网膜血肿
作者: shenjiu 时间: 2007-6-16 17:43
外伤后引起支持大网膜血肿
作者: 拾荒者 时间: 2007-6-16 21:08
外伤性大网膜积液、血肿?穿刺一下吧!
作者: 李小光 时间: 2007-6-16 21:42
盆腔附件区不规则软组织密度影,与下腹部异常密度影相联,建议进一步检查除外妇科疾患!
作者: andymaomao 时间: 2007-6-17 01:07
支持考虑大网膜血肿;第一次见!
作者: wqs571018 时间: 2007-6-17 01:36
外伤性大网膜积液、血肿?建议增强。
作者: 居洪涛 时间: 2007-6-17 05:27
肠系膜血肿.
作者: juwen73 时间: 2007-6-17 05:30
标题: 回复:ct8697:紧急会诊!女,70岁,左下腹疼痛
以下是引用jw-830在2007-6-15 18:38:00的发言:[br]支持大网膜血肿可能
作者: jinguoji 时间: 2007-6-18 00:22
支持大网膜血肿.
| 欢迎光临 医影在线 (http://bbs.radida.com/bbs/) |
Powered by Discuz! X3.2 |