医影在线
标题: PED0243:(补充CT)男孩,4岁,发热咳嗽4天请分析! [打印本页]
作者: sdqzwyx 时间: 2007-7-2 06:02
标题: PED0243:(补充CT)男孩,4岁,发热咳嗽4天请分析!
结果已发布http://www.radida.com/bbs/forum.php?mod=viewthread&tid=27065
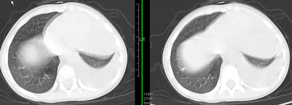
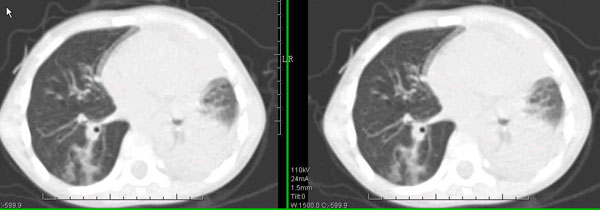
男孩,4岁,发热咳嗽4天。


下面补充ct图片:


























[本贴已被 sdqzwyx 于 2010-1-24 9:00:30 修改过]
作者: sdqzwyx 时间: 2007-7-2 06:10
标题: 回复:ped0243:男孩,4岁,发热咳嗽4天请分析!
透视采集图像!





作者: ZHANGZHONGSHOU 时间: 2007-7-2 06:46
标题: 回复
左上叶支气管异物并肺不张可能性大,请追问病史,有无突然呛咳史,小儿可能不能明确异物史。一般的炎症即使有不张,纵隔移位也不会这样明显。必要时ct就明确了。
[本贴已被 zhangzhongshou 于 2007-7-1 22:47:36 修改过]
作者: ml2007 时间: 2007-7-2 07:52
左上叶支气管异物并肺不张可能性大
作者: liaizhi 时间: 2007-7-2 18:08
左肺门增大,左肺气管阻塞 左肺无肺纹理。右肺代偿性肺气肿。透视图示纵隔摆动。考虑左支气管异物,左肺不张。
作者: haha215315 时间: 2007-7-2 18:52
左上叶支气管异物并肺不张可能性大
作者: jinning 时间: 2007-7-2 19:15
左上叶支气管异物并肺不张可能性大
作者: zhangkai 时间: 2007-7-2 22:02
尽管左侧支气管异物少见,但还是应该考虑左侧支气管内异物(上叶}。
作者: LIAOQIANG 时间: 2007-7-2 23:54
支持考虑左肺上叶支气管异物可能性大。
作者: hhcckk 时间: 2007-7-3 01:56
标题: 回复:ped0243:男孩,4岁,发热咳嗽4天请分析!

不张的原因,支气管异物要考虑,建议支纤镜
作者: andymaomao 时间: 2007-7-3 02:36
标题: 回复:ped0243:男孩,4岁,发热咳嗽4天请分析!
以下是引用hhcckk在2007-7-2 17:56:00的发言:[br]
[br][br]不张的原因,支气管异物要考虑,建议支纤镜
支持!
作者: 471792 时间: 2007-7-3 08:34
左上肺不张。除非有明确的病史,否则异物不好说。
作者: 清清楚楚 时间: 2007-7-4 14:41
支持战友们的意见
作者: 青莲居士 时间: 2007-7-7 09:22
左上叶支气管异物并肺不张可能性大,请追问病史,有无突然呛咳史,小儿可能不能明确异物史。一般的炎症即使有不张,纵隔移位也不会这样明显。必要时ct就明确了
作者: sdqzwyx 时间: 2007-7-8 05:28
标题: 支气管异物!
此病人是我接手的,发热、咳嗽来做胸透,透视见左侧肺野大部密实,纵隔、心影明显左移,呼吸示纵隔摆动、膈肌矛盾运动(透视下采集了几幅图片),左肺动度明显减弱。询问病人家长,没有吃花生米等呛咳史。由于其影像特征明显,当时诊断:考虑左侧支气管异物并阻塞性肺不张、肺炎。
病人去上级医院支气管镜取出了异物。今天询问上级医院耳鼻喉科主任(是我同学),得知病人异物为胶冻样合并有少许白色粉末,后小儿说晚上喝药片时呛咳过,考虑当时为药片阻塞;另外支气管镜检发现小儿左侧支气管发育略窄,经住院抗炎治疗,现病人基本康复。
病人还做了ct片,等我下载后上传。
[本贴已被 sdqzwyx 于 2007-7-7 21:31:08 修改过]
作者: sdqzwyx 时间: 2007-7-8 05:42
标题: 回复:ped0243:男孩,4岁,发热咳嗽4天请分析!
以下是引用zhangkai在2007-7-2 14:02:00的发言:[br]尽管左侧支气管异物少见,但还是应该考虑左侧支气管内异物(上叶}。
依据支气管解剖,一般考虑右侧支气管分叉角度较小,管腔较粗,气流量及吸力较大,故异物应该易进入右下支气管内。而我同学告诉我,他们经常碰见小儿支气管异物,实际左侧支气管异物并不少见,统计一下甚至多于右侧支气管异物,不知这是为什么?
作者: 天南地北 时间: 2007-7-8 06:01
学习了
好病例
作者: jinguoji 时间: 2007-7-9 03:41
结果收到,谢谢
作者: zxczxc 时间: 2007-7-13 04:10
支持左肺不张。
作者: sdqzwyx 时间: 2007-7-16 04:37
多谢各位关注及精彩点评!追踪病人结果时才知道还做过ct检查!对不起!有点晚了,刚刚下载,上传供大家参考!
作者: lch0240 时间: 2008-5-16 19:50
从来都没见过,谢谢啦
作者: dengkai 时间: 2009-1-24 18:50
谢谢
作者: ZHONGXINMR 时间: 2009-6-5 00:04
好病例,学习了
作者: jiazhirong 时间: 2010-9-19 00:29
好病例,学习了
作者: yuhongjun 时间: 2010-9-19 03:02
好病例,学习了
作者: guilincandy 时间: 2010-10-6 21:14
谢
作者: 吴医师 时间: 2010-10-14 08:25
好病例,学习了
作者: ZHANGZHONGSHOU 时间: 2010-10-18 02:13
标题: 回复:ped0243:(补充ct)男孩,4岁,发热咳嗽4天请分析!
以下是引用sdqzwyx在2007-7-7 21:42:00的发言:[br][quote]以下是引用zhangkai在2007-7-2 14:02:00的发言:[br]尽管左侧支气管异物少见,但还是应该考虑左侧支气管内异物(上叶}。
[br] 依据支气管解剖,一般考虑右侧支气管分叉角度较小,管腔较粗,气流量及吸力较大,故异物应该易进入右下支气管内。而我同学告诉我,他们经常碰见小儿支气管异物,实际左侧支气管异物并不少见,统计一下甚至多于右侧支气管异物,不知这是为什么?[/quote]
个人意见,双侧肺的总通气量瞬间应该一致,右侧管腔粗,左侧细,则必须左侧气体的流速要大于右侧,很多作者认为实际上往往左侧多见。
作者: dhlyq 时间: 2010-10-23 14:55
结果收到,谢谢
| 欢迎光临 医影在线 (http://bbs.radida.com/bbs/) |
Powered by Discuz! X3.2 |