





















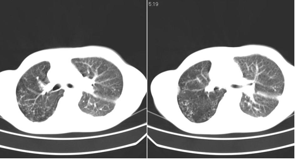
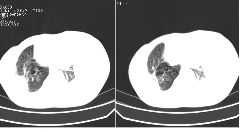
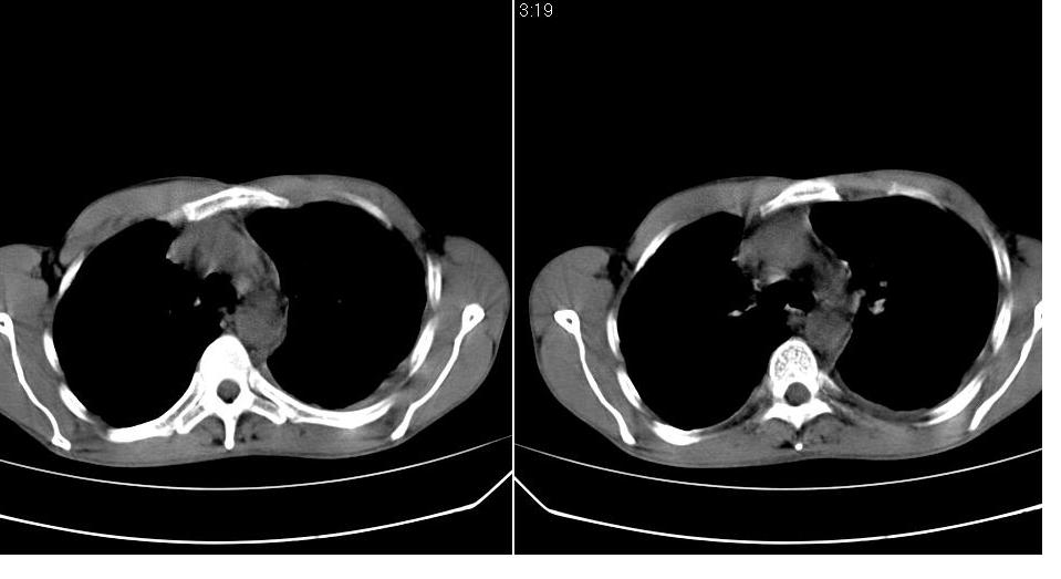
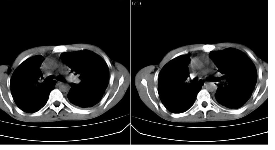
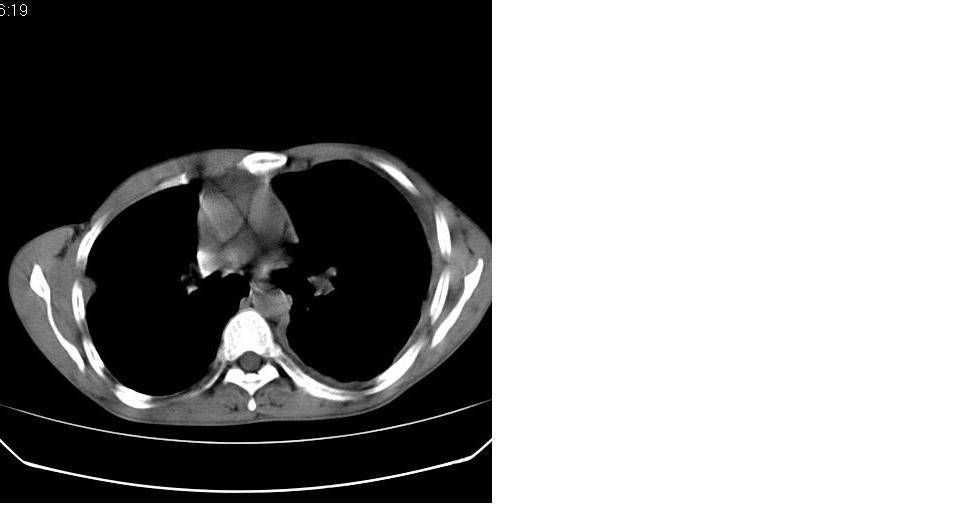
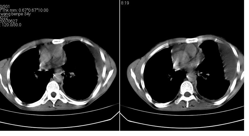
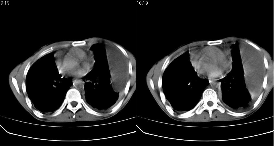
