医影在线
标题: CT7988D:近期图像 出乎意料! [打印本页]
作者: liuzheng_9326 时间: 2007-6-22 17:36
标题: CT7988D:近期图像 出乎意料!
(结果公布:http://www.radida.com/bbs/forum.php?mod=viewthread&tid=27017)
ct7988a http://www.radida.com/bbs/forum.php?mod=viewthread&tid=24229
ct7988b http://www.radida.com/bbs/forum.php?mod=viewthread&tid=24682
ct7988c http://www.radida.com/bbs/forum.php?mod=viewthread&tid=25553
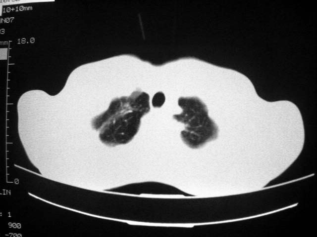
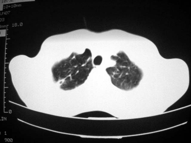
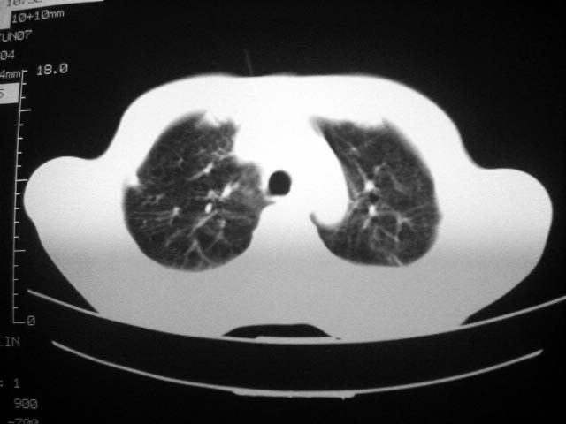
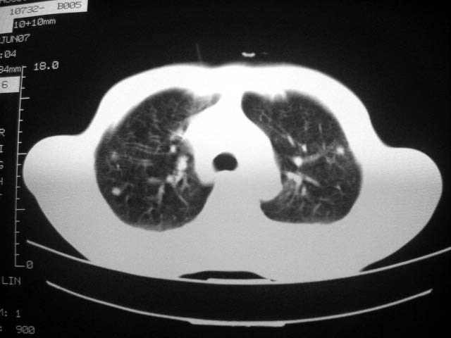
