医影在线

标题: CT8880:男,44岁,请各位同仁会诊! 请看看肝右.....胆囊影为什 [打印本页]

作者: 水晶之恋    时间: 2007-6-30 22:59
标题: CT8880:男,44岁,请各位同仁会诊! 请看看肝右.....胆囊影为什
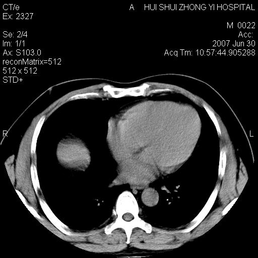
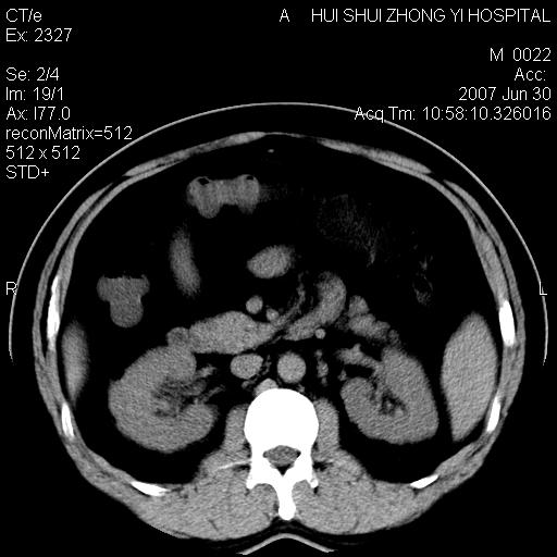
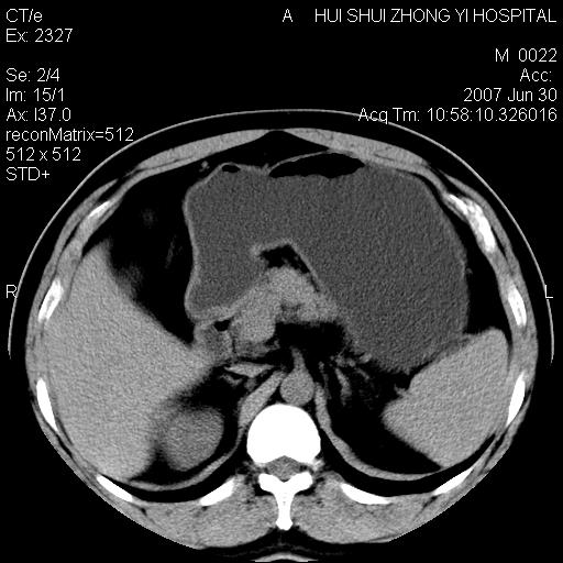
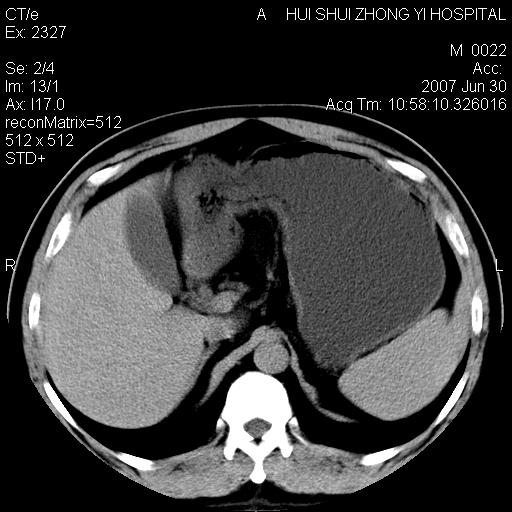
男,44岁,体检。


















[本贴已被 jiajie 于 2007-6-30 19:34:09 修改过]

