医影在线
标题: CT8860:陈旧性脑出血 [打印本页]
作者: wmsyy 时间: 2007-6-29 18:02
标题: CT8860:陈旧性脑出血
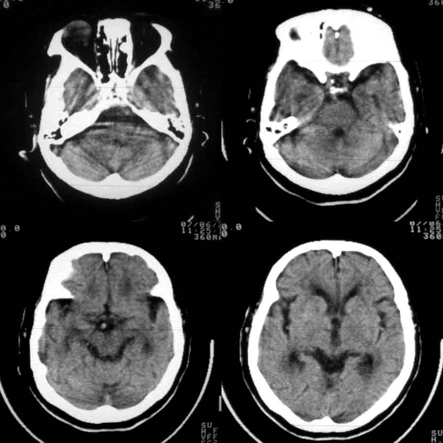
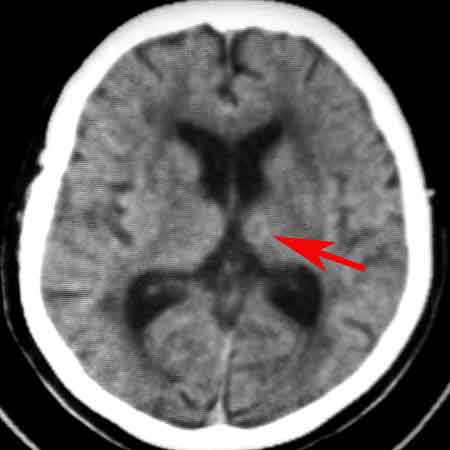
女81岁,头晕、流延。


06年6月11日

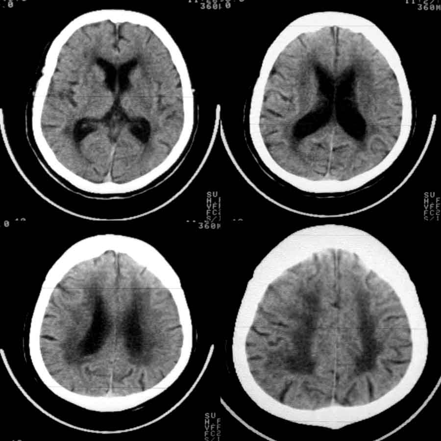
06年6月24日

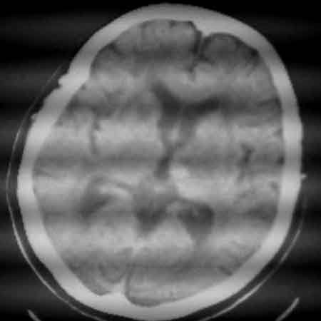
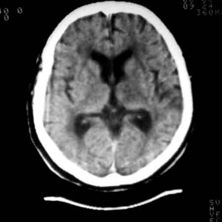
07年6月28日