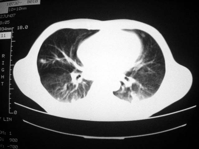
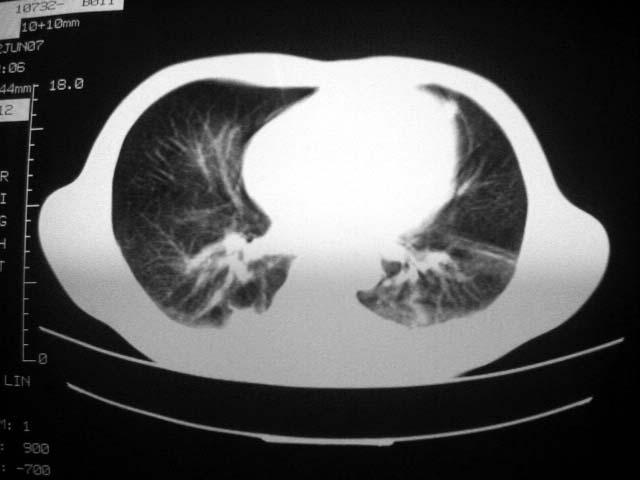
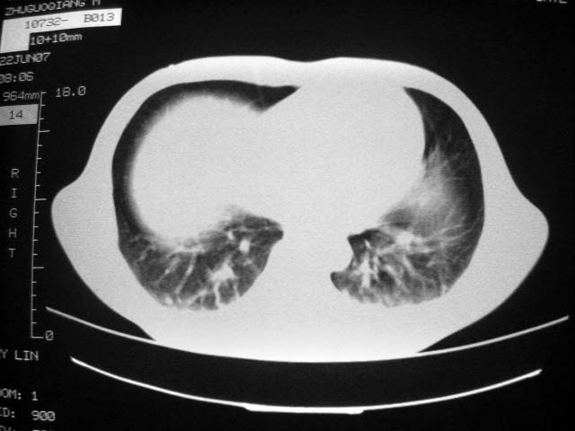
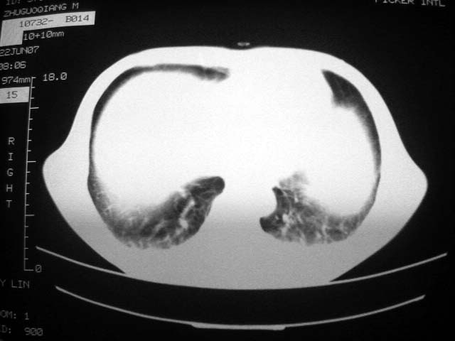
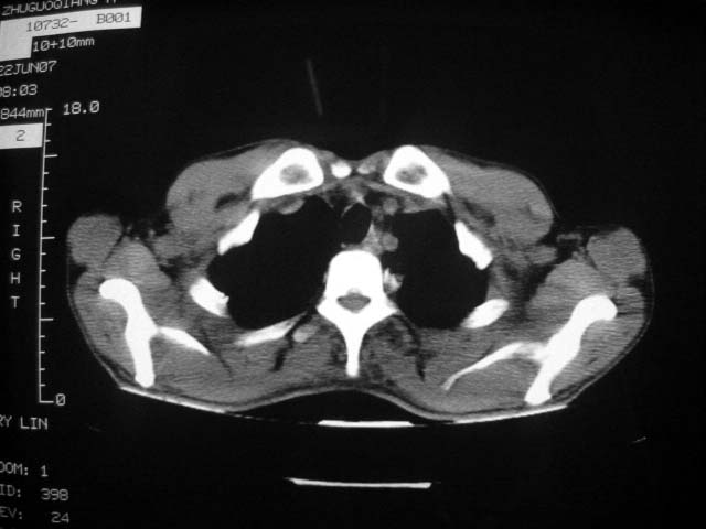
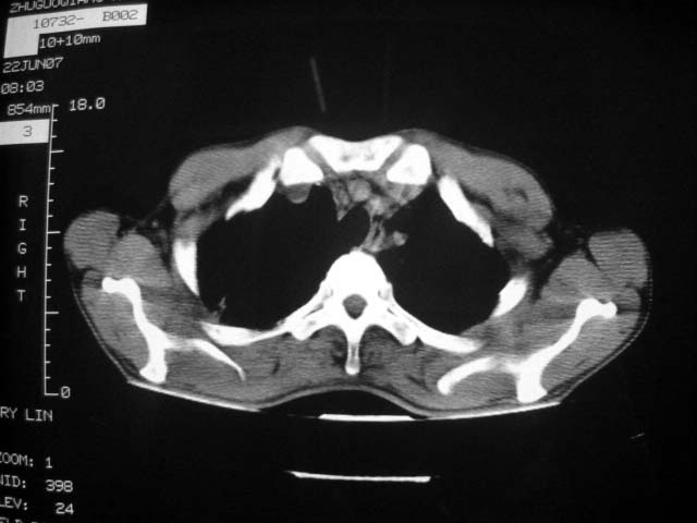
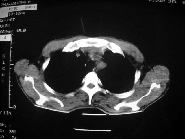
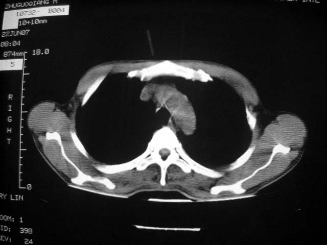
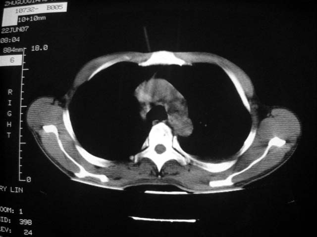
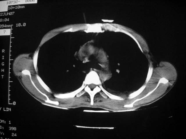
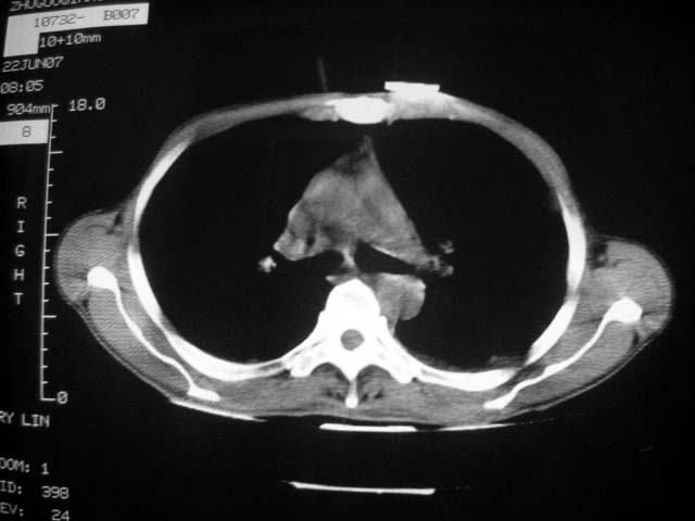
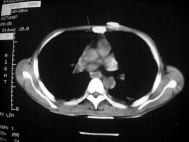
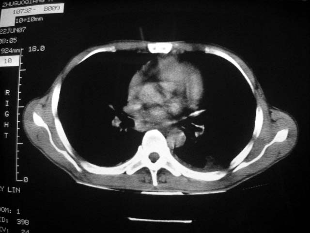
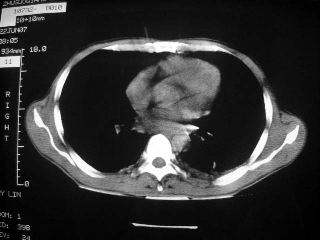
