



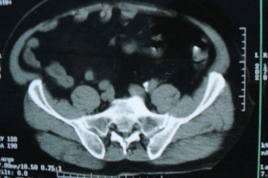
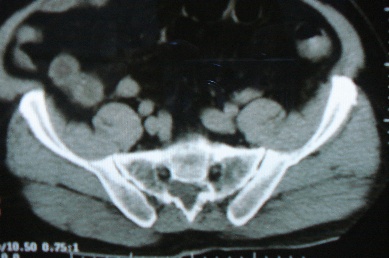
以下是引用zhangzhongshou在2007-6-17 11:53:00的发言:[br]骶管囊肿可能性大,建议mri检查。
以下是引用chenglinhunan在2007-6-17 18:08:00的发言:[br]学习了[br] [br][br]
以下是引用jinguoji在2007-6-17 14:53:00的发言:[br]骨质未见确切破坏,考虑骶管囊肿可能性大,建议mri检查。
| 欢迎光临 医影在线 (http://bbs.radida.com/bbs/) | Powered by Discuz! X3.2 |