












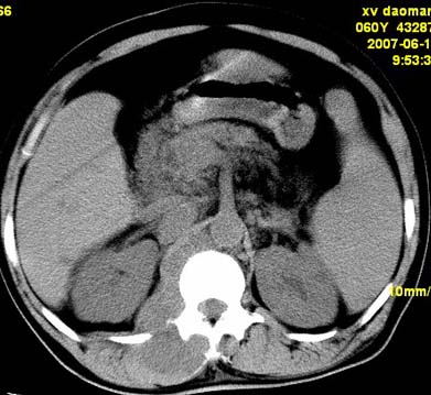
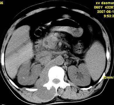
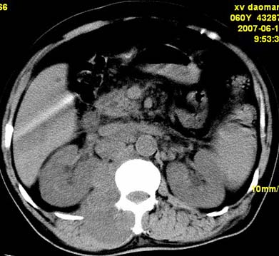
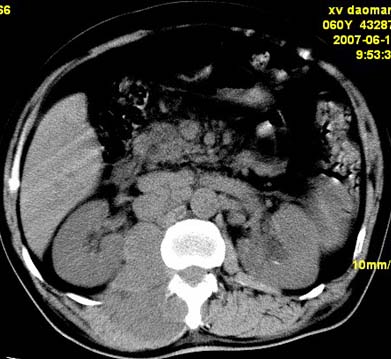
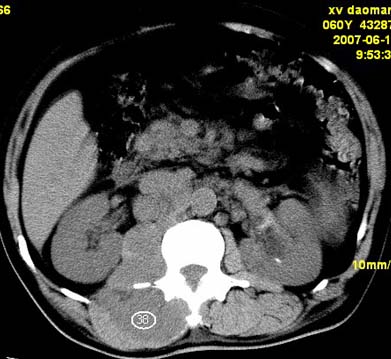
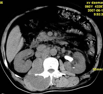
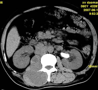
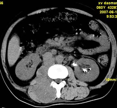
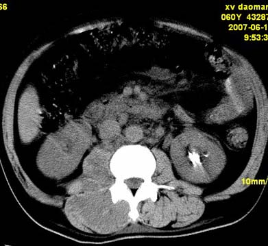
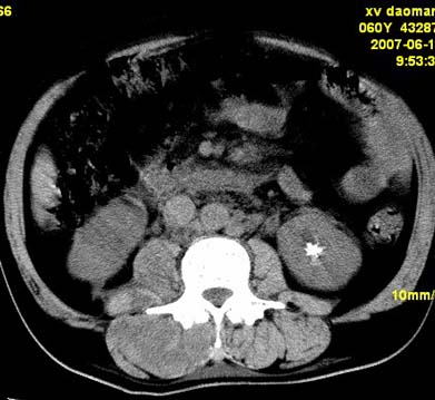
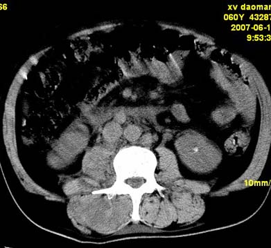
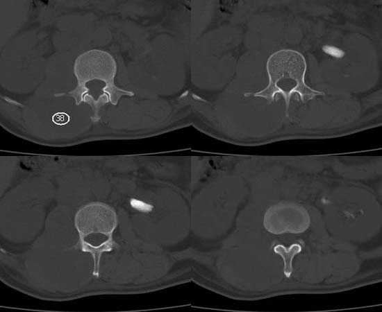
以下是引用还珠格格在2007-6-26 15:05:00的发言:[br]右侧腰大肌、同侧竖脊肌明显肿胀,呈不均匀密度减低影,右肾受压右上前移,脂肪间隙部分消失,另左侧肾盂内可见高密度影,是结石还是造影剂? 不知道病人用造影剂没有?考虑 右侧腰大肌及右侧竖脊肌寒性脓肿形成。[br][br][本贴已被 还珠格格 于 2007-6-26 15:21:35 修改过]
以下是引用dyqct在2007-6-26 16:15:00的发言:[br][quote]以下是引用还珠格格在2007-6-26 15:05:00的发言:[br]右侧腰大肌、同侧竖脊肌明显肿胀,呈不均匀密度减低影,右肾受压右上前移,脂肪间隙部分消失,另左侧肾盂内可见高密度影,是结石还是造影剂? 不知道病人用造影剂没有?考虑 右侧腰大肌及右侧竖脊肌寒性脓肿形成。[br][br][本贴已被 还珠格格 于 2007-6-26 15:21:35 修改过]
以下是引用andymaomao在2007-6-26 15:45:00的发言:[br]考虑椎旁冷脓肿可能,作过实验室检查没有?最好还是穿刺活检,简便快捷!
以下是引用小初学者在2007-6-26 15:42:00的发言:[br]1\\右侧腰大肌、同侧竖脊肌脓肿[br]2\\左侧肾盂结石
以下是引用还珠格格在2007-6-26 15:05:00的发言:[br]右侧腰大肌、同侧竖脊肌明显肿胀,呈不均匀密度减低影,右肾受压右上前移,脂肪间隙部分消失,另左侧肾盂内可见高密度影,是结石还是造影剂? 不知道病人用造影剂没有?考虑 右侧腰大肌及右侧竖脊肌寒性脓肿形成。[br][br][本贴已被 还珠格格 于 2007-6-26 15:21:35 修改过]
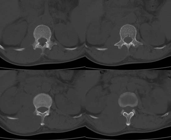
以下是引用刘明在2007-6-26 16:00:00的发言:[br][br]右侧竖直肌及腰大肌肿胀,脂肪间隙难辨,腹膜后血管旁见多个肿大淋巴结影,椎体附件右侧有压迫吸收、未见硬化迹象,考虑椎旁冷脓肿可能[br]左侧肾盂内可见高密度影,周围有毛刺,本图象是平扫,不是增强,应该是结石[br]
以下是引用hhcckk在2007-6-27 9:41:00的发言:[br]肾周筋膜增厚,胰腺影肥大,楼主是考我们了,我考虑是胰腺炎引起的腰部感染,形成的蓝棕色斑,也称gray-turner征,另外腹膜后怎么这么多的淋巴结,转移也要考虑[br]结核三个月没有骨破坏?寒性脓肿累及到竖脊肌的少见,所以我考虑结核的可能性不太大[br]左肾内高密度影,密度不太均匀,左肾有积水的表现,考虑是结石[br]期待楼主老师的结果
| 欢迎光临 医影在线 (http://bbs.radida.com/bbs/) | Powered by Discuz! X3.2 |