












































以下是引用dyqct在2007-6-17 11:06:00的发言:[br][br]]
[br][br]以下是引用dyqct在2007-6-17 11:06:00的发言:[br][br]]
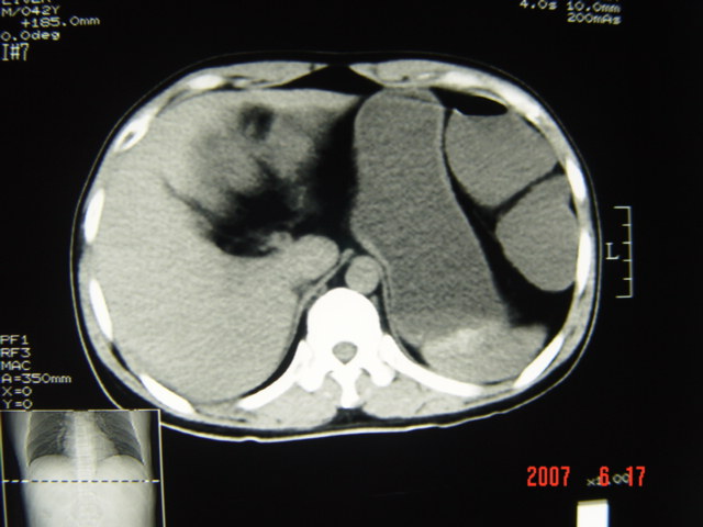
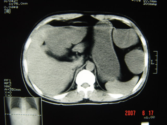
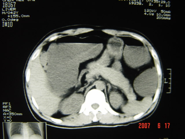
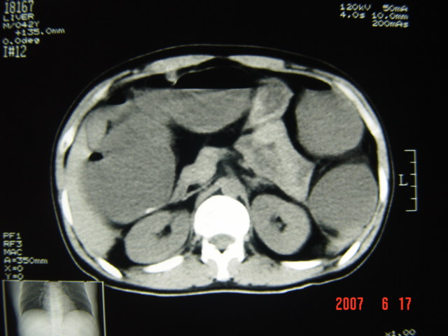
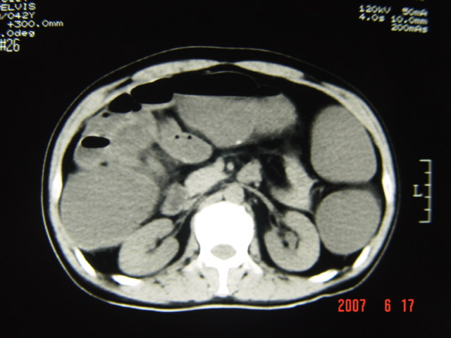
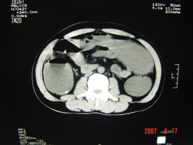
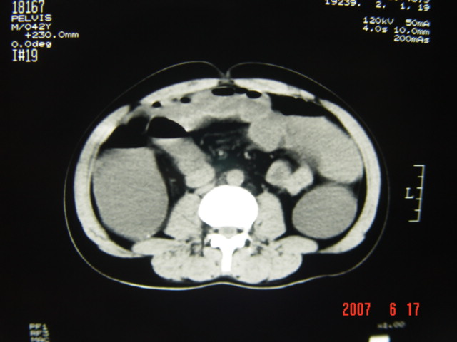
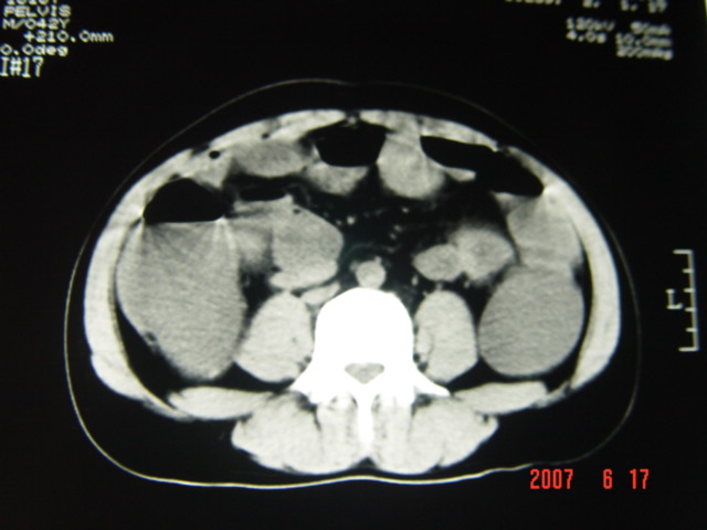
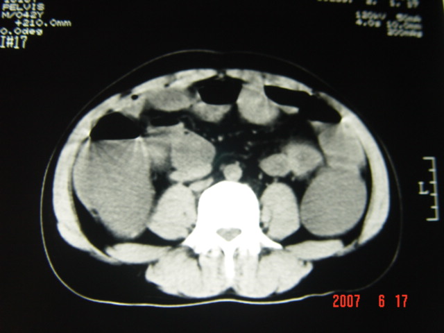
