









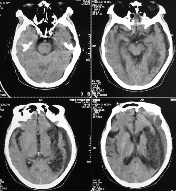
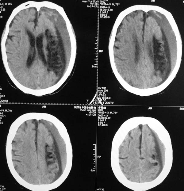
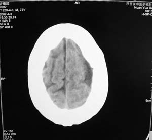
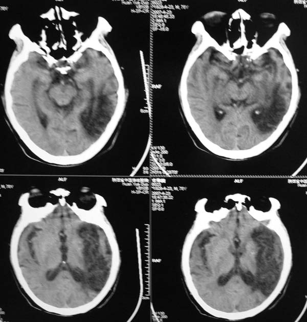
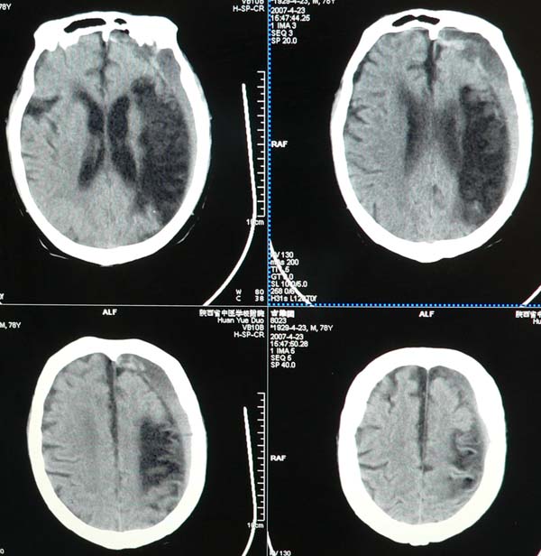
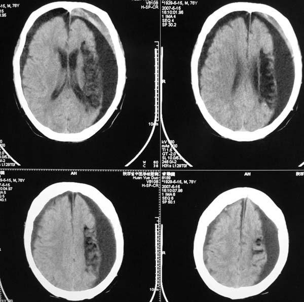
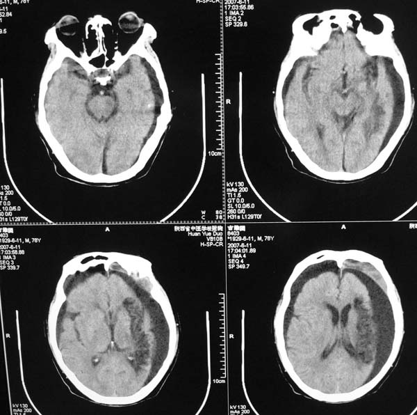
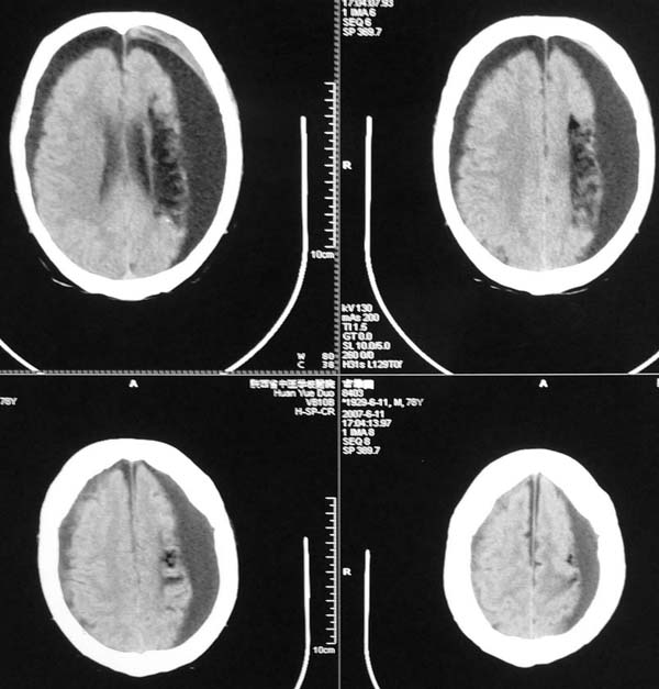
以下是引用star--868在2007-6-15 20:54:00的发言:[br]1.左侧额颞顶部亚急性硬膜下血肿并继续出血 双侧额颞顶部硬膜下积液;[br]2.左颞枕叶、左基底节区脑软化-左侧大脑中动脉栓塞;[br]双侧额颞顶部硬膜下积液应和治疗期间应用高渗脱水剂相鉴别:停用甘露醇后硬膜下积液会逐渐吸收减少,而单纯硬膜下积液无此改变和/或逐渐增多。
以下是引用狙击手在2007-6-15 21:15:00的发言:[br]软化灶就不必说了,主要是混和性血肿的渐变过程。
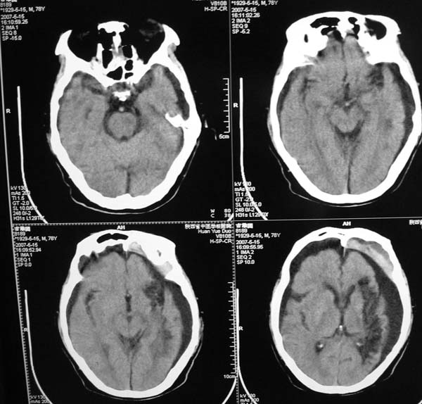
以下是引用老爱克斯新网客在2007-6-15 20:40:00的发言:[br]1左侧颞叶软化灶,2双侧硬膜下水瘤,3左册硬膜下血肿(多次少量出血),
以下是引用还珠格格在2007-6-16 7:07:00的发言:[br]支持.左侧额颞顶部亚急性硬膜下血肿并继续出血 双侧额颞顶部硬膜下积液;[br]2.左颞枕叶、左基底节区脑软化-左侧大脑中动脉栓塞;
| 欢迎光临 医影在线 (http://bbs.radida.com/bbs/) | Powered by Discuz! X3.2 |