
























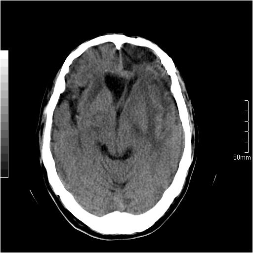
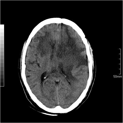
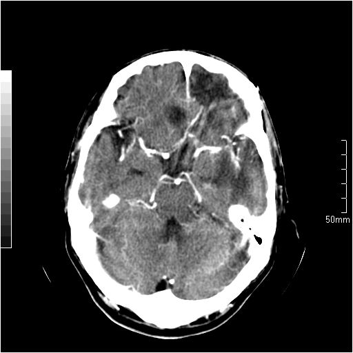
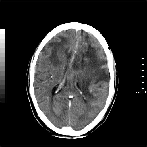
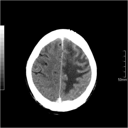
以下是引用天南地北在2007-6-25 12:39:00的发言:[br]有占位效应[br]支持术后复发
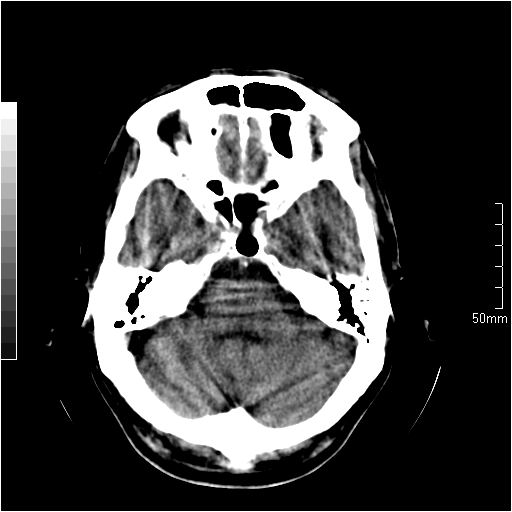
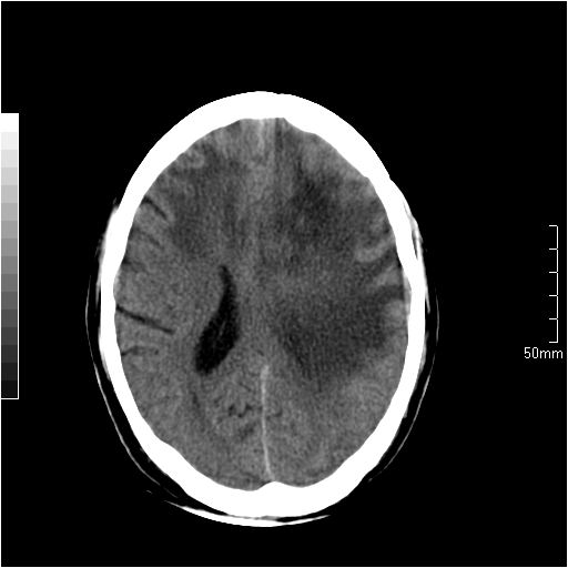
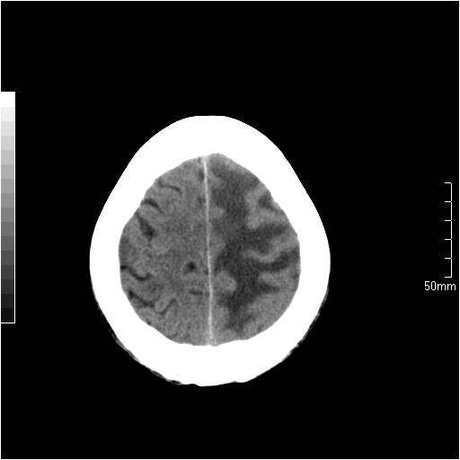
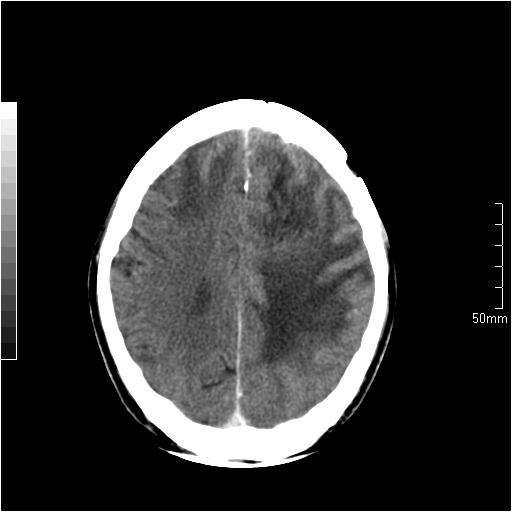