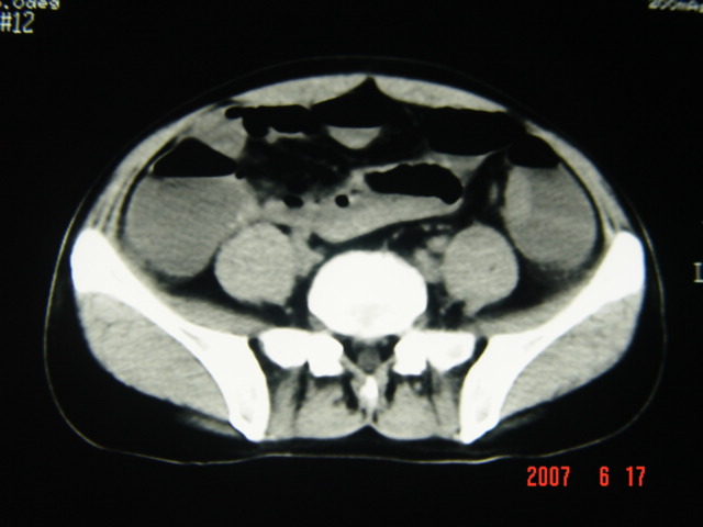
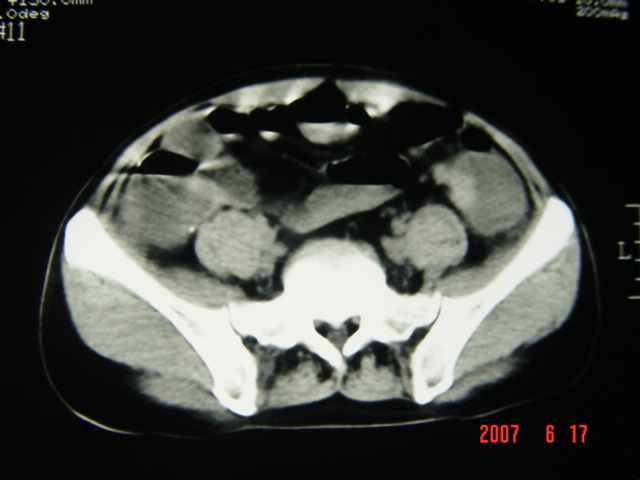
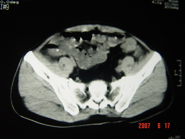
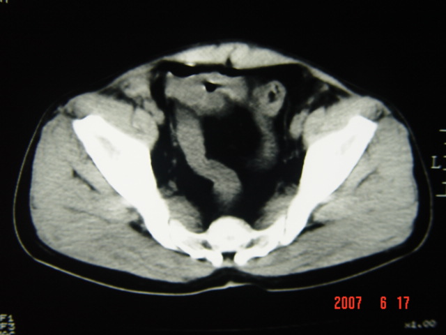
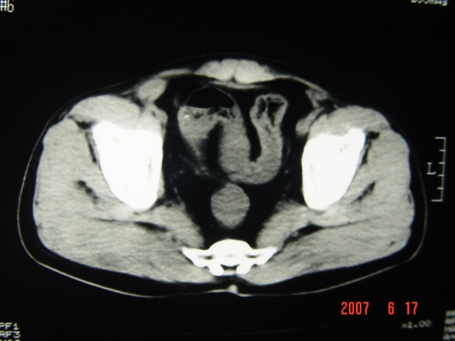
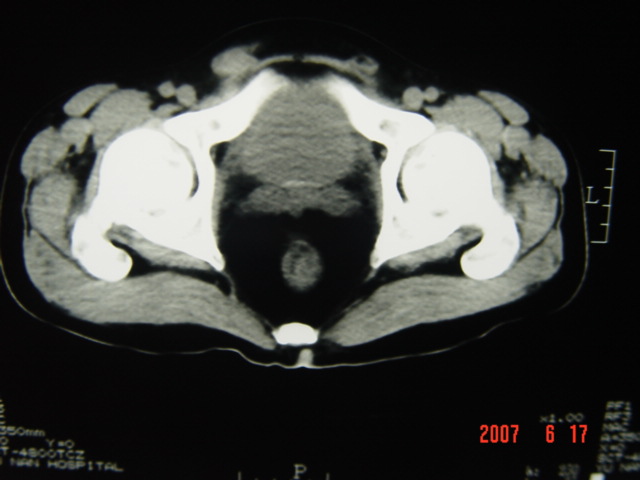
[br][br]以下是引用lkc8963在2007-6-17 13:32:00的发言:[br]完全支持邓主任意见:降/乙交界部占位性病变伴不全梗阻.做个增强或者be可能更好.
以下是引用苯小孩在2007-6-17 11:14:00的发言:[br][quote]以下是引用dyqct在2007-6-17 11:06:00的发言:[br][br]]
[br][br]以下是引用dyqct在2007-6-17 11:06:00的发言:[br][br]]
[br][br]| 欢迎光临 医影在线 (http://bbs.radida.com/bbs/) | Powered by Discuz! X3.2 |