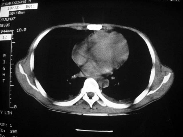
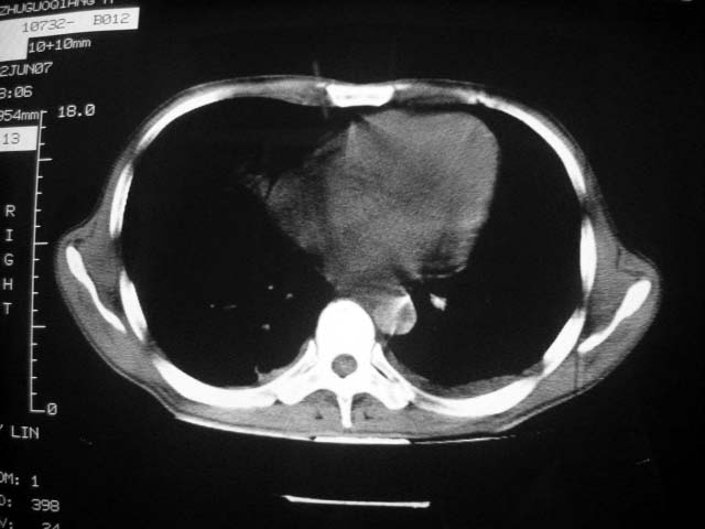
从ct7988c 至今未用任何抗生素及抗痨药,维持保肝治疗。患者低热、咳血渐消失。
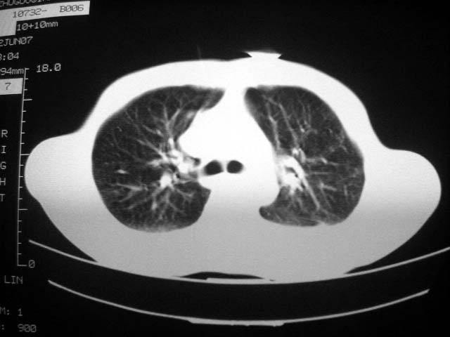
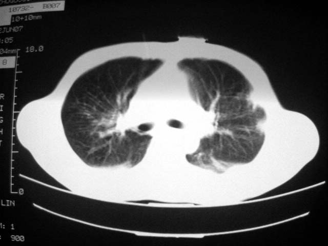
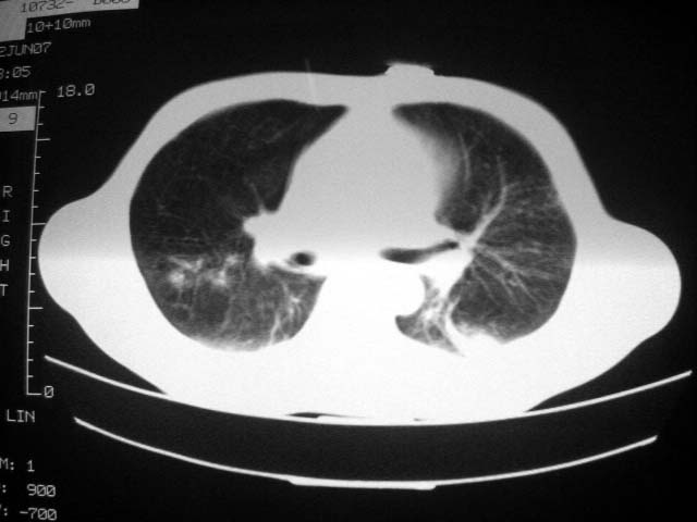
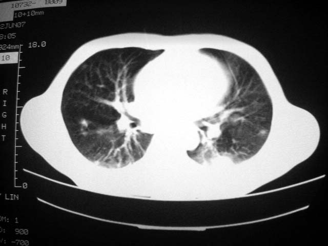
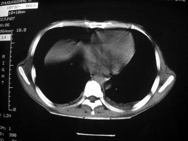
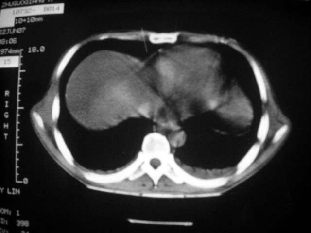
07年6月22号复查




























前几次大家认为是转移癌,但此次复查病灶却明显吸收好转,不支持诊断。请大家讨论。[emb10]
[本贴已被 jiajie 于 2007-8-30 17:22:44 修改过]
作者: ydx_74 时间: 2007-6-22 19:18
继发性tb,双侧胸腔积液,原来的在哪?
