




















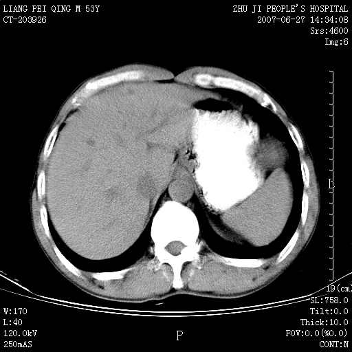
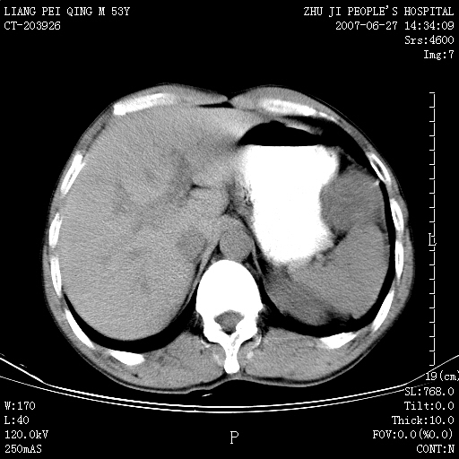
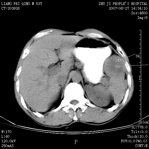
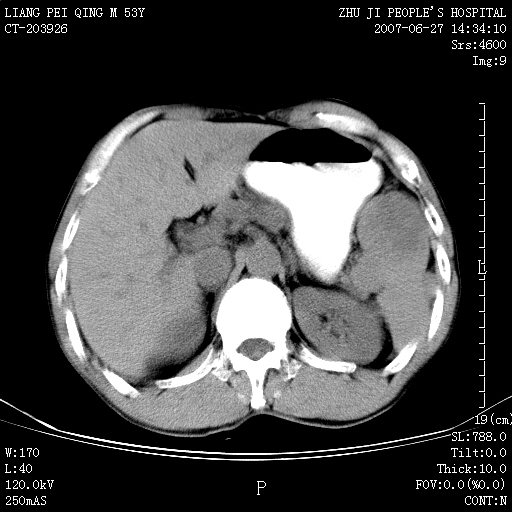
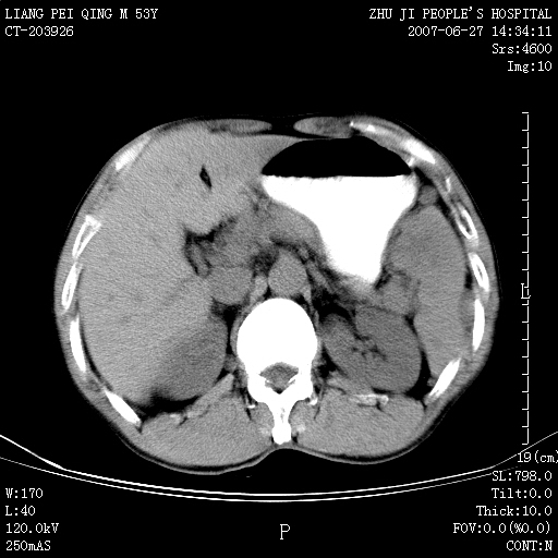
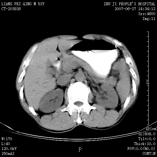
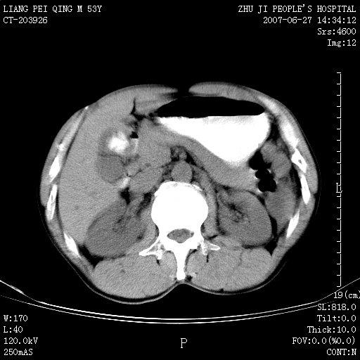
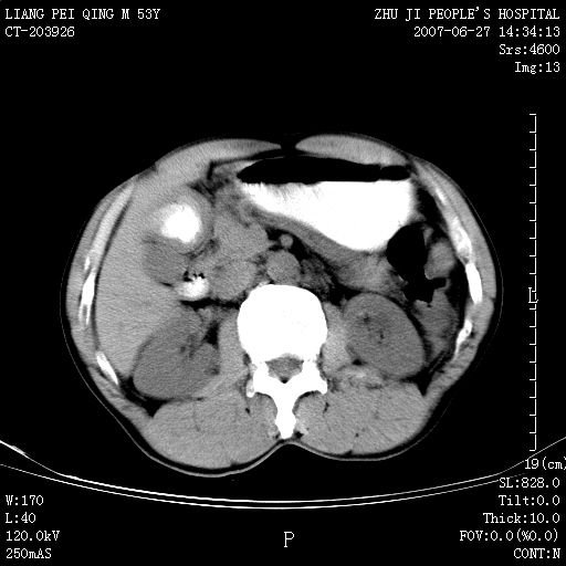
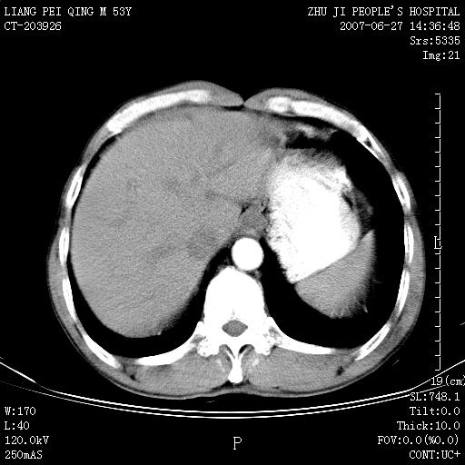
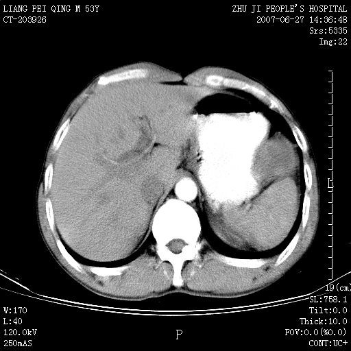
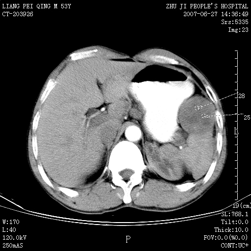
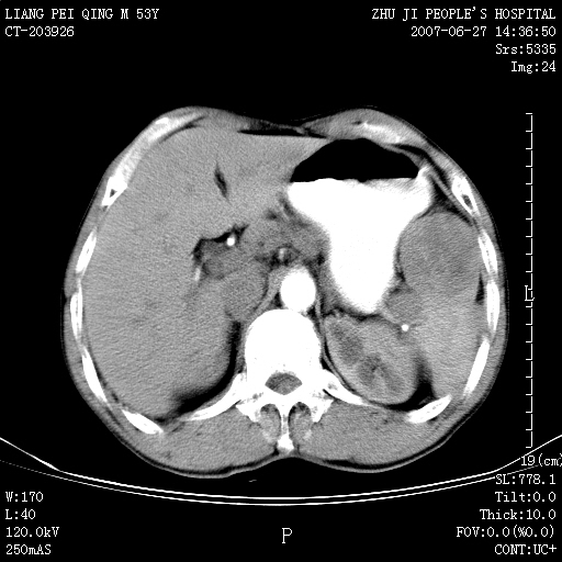
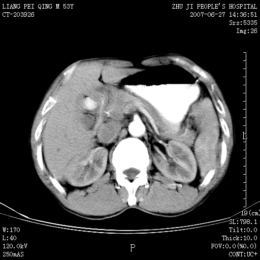
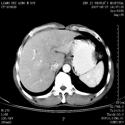
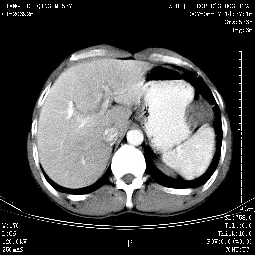