[本贴已被 jiajie 于 2007-6-29 13:09:22 修改过]
作者: 天南地北 时间: 2007-6-29 18:15
标题: 1
1:支持左侧丘脑脑出血吸收演变
2:皮层下电脑硬化性闹病。
[本贴已被 天南地北 于 2007-6-29 11:20:55 修改过]
作者: ZHANGZHONGSHOU 时间: 2007-6-29 18:42
1、左丘脑区脑出血吸收期改变。
2、皮层下动脉硬化性脑病。
作者: xujin110 时间: 2007-6-29 18:52
1、左丘脑区脑出血吸收期改变。
2、皮脑
作者: dyqct 时间: 2007-6-29 19:24
考虑:1、左丘脑区脑出血吸收期改变。
2、皮层下动脉硬化性脑病伴脑萎缩。
作者: andymaomao 时间: 2007-6-29 19:29
1:支持左侧丘脑脑出血吸收演变;
2:皮层下电脑硬化性脑病。
支持!!
作者: zjzjr 时间: 2007-6-29 19:36
考虑:1、左丘脑区脑出血吸收期改变。
2、皮层下动脉硬化性脑病伴脑萎缩。
作者: jw-830 时间: 2007-6-29 19:57
1、左丘脑区脑出血吸收期改变。
2、皮层下动脉硬化性脑病。
作者: jinguoji 时间: 2007-6-29 21:07
1、左丘脑区脑出血吸收期改变。
2、皮层下动脉硬化性脑病。
作者: xxjfb 时间: 2007-6-29 21:19
1。左丘脑出血吸收期。2皮层动脉硬化性脑病。
作者: yanghaochen88 时间: 2007-6-29 22:09
那不像是出血!明显的改变就是脑萎缩和脱髓鞘改变。
作者: 随缘的人 时间: 2007-6-29 22:28
1:支持左侧丘脑脑出血吸收演变
2:皮层下动脉硬化性脑病。
作者: liuyue 时间: 2007-6-29 22:50
皮层下动脉硬化性脑病。
不像陈旧性脑出血。
作者: 卜一 时间: 2007-6-29 23:23
1:支持左侧丘脑脑出血吸收演变;
2:皮层下电脑硬化性脑病。
支持!!!
作者: zhangkai 时间: 2007-6-30 00:45
标题: 回复:ct8860:陈旧性脑出血
以下是引用dyqct在2007-6-29 11:24:00的发言:[br]考虑:1、左丘脑区脑出血吸收期改变。[br] 2、皮层下动脉硬化性脑病伴脑萎缩。
作者: jinning 时间: 2007-6-30 01:04
皮层下动脉硬化性脑病。
作者: 海之间5 时间: 2007-6-30 01:07
支持1。左丘脑出血吸收期。2.皮层动脉硬化性脑病
作者: 黄玉龙 时间: 2007-6-30 02:31
1、左丘脑区脑出血吸收期改变。
2、皮层下动脉硬化性脑病。
作者: 还珠格格 时间: 2007-6-30 03:09
支持 1、左侧丘脑区出血吸收期 2、皮层下动脉硬化性脑病。
作者: 余辉 时间: 2007-6-30 03:45
皮层动脉硬化性脑病,从中间开始吸收?可能是又有新的出血
作者: 南沙 时间: 2007-6-30 03:45
:1、左丘脑区脑出血吸收期改变。
2、皮层下动脉硬化性脑病伴脑萎缩
作者: zxczxc 时间: 2007-6-30 04:03
左侧丘脑陈旧性出血。
作者: 拾荒者 时间: 2007-6-30 04:07
支持 1、左侧丘脑区出血吸收期 2、皮层下动脉硬化性脑病。
作者: xulianj 时间: 2007-6-30 05:02
1、左丘脑区脑出血吸收期改变。
2、皮层下动脉硬化性脑病。
作者: doc张 时间: 2007-6-30 05:08
如有原片可以结合诊断,单凭这次检查不足以诊断.
作者: lihongwei 时间: 2007-6-30 05:46
1、左丘脑区脑出血吸收期改变。
2、皮层下动脉硬化性脑病。
作者: pushaolin 时间: 2007-6-30 06:18
支持5楼意见
作者: 宝天曼 时间: 2007-6-30 14:23
1。左丘脑出血吸收期。2皮层动脉硬化性脑病。
作者: zyx168 时间: 2007-7-2 15:35
1、左丘脑区脑出血吸收期改变。
2、皮层下动脉硬化性脑病。
作者: 青莲居士 时间: 2007-7-3 03:14
1、左丘脑区脑出血吸收期改变。
2、皮层下动脉硬化性脑病。
作者: 青莲居士 时间: 2007-7-3 03:49
1:支持左侧丘脑脑出血吸收演变;
2:皮层下电脑硬化性脑病。
作者: dr.yang 时间: 2008-5-12 03:29
标题: 回复:ct8860:陈旧性脑出血
1、左丘脑区脑出血吸收期改变。2、皮层下动脉硬化性脑病。
作者: panyishengct 时间: 2008-5-12 05:33
时间已经一年,不可能是单纯血肿吸收,如果是应该是软化灶,周围不应该有环行高密度影,应该行增强扫描,看是否是肿瘤并出血,出血吸收,肿瘤存在,或后来合并炎症病灶.
作者: dr.yang 时间: 2008-11-17 06:13
考虑:1、左丘脑区脑出血吸收期改变。
2、皮层下动脉硬化性脑病伴脑萎缩。
作者: pujunzhi 时间: 2008-11-17 06:27
1 皮层下动脉硬化性脑病伴脑萎缩(无争议)
2 左丘脑区脑出血吸收期改变(有争议),一年出血已吸收,应为软化,边缘环形壁可能是胶质增生所致。
| 欢迎光临 医影在线 (http://bbs.radida.com/bbs/) |
Powered by Discuz! X3.2 |