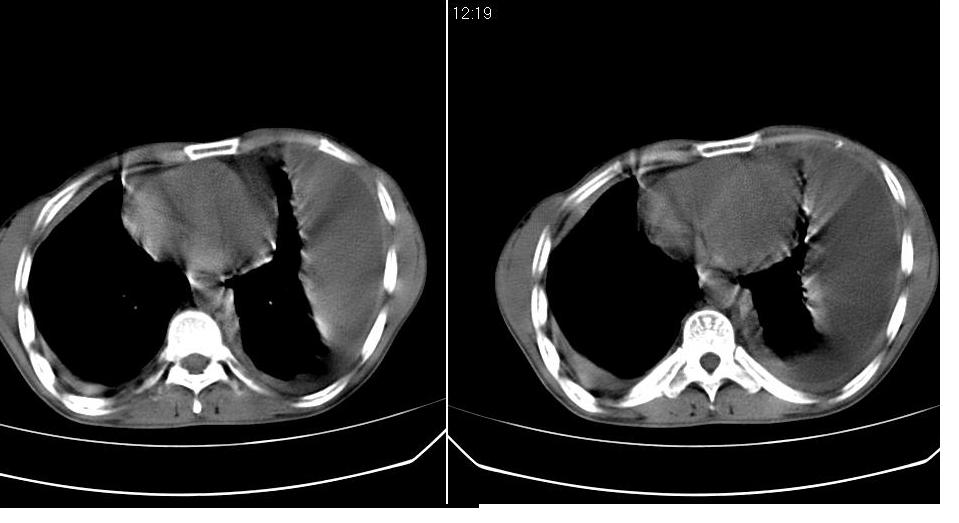
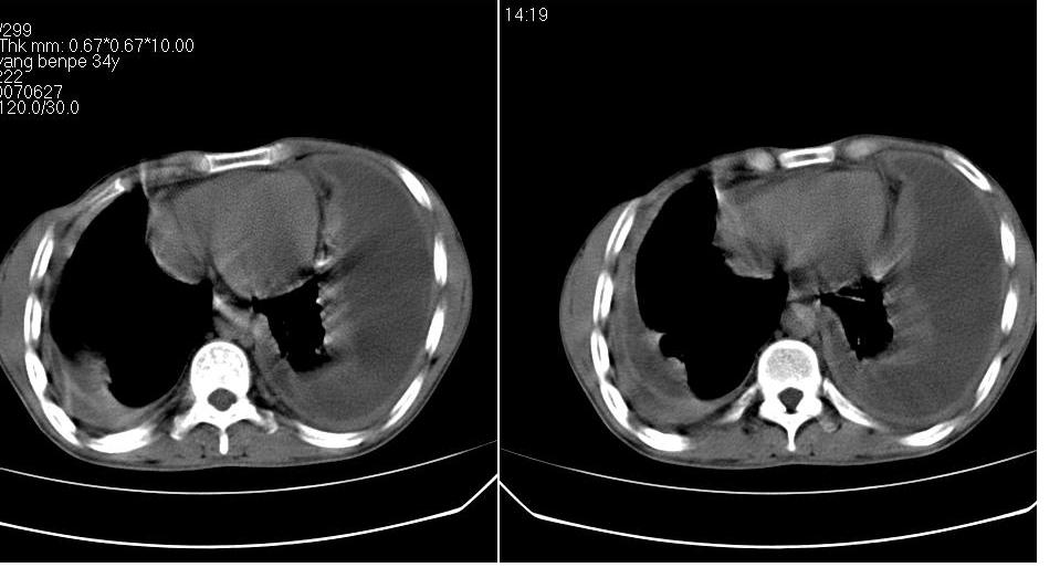
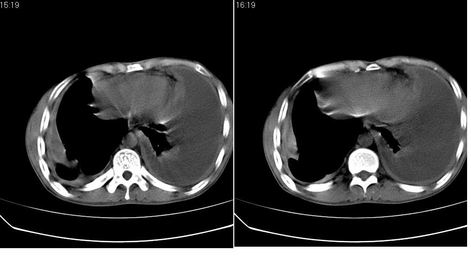
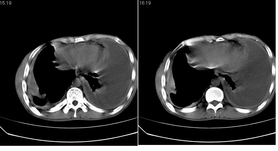
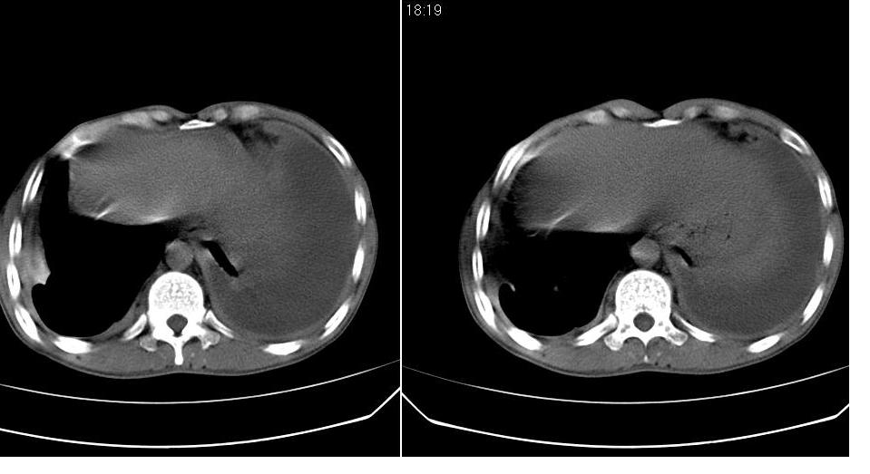
以下是引用苯小孩在2007-6-27 15:09:00的发言:[br]考虑:1、右肺继发性肺结核.2、双侧包裹性积液<胸腔及叶间>3、双侧局部胸膜增厚.[br]建议胸水化验检查.
