










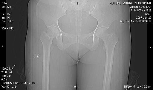
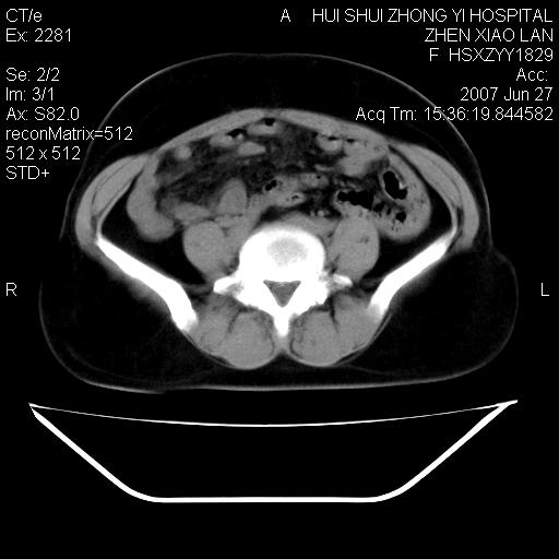
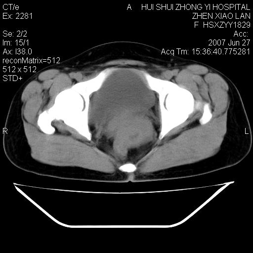
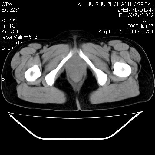
以下是引用还珠格格在2007-6-28 15:15:00的发言:[br]子宫明显增大,偏向盆腔右侧,密度均匀,和子宫同密度, 考虑 子宫肌瘤可能性大 建议增强 除外子宫平滑肌肉瘤。
以下是引用dyqct在2007-6-28 15:41:00的发言:[br]考虑多发子宫肌瘤可能性大,建议进一步增强检查。
以下是引用还珠格格在2007-6-28 15:15:00的发言:[br]子宫明显增大,偏向盆腔右侧,密度均匀,和子宫同密度, 考虑 子宫肌瘤可能性大 建议增强 除外子宫平滑肌肉瘤。
| 欢迎光临 医影在线 (http://bbs.radida.com/bbs/) | Powered by Discuz! X3.2 |