以下是引用zjzjr在2007-6-25 12:38:00的发言:[br]左侧复发,右侧转移。
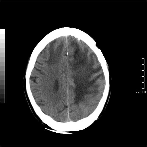
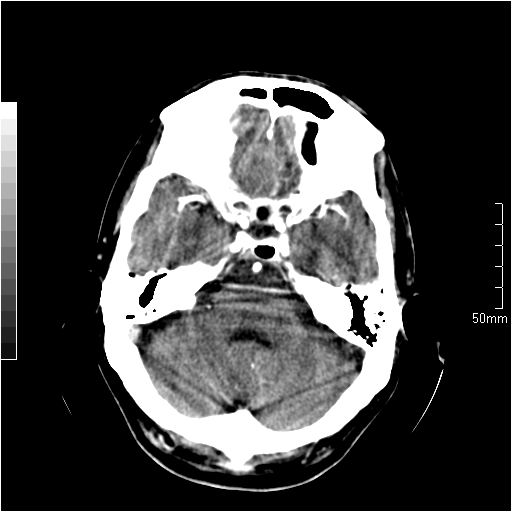
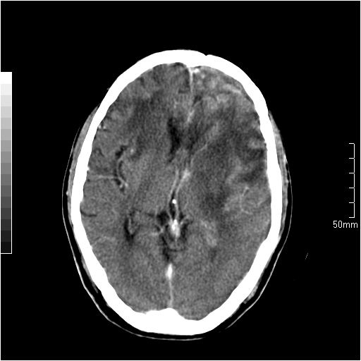
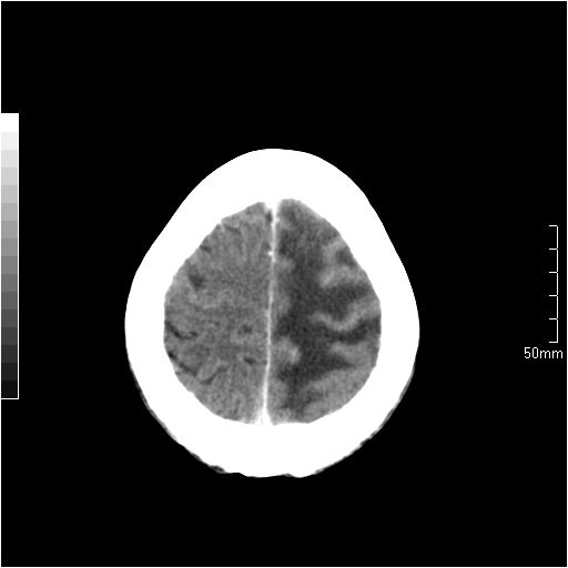
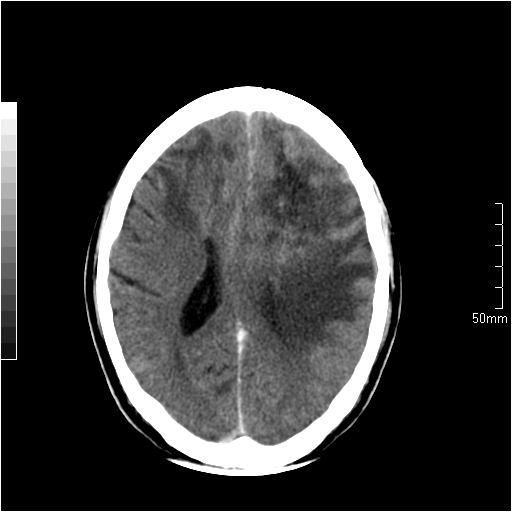
以下是引用zjzjr在2007-6-25 12:38:00的发言:[br]左侧复发,右侧转移。
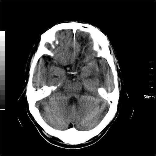
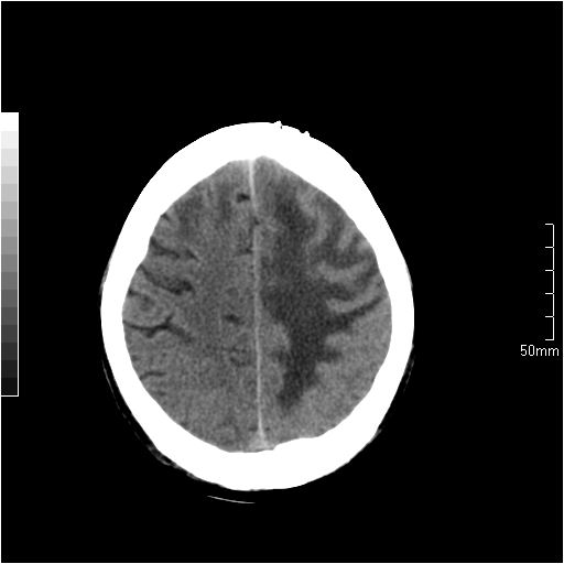
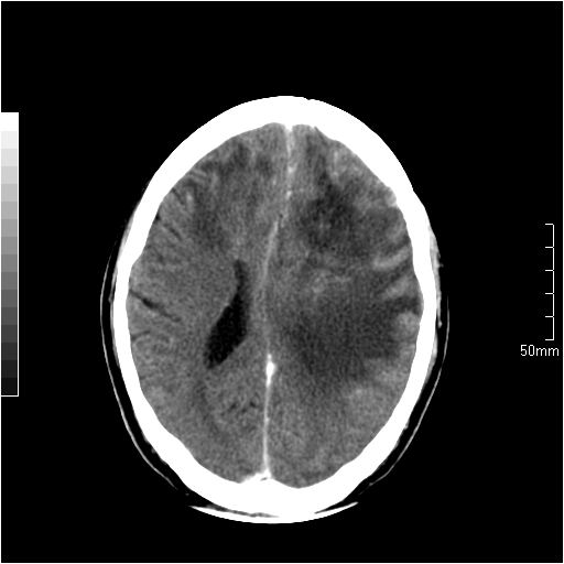
