









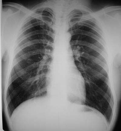
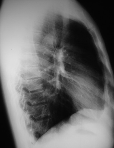
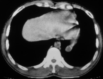
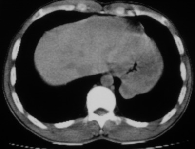
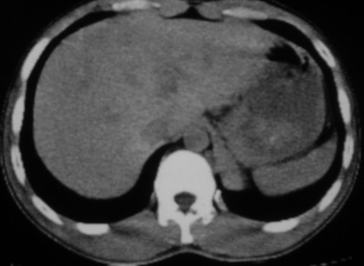
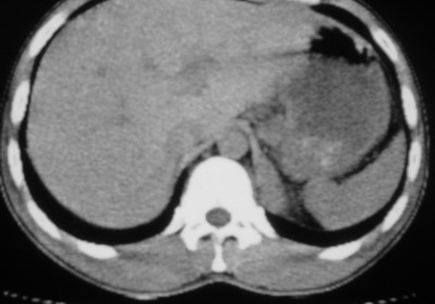
以下是引用余辉在2007-6-16 20:47:00的发言:[br]图像不边续,1左肺下叶膈后囊性病灶,与胃有密切联系,考虑局限性膈膨隆,不排除其他如脓肿等;2左膈肌脚增厚,其前方肝胃间隙内可见球形病灶,左肾上腺病变?进一步检查
以下是引用xulianj在2007-6-16 21:14:00的发言:[br]左膈肌脚增厚,支持膈肌角病变。
以下是引用卜一在2007-6-17 4:50:00的发言:[br]左膈肌脚增厚,支持膈肌角病变。
以下是引用还珠格格在2007-6-17 9:32:00的发言:[br][quote]以下是引用卜一在2007-6-17 4:50:00的发言:[br]左膈肌脚增厚,支持膈肌角病变。
| 欢迎光临 医影在线 (http://bbs.radida.com/bbs/) | Powered by Discuz! X3.2 |