作者: jinning 时间: 2007-6-22 19:21
bu不可思议,前三次都怀疑转移,但从这次的片子看仍有结节,就是比原来小
望楼主尽快公布病理结果
作者: jhytzyy 时间: 2007-6-22 19:30
双侧继发性肺结核伴两肺播散灶.双侧胸腔少量积液
作者: 我爱影像学 时间: 2007-6-22 20:43
结合病史考虑:双肺血行性肺脓肿
作者: zjzjr 时间: 2007-6-22 21:09
双侧继发性肺结核伴两肺播散灶.双侧胸腔少量积液
作者: jiangjing 时间: 2007-6-22 22:00
双肺感染, 双侧胸腔少量积液
作者: 同 时间: 2007-6-22 22:47
标题: 回复:ct7988的近期图像 出乎意料!
以下是引用zjzjr在2007-6-22 13:09:00的发言:[br]双侧继发性肺结核伴两肺播散灶.双侧胸腔少量积液
作者: kiss 时间: 2007-6-22 23:11
双侧继发性肺结核伴两肺播散灶.双侧胸腔少量积液
作者: liaizhi 时间: 2007-6-22 23:41
标题: 回复:ct7988的近期图像 出乎意料!
以下是引用jiangjing在2007-6-22 14:00:00的发言:[br]双肺感染, 双侧胸腔少量积液
作者: dyqct 时间: 2007-6-22 23:58
标题: 回复:ct7988的近期图像 出乎意料!
近2个月病灶变化较大,应是感染性病变,首先考虑金黄色葡萄球菌感染。
[本贴已被 dyqct 于 2007-6-22 17:40:38 修改过]
作者: liuzheng_9326 时间: 2007-6-23 00:25
患者现无咳嗽咳痰及咳血,肝功好转,血清白蛋白降低,球蛋白升高,白球比小于0.5.少量腹水。
翻看7988a b c 三次回贴,发现某些战友的回复前后相差甚远。?
作者: 黄玉龙 时间: 2007-6-23 01:47
继发性tb
作者: 老爱克斯 时间: 2007-6-23 02:32
根据前后片比较应该考虑迁徙性肺脓肿,回帖相差甚远是因为前后片变化太大出乎大家意料之外,这就是影象诊断要结合临床复查对比的必要性,
作者: ZHANGZHONGSHOU 时间: 2007-6-23 02:55
回顾既往片,病变明显吸收,缩小,未经治疗,不支持肺转移瘤,可能为肺结节病或韦格氏肉芽肿
作者: 青莲居士 时间: 2007-6-23 04:13
双侧继发性肺结核伴两肺播散灶.双侧胸腔少量积液
作者: zxczxc 时间: 2007-6-23 04:18
双上肺陈旧性肺结核,双胸腔少量积液。
作者: hhcckk 时间: 2007-6-23 05:25
标题: 回复:ct7988的近期图像 出乎意料!
以下是引用zhangzhongshou在2007-6-22 18:55:00的发言:[br]回顾既往片,病变明显吸收,缩小,未经治疗,不支持肺转移瘤,可能为肺结节病或韦格氏肉芽肿
支持韦格氏肉芽肿
作者: jw-830 时间: 2007-6-23 06:10
双肺继发型肺结核并双肺播散灶,双肺少量胸腔积液
作者: xulianj 时间: 2007-6-23 06:30
双肺感染, 双侧胸腔少量积液
作者: 宝天曼 时间: 2007-6-23 19:50
双侧继发性肺结核伴两肺播散灶.双侧胸腔少量积液
作者: 青莲居士 时间: 2007-6-23 23:02
以下是引用zjzjr在2007-6-22 13:09:00的发言:
双侧继发性肺结核伴两肺播散灶.双侧胸腔少量积液
作者: liuzheng_9326 时间: 2007-7-31 00:44
患者近期复查胸ct正常,轻度肝功异常,保肝、抗病毒(拉美夫叮)治疗中。
作者: gyybzj 时间: 2007-7-31 02:49
免疫性病变?
作者: ydx_74 时间: 2007-11-18 22:26
结果呢?
作者: yy杨洋 时间: 2007-12-22 08:53
标题: 回复:ct7988d:近期图像 出乎意料!
以下是引用ydx_74在2007-11-18 14:26:00的发言:[br]结果呢?
| 欢迎光临 医影在线 (http://bbs.radida.com/bbs/) |
Powered by Discuz! X3.2 |