













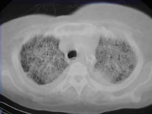
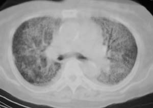
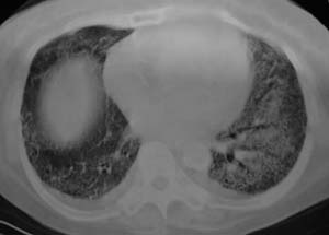
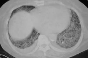
以下是引用liaizhi在2007-7-6 0:05:00的发言:[br]双肺纹理膜糊,沿纹理走行有班点状高密度影。考虑心衰并肺水肿。
以下是引用andymaomao在2007-7-5 22:23:00的发言:[br]双上肺明显,考虑心衰并肺水肿,双侧胸腔少量积液!另不除外肺泡蛋白沉着症及肺泡ca可能。[br]联想机制——心脏病(代偿期)--肺部淤血--后可能并感染致病情加重--抗炎治疗好转,但肺淤血严重,心功能失代偿--心衰而死亡!
以下是引用拾荒者在2007-7-6 13:06:00的发言:[br]支持:心衰,肺水肿及ards
| 欢迎光临 医影在线 (http://bbs.radida.com/bbs/) | Powered by Discuz! X3.2 |