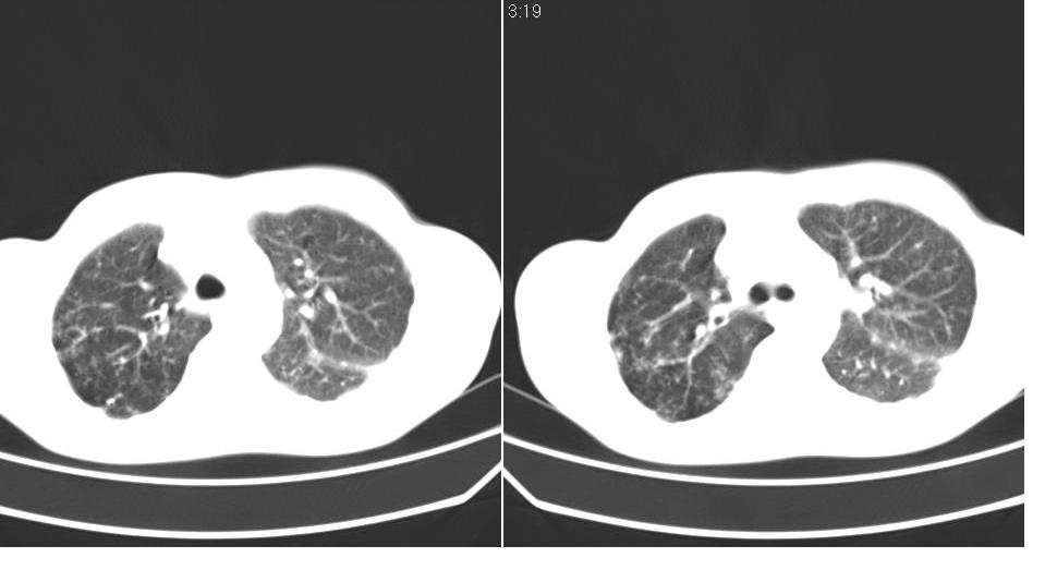
以下是引用yanghaochen88在2007-6-27 15:08:00的发言:[br]双肺上野散在粟粒状影、包裹性积液、胸膜增厚粘连、叶间积液---tb,至于分型还得结合病史体征细究妥当些。
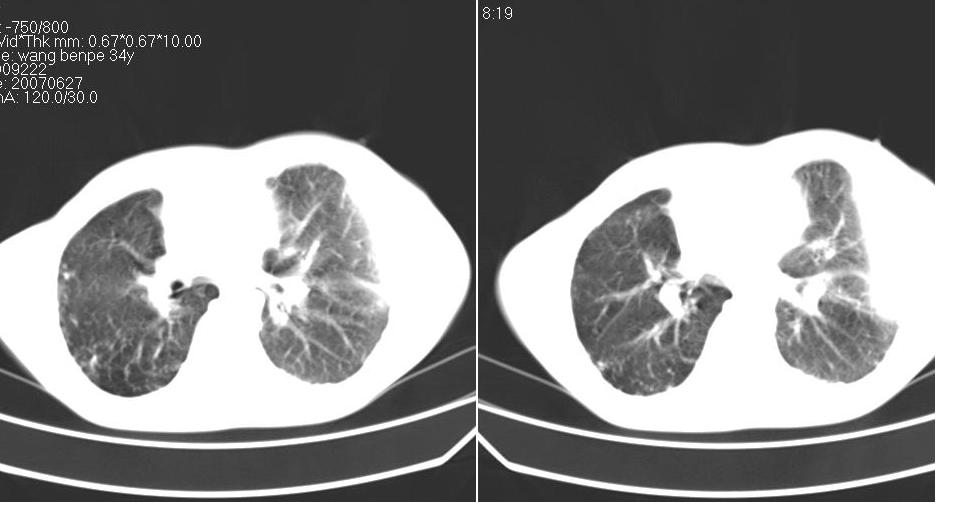
以下是引用苯小孩在2007-6-27 15:09:00的发言:[br]考虑:1、右肺继发性肺结核.2、双侧包裹性积液<胸腔及叶间>3、双侧局部胸膜增厚.[br]建议胸水化验检查.