作者: 9876543210    时间: 2007-6-30 23:12
?
作者: XUESHENG85    时间: 2007-6-30 23:43
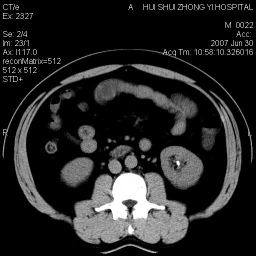
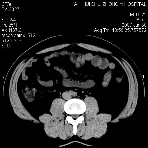
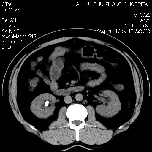
双肾结石
作者: hhcckk    时间: 2007-6-30 23:45
双侧肾盂、输尿管内结石,双侧肾脏轮廓呈波浪状,可能以前有过感染的
作者: 红樱枪    时间: 2007-6-30 23:46
双肾结石
作者: 晓杰    时间: 2007-7-1 00:00
双肾结石
作者: 水晶之恋    时间: 2007-7-1 00:02
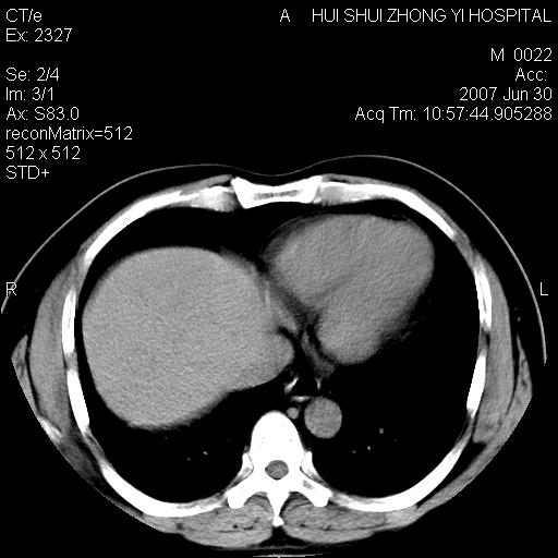
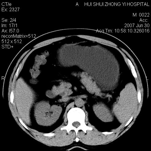
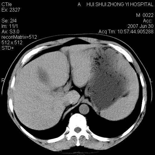
肝右叶密度减低区?
作者: wenyongxct    时间: 2007-7-1 00:04
支持双肾结石
作者: ybing    时间: 2007-7-1 00:20
双肾结石
作者: zjzjr    时间: 2007-7-1 00:23
支持双肾结石,肝右叶低密度影为胆囊部分容积效应。
作者: zxczxc    时间: 2007-7-1 00:42
双肾结石.
作者: 水晶之恋    时间: 2007-7-1 00:51
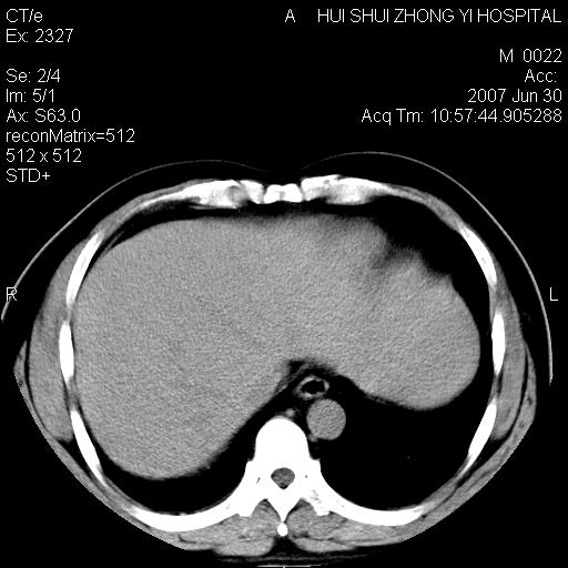
肝右叶低密度影为胆囊部分容积效应?为什么s43.0层面下来不见胆囊影,而是相隔了一层才见胆囊影。这是按我们扫描的顺序发的,但是是追加扫描的。
作者: 还珠格格    时间: 2007-7-1 01:04
双侧肾盂结石。
作者: chenglinhunan    时间: 2007-7-1 01:27
双肾结石
作者: xjlaodao    时间: 2007-7-1 01:56
肝右叶低密度灶,增强!
作者: 青莲居士    时间: 2007-7-1 01:57
支持双肾结石,肝右叶低密度影为胆囊部分容积效应
作者: juwen73    时间: 2007-7-1 02:07
双肾结石,做个b超结合看一下。
作者: 清清楚楚    时间: 2007-7-1 02:09
支持双肾结石,肝右叶低密度影为胆囊部分容积效应。
作者: 天南地北    时间: 2007-7-1 02:25
标题: 回复:ct8880:男,44岁,请各位同仁会诊!会诊!。。。。。。
以下是引用晓杰在2007-6-30 16:00:00的发言:[br]双肾结石

作者: 余辉    时间: 2007-7-1 02:28
双肾结石
作者: jsgdoctor    时间: 2007-7-1 03:35
双肾结石
作者: eplgj71    时间: 2007-7-1 04:30
病人呼吸动了,第四层应该在第五\\六层之间。肝右叶低密度影为胆囊部分容积效应。双肾结石。
作者: 一个人    时间: 2007-7-1 04:35
支持双肾结石
作者: lgl2007    时间: 2007-7-1 05:08
病人呼吸运动了
作者: liuqiang    时间: 2007-7-1 05:41
不连续,是呼吸造成的。
作者: 同    时间: 2007-7-1 05:47
支持双肾结石,肝右叶低密度影为胆囊部分容积效应。
作者: xulianj    时间: 2007-7-1 05:54
双肾结石,少量腹腔水?
作者: 文莱    时间: 2007-7-1 05:55
1.胆囊未见异常
2.双肾结石
作者: 随缘的人    时间: 2007-7-1 06:06
双肾结石
作者: WANGCAIXIA    时间: 2007-7-1 06:18
追加是什么意思,图像是一次憋气完成的吗?
作者: 拾荒者    时间: 2007-7-1 06:35
支持双肾结石,肝右叶低密度影为胆囊部分容积效应。
作者: 国窖1573    时间: 2007-7-1 07:05
标题: 回复:ct8880:男,44岁,请各位同仁会诊! 请看看肝右.....胆囊
以下是引用lgl2007在2007-6-30 21:08:00的发言:[br]病人呼吸运动了

作者: zyx168    时间: 2007-7-1 14:46
双肾结石,肝右叶低密度影为胆囊部分容积效应。
作者: wzr    时间: 2007-7-1 17:13
支持双肾结石,肝右叶低密度影为胆囊部分
作者: 龙在野    时间: 2007-7-1 18:29
双肾结石
作者: jinning    时间: 2007-7-1 18:49
双肾结石
作者: haha215315    时间: 2007-7-1 18:50
双肾结石
作者: liaizhi    时间: 2007-7-1 18:59
支持双肾结石。与患人呼吸有关。布分容积效应。
作者: 宝天曼    时间: 2007-7-1 23:00
支持双肾结石,肝右叶低密度影为胆囊部分容积效应。
作者: dyqct    时间: 2007-7-1 23:12
考虑:1、水平肝;
      2、双侧肾盏结石。
作者: jinguoji    时间: 2007-7-6 22:09
双肾结石.
作者: 青莲居士    时间: 2007-7-7 03:01
支持双肾结石,肝右叶低密度影为胆囊部分容积效应。
作者: ailuanfei    时间: 2007-7-7 04:18
??
作者: 青莲居士    时间: 2007-7-7 05:26
支持双肾结石,肝右叶低密度影为胆囊部分容积效应




欢迎光临 医影在线 (http://bbs.radida.com/bbs/) Powered by Discuz! X3.2