


以下是引用zjzjr在2007-6-22 22:20:00的发言:[br]右冠状动脉多发狭窄,左冠状动脉支架断裂或两个支架连接欠佳。
以下是引用zjzjr在2007-6-22 22:20:00的发言:[br]右冠状动脉多发狭窄,左冠状动脉支架断裂或两个支架连接欠佳。
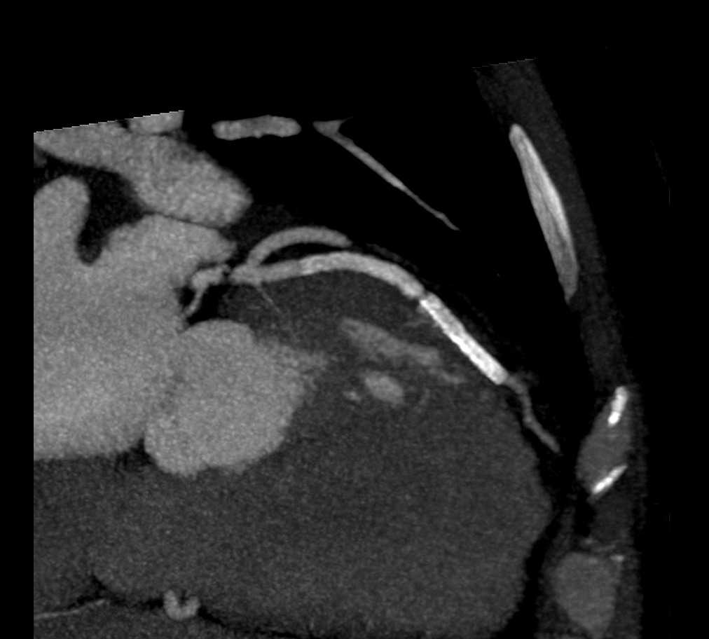
以下是引用zjzjr在2007-6-22 22:20:00的发言:[br]右冠状动脉多发狭窄,左冠状动脉支架断裂或两个支架连接欠佳。
以下是引用zjzjr在2007-6-22 22:20:00的发言:[br]右冠状动脉多发狭窄,左冠状动脉支架断裂或两个支架连接欠佳。
以下是引用尚峰在2007-6-22 22:47:00的发言:[br]支架是不可能断裂的,这个病人左冠前降支病变太长,下了两个支架,但下两个支架的一个原则是两根支架必须重叠3-5mm,不知什么原因此患者两根支架没有重叠上,现在很麻烦了,要么再下一根支架,要么搭桥。
以下是引用尚峰在2007-6-22 22:47:00的发言:[br]支架是不可能断裂的,这个病人左冠前降支病变太长,下了两个支架,但下两个支架的一个原则是两根支架必须重叠3-5mm,不知什么原因此患者两根支架没有重叠上,现在很麻烦了,要么再下一根支架,要么搭桥。
以下是引用尚峰在2007-6-22 22:47:00的发言:[br]支架是不可能断裂的,这个病人左冠前降支病变太长,下了两个支架,但下两个支架的一个原则是两根支架必须重叠3-5mm,不知什么原因此患者两根支架没有重叠上,现在很麻烦了,要么再下一根支架,要么搭桥。
| 欢迎光临 医影在线 (http://bbs.radida.com/bbs/) | Powered by Discuz! X3.2 |