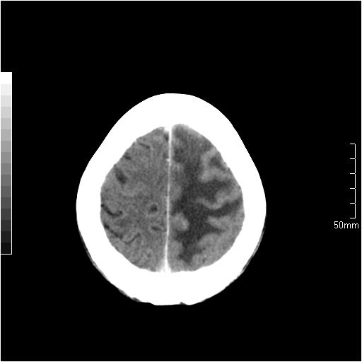
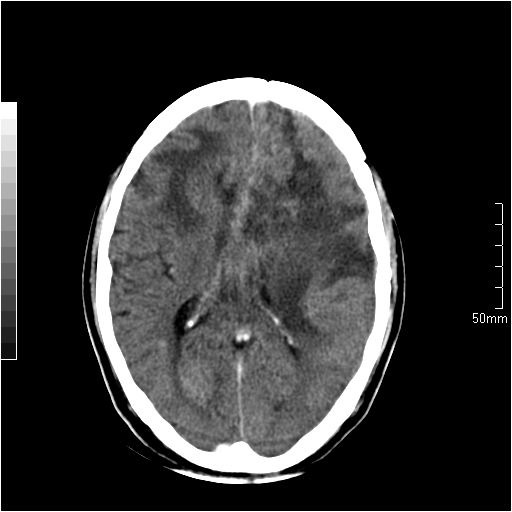
以下是引用zjzjr在2007-6-25 12:38:00的发言:[br]左侧复发,右侧转移。
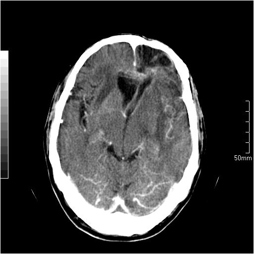
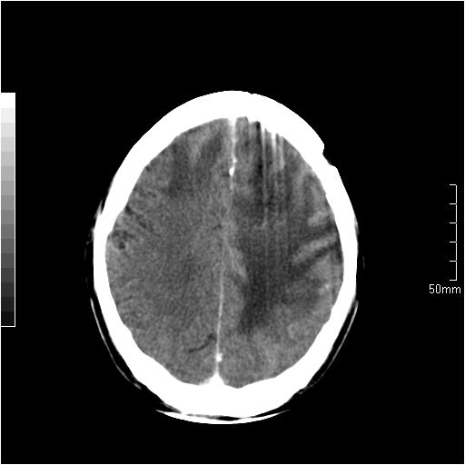
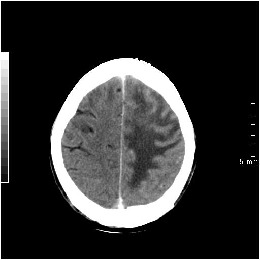
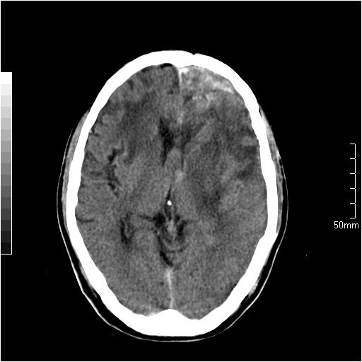
以下是引用zjzjr在2007-6-25 12:38:00的发言:[br]左侧复发,右侧转移。
| 欢迎光临 医影在线 (http://bbs.radida.com/bbs/) | Powered by Discuz! X3.2 |