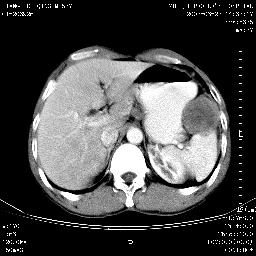
以下是引用余辉在2007-6-27 18:46:00的发言:[br]病灶多发,内可见大片状低密度区,病灶病灶等密度区轻度强化,动脉期后期病灶低密度区与高密度区对度增加,考虑1淋巴瘤2转移瘤3血管内皮细胞瘤(不知有否静脉期及延迟期扫描)
以下是引用余辉在2007-6-27 18:46:00的发言:[br]病灶多发,内可见大片状低密度区,病灶病灶等密度区轻度强化,动脉期后期病灶低密度区与高密度区对度增加,考虑1淋巴瘤2转移瘤3血管内皮细胞瘤(不知有否静脉期及延迟期扫描)
以下是引用余辉在2007-6-27 18:46:00的发言:[br]病灶多发,内可见大片状低密度区,病灶病灶等密度区轻度强化,动脉期后期病灶低密度区与高密度区对度增加,考虑1淋巴瘤2转移瘤3血管内皮细胞瘤(不知有否静脉期及延迟期扫描)
以下是引用余辉在2007-6-27 18:46:00的发言:[br]病灶多发,内可见大片状低密度区,病灶病灶等密度区轻度强化,动脉期后期病灶低密度区与高密度区对度增加,考虑1淋巴瘤2转移瘤3血管内皮细胞瘤(不知有否静脉期及延迟期扫描)
以下是引用余辉在2007-6-27 18:46:00的发言:[br]病灶多发,内可见大片状低密度区,病灶病灶等密度区轻度强化,动脉期后期病灶低密度区与高密度区对度增加,考虑1淋巴瘤2转移瘤3血管内皮细胞瘤(不知有否静脉期及延迟期扫描)
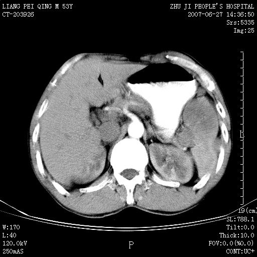
