医影在线

标题: PED0251:髌骨脱位 [打印本页]

作者: 黑白光影    时间: 2007-7-5 02:48
标题: PED0251:髌骨脱位
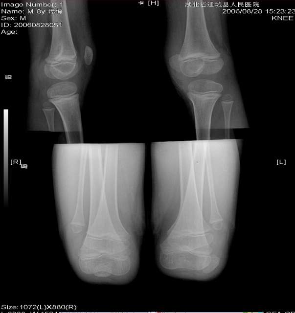
男 8y 左膝





[本贴已被 jiajie 于 2007-7-4 19:50:26 修改过]

作者: 小初学者    时间: 2007-7-5 03:14
标题: 原创
考虑先天性髌骨脱位

摘自<<骨关节x线诊断学>>---李景学主编

[本贴已被 小初学者 于 2007-7-4 19:19:06 修改过]

作者: 余辉    时间: 2007-7-5 03:43
髌骨脱位,不知有何病史
作者: ZHANGZHONGSHOU    时间: 2007-7-5 04:19
标题: 回复:ped0251:髌骨脱位
以下是引用余辉在2007-7-4 19:43:00的发言:[br]髌骨脱位,不知有何病史[br]

作者: andymaomao    时间: 2007-7-5 06:19
支持髌骨脱位。先天性?
作者: 天南地北    时间: 2007-7-5 06:51
学习了
作者: jinning    时间: 2007-7-5 21:35
支持髌骨脱位。先天性?
作者: LIAIZHI    时间: 2007-7-5 21:54
髌骨脱位支持。考虑先天性。
作者: hsy666    时间: 2007-7-5 23:21
若无外伤史,还是支持先天性髌骨脱位.
作者: LIAOQIANG    时间: 2007-7-6 01:00
髌骨小,且向外侧移位。支持考虑先天性髌骨脱位。
作者: zjzjr    时间: 2007-7-6 03:19
支持髌骨脱位。
作者: 清清楚楚    时间: 2007-7-6 04:09
髌骨脱位支持。学习了
作者: shiqingfa    时间: 2007-7-6 05:40
支持髌骨脱位
作者: drzhang8888    时间: 2007-7-6 06:36
学习了
作者: jinguoji    时间: 2007-7-6 18:09
支持髌骨脱位。
作者: r8923012    时间: 2007-7-7 03:26
支持髌骨脱位。先天性
作者: wlq66556    时间: 2007-7-7 04:36
支持髌骨脱位
作者: 青莲居士    时间: 2007-7-7 09:59
以下是引用余辉在2007-7-4 19:43:00的发言:
髌骨脱位,不知有何病史
作者: 雪山飞狐    时间: 2007-7-7 17:44
支持先天性髌骨脱位
作者: hqr123    时间: 2007-7-7 17:59
学习了
作者: dyqct    时间: 2007-7-8 16:02
支持左侧髌骨脱位。
作者: 西凡    时间: 2007-7-8 16:33
标题: 回复:ped0251:髌骨脱位
以下是引用小初学者在2007-7-4 19:14:00的发言:[br]考虑先天性髌骨脱位[br][br]摘自<<骨关节x线诊断学>>---李景学主编[br][br]
[本贴已被 小初学者 于 2007-7-4 19:19:06 修改过]

作者: 古寨悠幽    时间: 2007-7-9 04:41
若无外伤史,还是支持先天性髌骨脱位.
作者: zyx168    时间: 2007-7-9 15:50
先天性髌骨脱位.
作者: zengpingli    时间: 2007-7-23 04:05
典型    学习了
作者: xlhdxh    时间: 2007-8-14 19:01
正位片呢????脱位应该比较明确




欢迎光临 医影在线 (http://bbs.radida.com/bbs/) Powered by Discuz! X3.2