以下是引用苯小孩在2007-6-27 15:09:00的发言:[br]考虑:1、右肺继发性肺结核.2、双侧包裹性积液<胸腔及叶间>3、双侧局部胸膜增厚.[br]建议胸水化验检查.
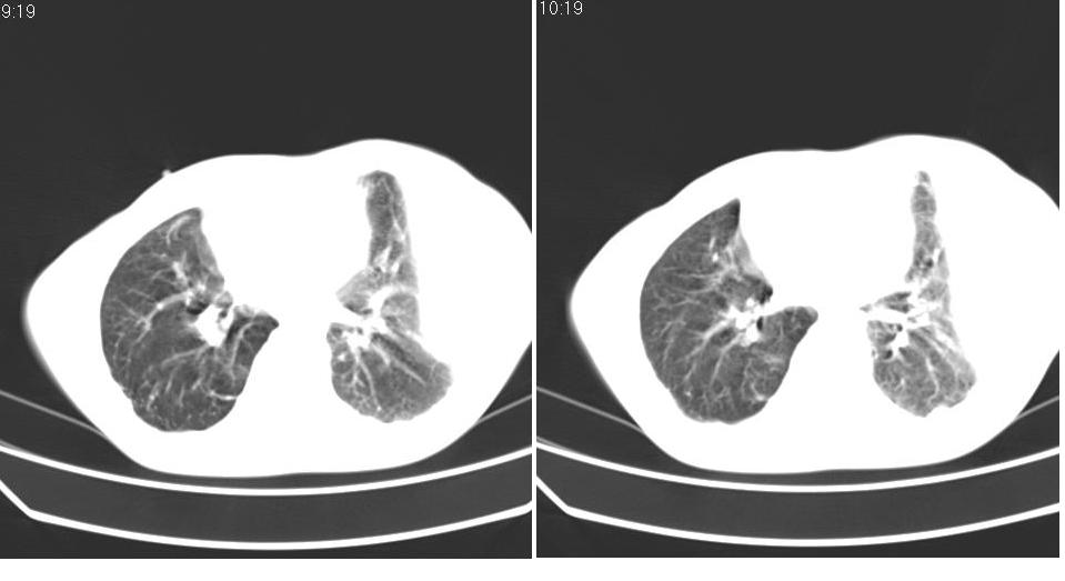
以下是引用苯小孩在2007-6-27 15:09:00的发言:[br]考虑:1、右肺继发性肺结核.2、双侧包裹性积液<胸腔及叶间>3、双侧局部胸膜增厚.[br]建议胸水化验检查.
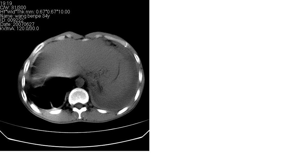
以下是引用zjzjr在2007-6-27 16:49:00的发言:[br]肺结核、结核性胸膜炎。
以下是引用苯小孩在2007-6-27 15:09:00的发言:[br]考虑:1、右肺继发性肺结核.2、双侧包裹性积液<胸腔及叶间>3、双侧局部胸膜增厚.[br]建议胸水化验检查.
以下是引用苯小孩在2007-6-27 15:09:00的发言:[br]考虑:1、右肺继发性肺结核.2、双侧包裹性积液<胸腔及叶间>3、双侧局部胸膜增厚.[br]建议胸水化验检查.
| 欢迎光临 医影在线 (http://bbs.radida.com/bbs/) | Powered by Discuz! X3.2 |