医影在线
标题: CT8798:请讨论,病例有结果 [打印本页]
作者: 大漠孤烟 时间: 2007-6-22 17:43
标题: CT8798:请讨论,病例有结果
(结果公布:http://www.radida.com/bbs/forum.php?mod=viewthread&tid=26589)
女,18y,起病高热,无咳嗽,咳痰。
2006年11月第一次胸片

消炎治疗后复查
2007年5月9日病情未好转

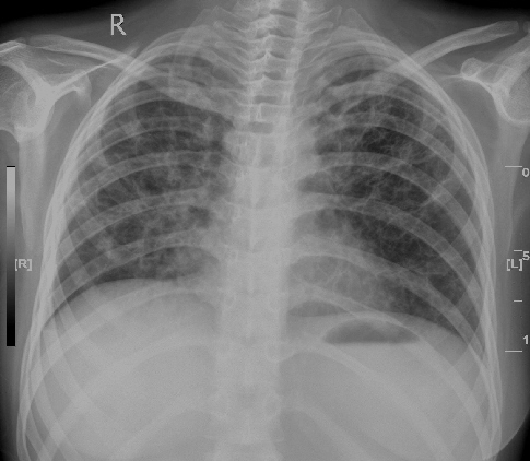
2007年6月20日胸片

2007年6月ct部分层面

[本贴已被 jiajie 于 2007-6-24 11:38:48 修改过]
作者: jinning 时间: 2007-6-22 19:15
考虑1:蛋白沉积症,2:病毒感染引起肺纤维化,肺囊肿
作者: 潘X 时间: 2007-6-22 20:04
少见,支持楼上。
作者: ydx_74 时间: 2007-6-22 20:06
2006-11正常,2007-5-9弥漫分布絮团影,2007-6-20片仅见纤维索条样影,tb吸收没这么快,考虑真菌感染可能大(绒毛癌转移及韦格氏病不支持)
作者: aa13877358820 时间: 2007-6-22 20:27
机会性感染?
作者: jhytzyy 时间: 2007-6-22 20:35
间质性肺炎进展为肺间质纤维化
作者: 为你 时间: 2007-6-22 21:57
标题: 回复:请讨论,病例有结果
以下是引用ydx_74在2007-6-22 12:06:00的发言:[br]2006-11正常,2007-5-9弥漫分布絮团影,2007-6-20片仅见纤维索条样影,tb吸收没这么快,考虑真菌感染可能大(绒毛癌转移及韦格氏病不支持)
作者: dongqing0606 时间: 2007-6-22 22:11
请告之三次检查时患者的症状及实验室检查结果.谢谢
作者: ZHANGZHONGSHOU 时间: 2007-6-22 22:33
标题: 回复
请楼主继续上传临床资料,包括治疗情况,可能为肺结节病,本病激素治疗有效,最后一张片应为iv期(肺纤维化和终末期肺),本病多发于20-40岁,男女无明显差异。
[本贴已被 zhangzhongshou 于 2007-6-22 20:19:41 修改过]
作者: lth7110 时间: 2007-6-22 23:25
第一张正常,第二张肺转移,第三张治疗后
作者: wjch 时间: 2007-6-22 23:40
2006-11正常,2007-5-9弥漫分布絮团影,2007-6-20片仅见纤维索条样影,tb吸收没这么快,考虑真菌感染可能大(绒毛癌转移及韦格氏病不支持)
作者: ducky807 时间: 2007-6-22 23:49
钩端螺旋体病?
作者: dyqct 时间: 2007-6-22 23:55
肺血管平滑肌瘤病可能性大。
作者: hzadhong 时间: 2007-6-23 00:07
冯庆明,什么病?肺间质纤维化
作者: 龙刚 时间: 2007-6-23 00:14
支持9楼
作者: yuhongjun 时间: 2007-6-23 02:18
标题: 回复:请讨论,病例有结果
以下是引用ydx_74在2007-6-22 12:06:00的发言:[br]2006-11正常,2007-5-9弥漫分布絮团影,2007-6-20片仅见纤维索条样影,tb吸收没这么快,考虑真菌感染可能大(绒毛癌转移及韦格氏病不支持)
作者: zxczxc 时间: 2007-6-23 02:48
多好的病例啊!。非典型肺炎感染后引起肺纤维化可能性不大,石棉肺引起肺纤维化有可能。激素治疗后肺部出现阴影后发生肺纤维化也有可能。重要是病人免疫损伤后肺部纤维化。
作者: 百年合好 时间: 2007-6-23 04:06
没见过,不是tb,是什么典型肺部病变.
作者: wickyyuen 时间: 2007-6-23 04:20
少见^
作者: hhcckk 时间: 2007-6-23 04:54
考虑嗜酸性肉芽肿可能性大
嗜酸性肉芽肿早期有肺泡内细胞浸润,中期肉牙肿形成,晚期纤维化和囊肿的形成
鉴别
1、韦格氏肉芽肿,此病人有可能,此病例大都有鼻烟部的改变,楼主未能提供,可以再请五官科的医生帮助鉴别一下
2、嗜酸性肉芽肿的结节和囊变以两肺中上肺为主,肋隔角区相对正常,这点与肺淋巴管肌瘤病不同,肺淋巴管肌瘤病的特点是弥漫分布,早期就有囊变,所以我认为可能性不大
3、结节病3期时肺内改变以纤为维化为主,弥漫囊变的少见,2期的结节小是其特点,此病例可能性也不大
4、至于tb,转移,脓肿从病人的临床症状,和病灶的发展来看多不太支持
作者: drzhang8888 时间: 2007-6-23 05:29
支持嗜酸性肉芽肿
作者: 念羊经 时间: 2007-6-23 05:54
望结果
作者: jiangjing 时间: 2007-6-23 06:28
