医影在线

标题: CT8712:男性,78岁,失语,意识障碍,脑转移瘤 [打印本页]

作者: 枫岩    时间: 2007-6-17 02:48
标题: CT8712:男性,78岁,失语,意识障碍,脑转移瘤
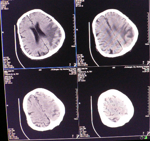
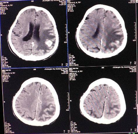
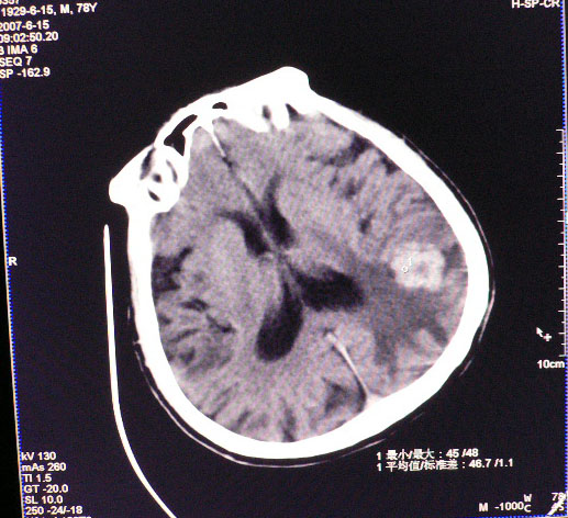
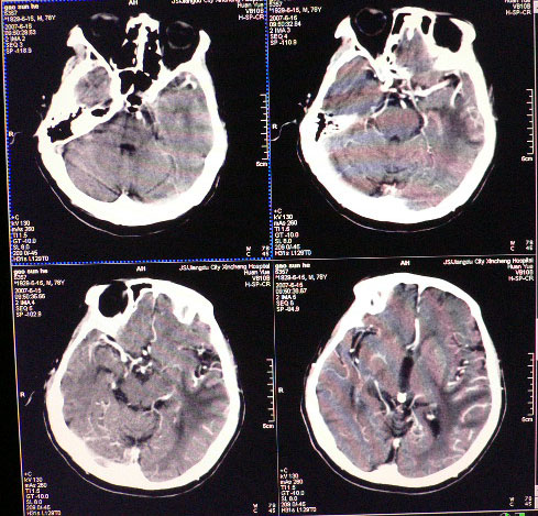
男性,78岁,失语,意识障碍1天










[本贴已被 jiajie 于 2007-6-16 18:58:30 修改过]

作者: 枫岩    时间: 2007-6-17 02:51
平扫ct值为40-45hu,增强为不均匀强化,ct值为81-85hu
作者: luoyanmin    时间: 2007-6-17 03:14
转移瘤
作者: jinning    时间: 2007-6-17 03:30
转移瘤
作者: 李晓阳    时间: 2007-6-17 04:21
特殊类型转移瘤,建议追查原发灶是何种类型、何部位的癌,多总结...
作者: 余辉    时间: 2007-6-17 04:25
皮层下厚壁花环状高密度影,明火显强化,大范围指样水肿,支持转移瘤诊断。其后上方好像还有小灶。
作者: 李晓阳    时间: 2007-6-17 04:26
有人将其诊断为转移瘤卒中是不对的,因为增强扫描病变存在强化。经治疗后追随复查相应区域病变可完全消失。
作者: 老爱克斯    时间: 2007-6-17 04:26
胶质母细胞瘤伴肿瘤出血待除外,
作者: xulianj    时间: 2007-6-17 04:55
转移瘤
作者: zjzjr    时间: 2007-6-17 05:02
转移瘤
作者: wj2039    时间: 2007-6-17 05:21
转移瘤
作者: dyqct    时间: 2007-6-17 05:26
支持楼主意见。
作者: 古寨悠幽    时间: 2007-6-17 05:39
转移瘤
作者: 苯小孩    时间: 2007-6-17 05:41
支持楼主意见。
作者: 国窖1573    时间: 2007-6-17 06:28
支持楼主意见
作者: ZHANGZHONGSHOU    时间: 2007-6-17 06:48
标题: 回复:ct8712:男性,78岁,失语,意识障碍,脑转移瘤
以下是引用luoyanmin在2007-6-16 19:14:00的发言:[br]转移瘤

作者: 天南地北    时间: 2007-6-17 06:48
转移瘤
作者: liuyue    时间: 2007-6-17 06:57
转移瘤
作者: jinguoji    时间: 2007-6-17 07:13
支持转移瘤.
作者: zyx168    时间: 2007-6-17 07:23
转移瘤
作者: 卜一    时间: 2007-6-17 12:53
转移瘤
作者: 还珠格格    时间: 2007-6-17 16:29
支持 转移瘤。
作者: shuhuang2007    时间: 2007-6-17 16:45
脑转移瘤。
作者: flydgg    时间: 2007-6-17 16:55
发生于质下,软组织影,形态不规则,周边大片水肿,明显环状强化,中间低密度液化坏死,建议结合临床
作者: wangsl    时间: 2007-6-17 17:07
典型的转移瘤。
作者: 青少有    时间: 2007-6-17 17:18
首先考虑转移瘤,可进一步检查肺部及前列腺,如果能找到原发灶就更好了.
作者: 我爱影像学    时间: 2007-6-17 18:08
标题: 回复:ct8712:男性,78岁,失语,意识障碍,脑转移瘤
以下是引用青少有在2007-6-17 9:18:00的发言:[br]首先考虑转移瘤,可进一步检查肺部及前列腺,如果能找到原发灶就更好了.

作者: 小田    时间: 2007-6-17 18:22
转移瘤!
作者: luochengyi    时间: 2007-6-17 18:31
支持楼主
作者: zxczxc    时间: 2007-6-17 21:51
左侧颞叶胶质瘤?
作者: 拾荒者    时间: 2007-6-18 05:12
从发病部位,病灶强化特点、周围水肿情况支持脑转移瘤诊断,可进一步检查查找原发灶。
作者: jsmctmri    时间: 2007-6-18 18:05
查胸片,作超升
作者: 西凡    时间: 2007-6-19 01:50
转移瘤




欢迎光临 医影在线 (http://bbs.radida.com/bbs/) Powered by Discuz! X3.2