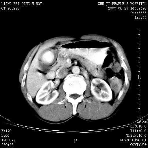
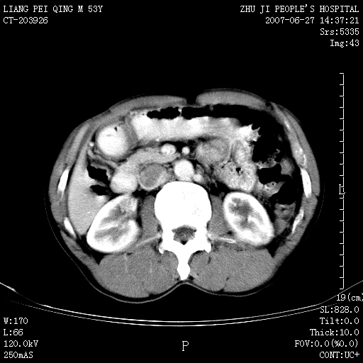
以下是引用zzzzhhhhaaaannnn在2007-6-27 20:44:00的发言:[br]脾脏 肋骨转移可能性大,下腔静脉内有癌栓
以下是引用余辉在2007-6-27 18:46:00的发言:[br]病灶多发,内可见大片状低密度区,病灶病灶等密度区轻度强化,动脉期后期病灶低密度区与高密度区对度增加,考虑1淋巴瘤2转移瘤3血管内皮细胞瘤(不知有否静脉期及延迟期扫描)
以下是引用狙击手在2007-6-28 10:35:00的发言:[br]1:定位:来源于脾脏。2:强化:强化,但不均匀。3:下腔静脉癌栓?下腔静脉充填不均匀与增强时间有关,延时即可明确。4:肋骨破坏?看起来并不确切。综上考虑几个最常见诊断:1;淋巴管瘤;2;血管内皮肉瘤(高度恶性,早期即可转移,常见肝,肺,骨)3;转移瘤(无特征性,只有肝或其它腹腔脏器有类似病变时,才可提示之)
以下是引用余辉在2007-6-27 18:46:00的发言:[br]病灶多发,内可见大片状低密度区,病灶病灶等密度区轻度强化,动脉期后期病灶低密度区与高密度区对度增加,考虑1淋巴瘤2转移瘤3血管内皮细胞瘤(不知有否静脉期及延迟期扫描)
| 欢迎光临 医影在线 (http://bbs.radida.com/bbs/) | Powered by Discuz! X3.2 |