支持嗜酸性肉芽肿,结缔组织疾病待排
作者: xulianj 时间: 2007-6-23 06:56
肺纤维化
作者: 胡宇 时间: 2007-6-23 08:11
肺霉菌病引起肺纤维化。
作者: 刘明 时间: 2007-6-23 19:05
首先考虑常见病,血源性肺脓肿
作者: zhangkai 时间: 2007-6-23 20:33
肺脓肿?
作者: 青莲居士 时间: 2007-6-23 23:05
考虑1:蛋白沉积症,2:病毒感染引起肺纤维化,肺囊肿
作者: zyx168 时间: 2007-6-24 15:04
化脓性肺炎?
作者: 大漠孤烟 时间: 2007-6-24 18:12
1.实在佩服zhangzhongshou、zxczxc等老师的学识和经验。我故意隐瞒了关键的临床资料:该病人在治疗过程中确诊为“系统性红斑狼疮”(大伙可别扔砖头砸我!)。如果一开始提供了这一点,诊断可能会容易些,但我觉得思维训练也许会打折扣了!
2.结果不言而喻,但我想各位老师能否再回顾分析、总结一下,共同加强对本病的认识,共同学习提高。
3.此病例起初发在普通x线论坛里(病例图像里有几幅ct)可能管理员给移过来了,但我保留自己的意见。
谢谢各位老师的精彩分析、谢谢管理员的辛苦工作!
作者: 青莲居士 时间: 2007-6-24 20:26
请楼主继续上传临床资料,包括治疗情况,可能为肺结节病,本病激素治疗有效,最后一张片应为iv期(肺纤维化和终末期肺),本病多发于20-40岁,男女无明显差异。
作者: 高仕福 时间: 2007-6-24 20:29
结果收到,学习了!
作者: 青莲居士 时间: 2007-6-24 20:50
以下是引用ydx_74在2007-6-22 12:06:00的发言:
2006-11正常,2007-5-9弥漫分布絮团影,2007-6-20片仅见纤维索条样影,tb吸收没这么快,考虑真菌感染可能大(绒毛癌转移及韦格氏病不支持)
作者: 天南地北 时间: 2007-6-24 21:13
sle肺
第一次见
学习了
作者: jinguoji 时间: 2007-6-24 21:23
结果收到,学习了!
作者: wqs571018 时间: 2007-6-24 23:53
学习了!谢谢!
作者: 永州人 时间: 2007-6-25 01:43
标题: 回复:ct8798:请讨论,病例有结果
以下是引用jinning在2007-6-22 11:15:00的发言:[br]考虑1:蛋白沉积症,2:病毒感染引起肺纤维化,肺囊肿
作者: dglq 时间: 2007-6-25 03:33
好啊
作者: drzhang8888 时间: 2007-6-25 05:52
结果收到,学习了!
作者: dyqct 时间: 2007-6-26 00:54
肺主要以间质为主,学习了。
作者: 青莲居士 时间: 2007-6-26 03:02
请楼主继续上传临床资料,包括治疗情况,可能为肺结节病,本病激素治疗有效,最后一张片应为iv期(肺纤维化和终末期肺),本病多发于20-40岁,男女无明显差异
作者: 李晓阳 时间: 2007-6-26 05:01
学无止境
作者: shenjiu 时间: 2007-6-26 17:09
真菌感染后至肺纤维化
作者: fumaogui 时间: 2007-6-26 17:10
好病例,学习了.
作者: jinning 时间: 2007-6-26 18:31
结果收到,谢谢
作者: xujin110 时间: 2007-6-26 23:49
学习了~考虑抗炎治疗~
作者: 青莲居士 时间: 2007-6-27 02:39
请楼主继续上传临床资料,包括治疗情况,可能为肺结节病,本病激素治疗有效,最后一张片应为iv期(肺纤维化和终末期肺),本病多发于20-40岁,男女无明显差异。
作者: zxczxc 时间: 2007-6-27 02:43
狼疮性肺炎。学习了。
作者: 青莲居士 时间: 2007-6-27 03:22
以下是引用ydx_74在2007-6-22 12:06:00的发言:
2006-11正常,2007-5-9弥漫分布絮团影,2007-6-20片仅见纤维索条样影,tb吸收没这么快,考虑真菌感染可能大(绒毛癌转移及韦格氏病不支持)
作者: 黄玉龙 时间: 2007-6-27 04:59
谢谢
作者: 拾荒者 时间: 2007-6-28 05:11
狼疮性肺炎病理表现包括畸形肺泡炎、肺泡出血、肺泡壁坏死、水肿、透明膜变、间质纤维化、间质性肺炎、血管炎、血管内膜增生、胸膜和胸膜渗出。sle影像表现无特异性,诊断必须密切结合临床。
作者: 一个人 时间: 2007-6-28 05:41
考虑真菌感染可能大
作者: dr.yang 时间: 2011-10-23 08:50
实质变间质,学习了。
| 欢迎光临 医影在线 (http://bbs.radida.com/bbs/) |
Powered by Discuz! X3.2 |